






































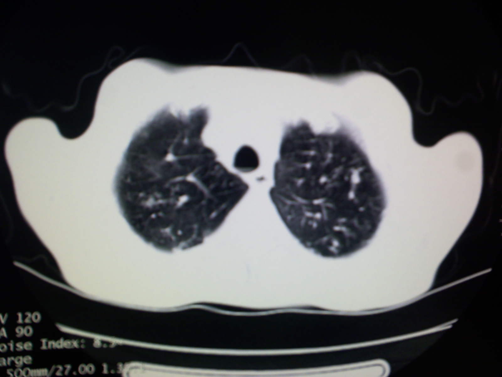
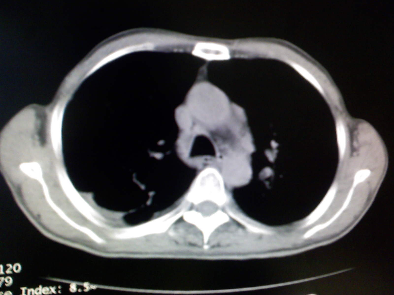
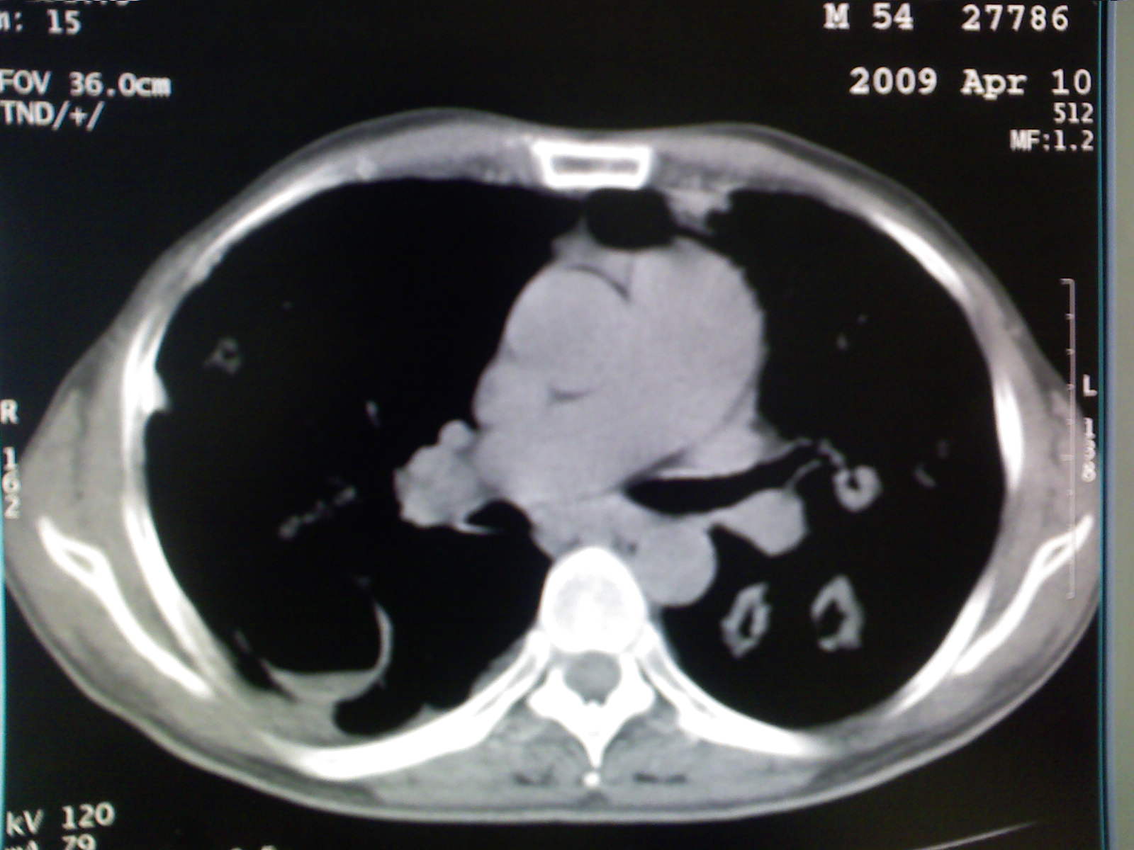
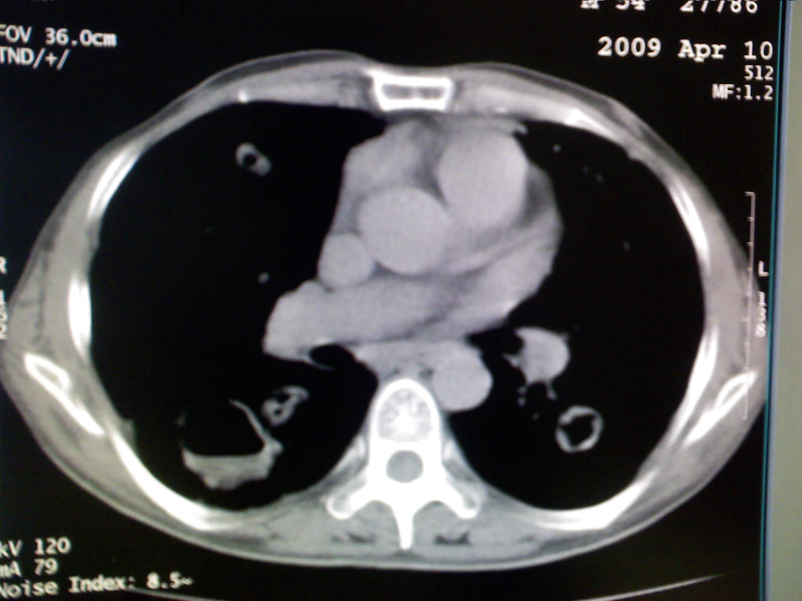
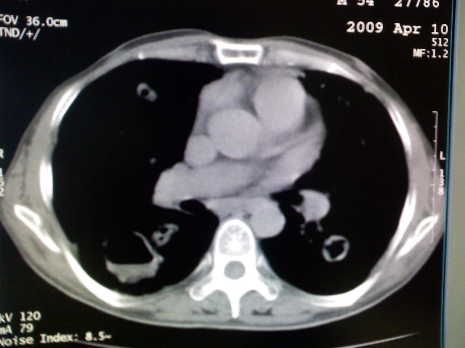
以下是引用卜一在2009-4-11 15:50:00的发言:[br]双肺继发性肺结核伴空洞形成,不排除合并霉菌感染!(病灶呈多形态 多特征 散在分布)。另:合并支气管扩张征伴感染!
以下是引用主力军在2009-4-11 15:55:00的发言:[br]两肺继发性肺结核可能性大。
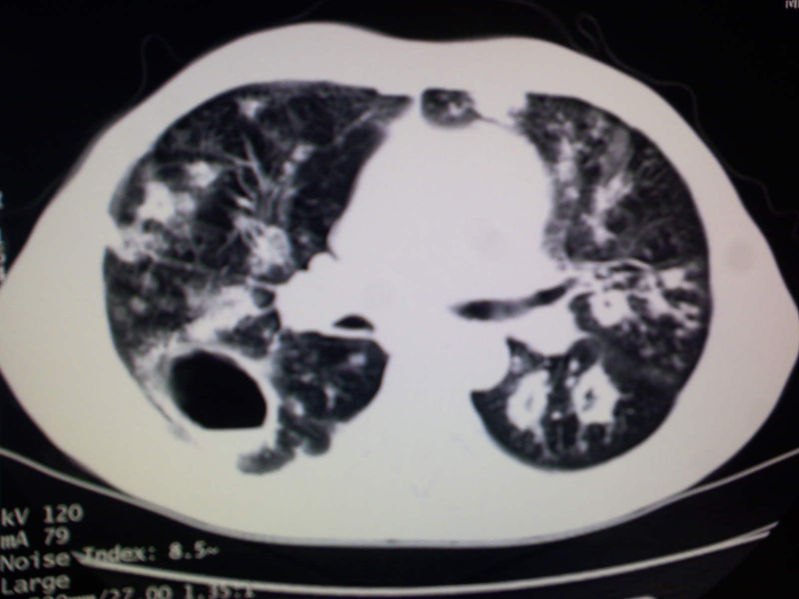
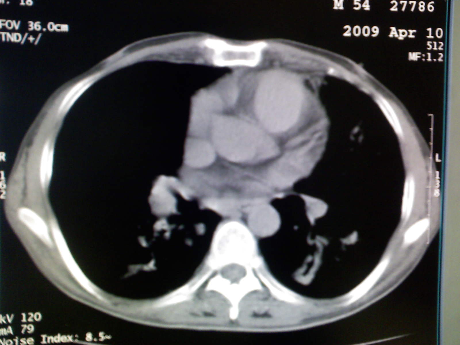
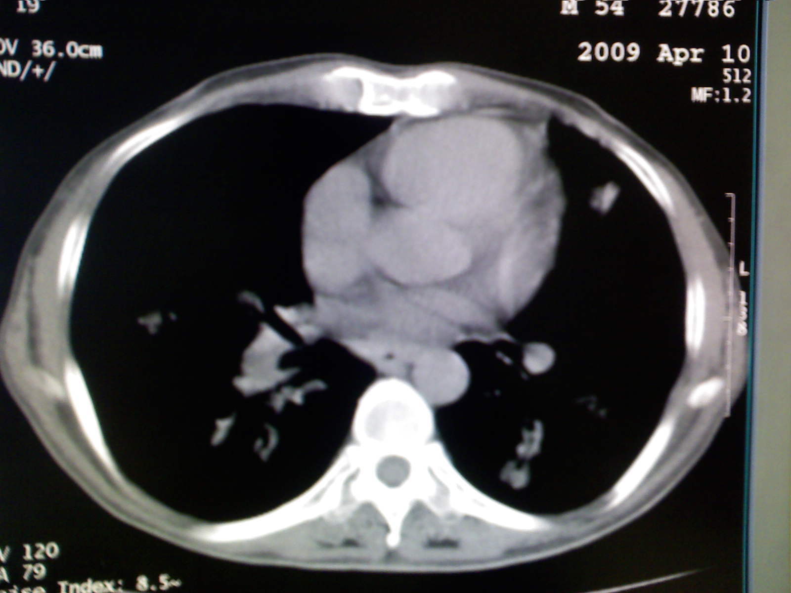
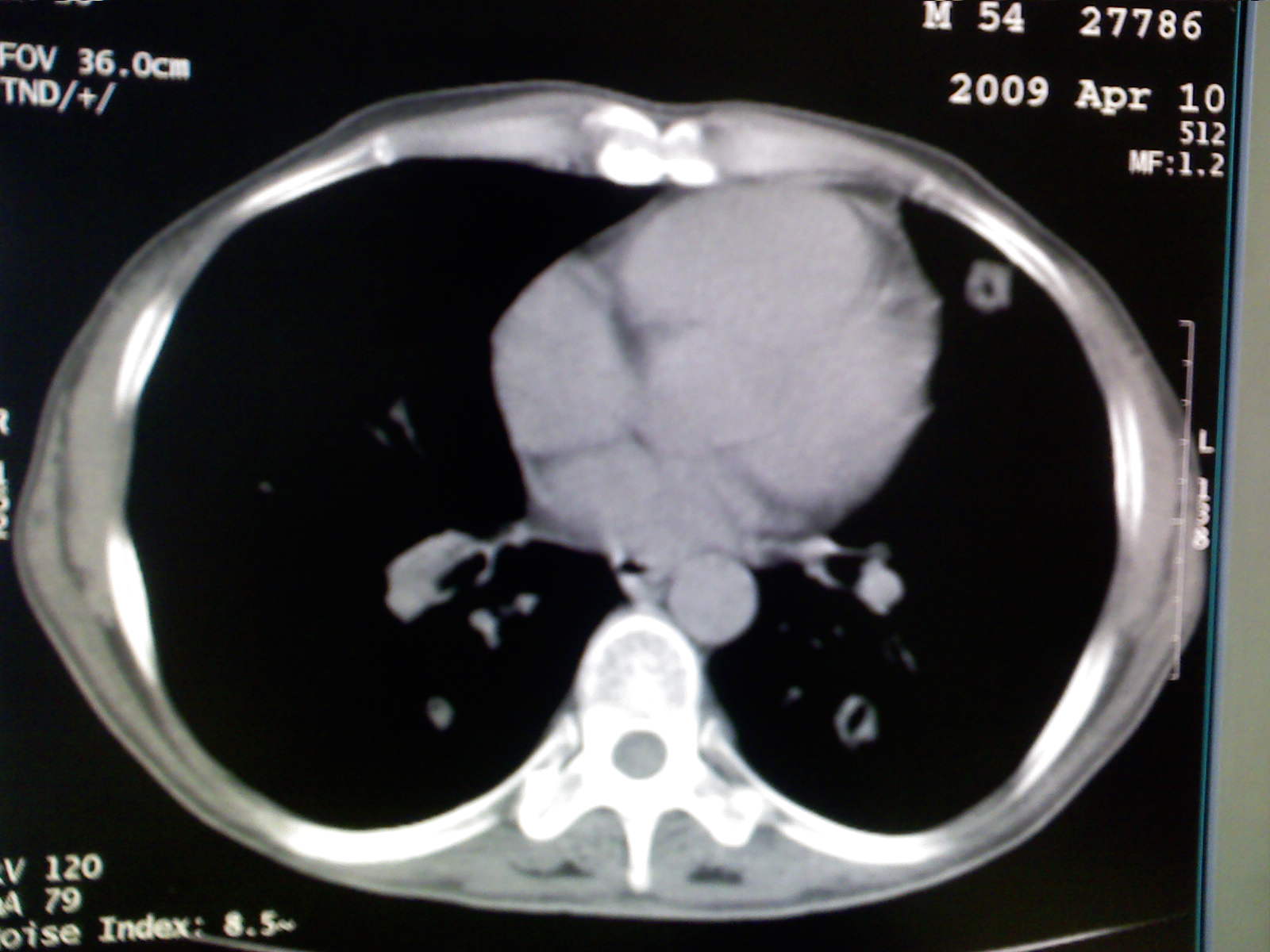
以下是引用康鹏在2009-4-11 16:30:00的发言:[br]双肺继发性肺结核伴空洞形成合并感染[br]支气管扩张合并感染
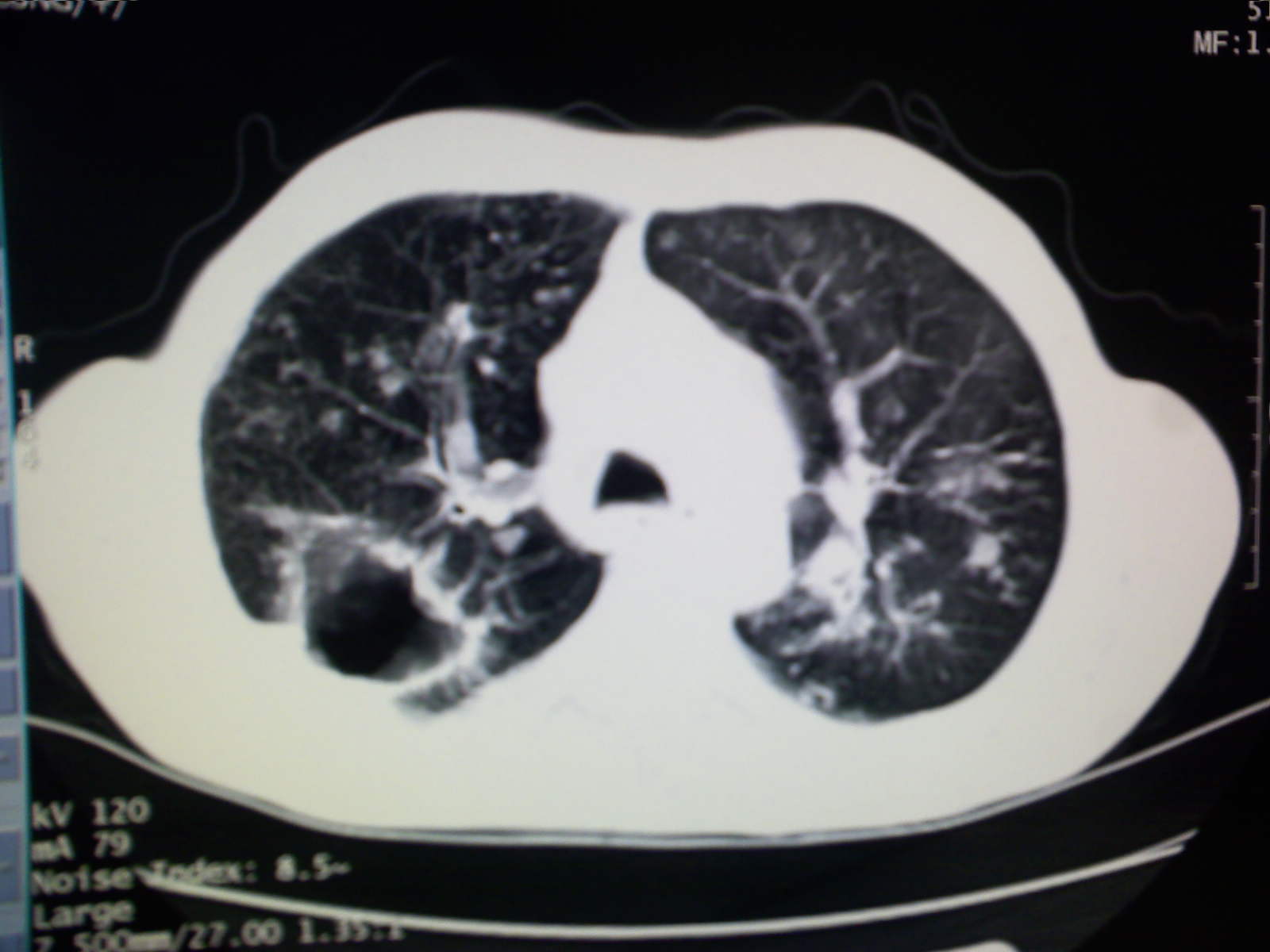
以下是引用卜一在2009-4-11 15:50:00的发言:[br]双肺继发性肺结核伴空洞形成,不排除合并霉菌感染!(病灶呈多形态 多特征 散在分布)。另:合并支气管扩张征伴感染!
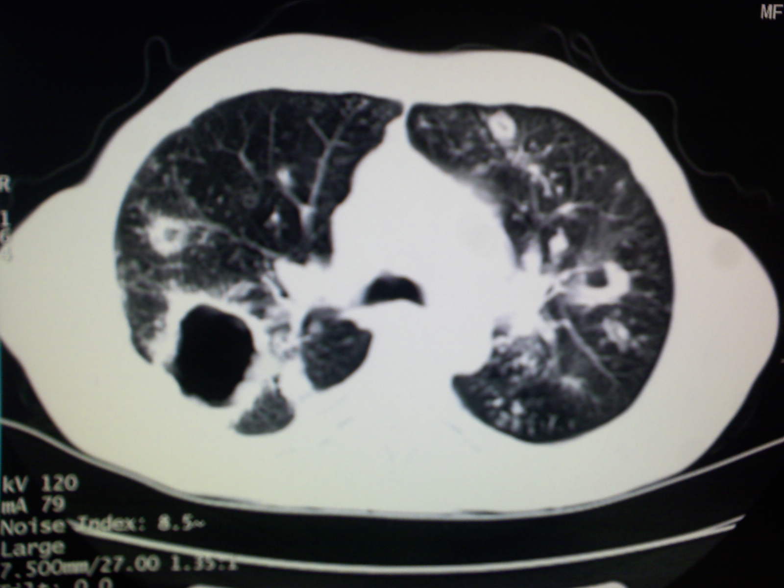
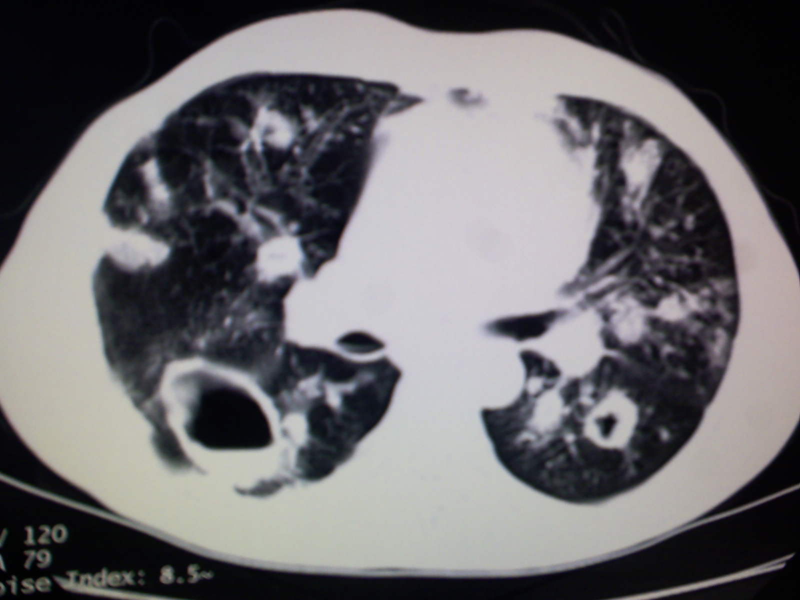
以下是引用卜一在2009-4-11 15:50:00的发言:[br]双肺继发性肺结核伴空洞形成,不排除合并霉菌感染!(病灶呈多形态 多特征 散在分布)。另:合并支气管扩张征伴感染!
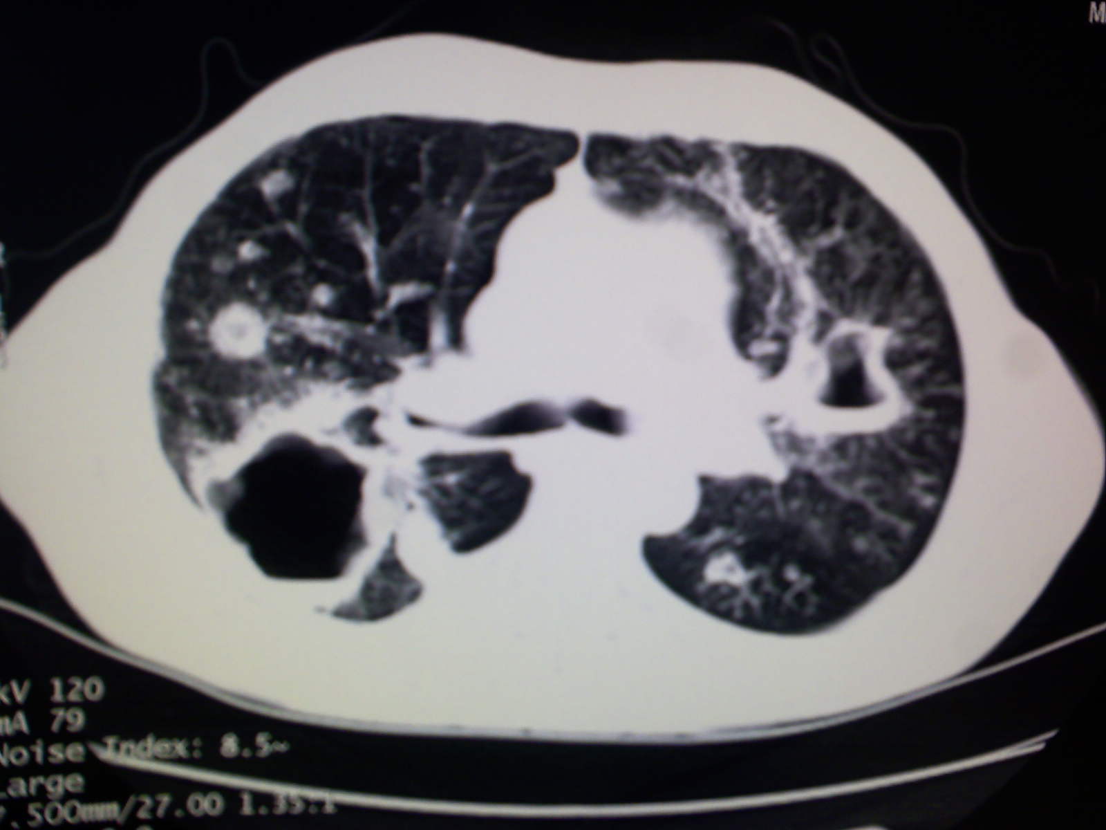
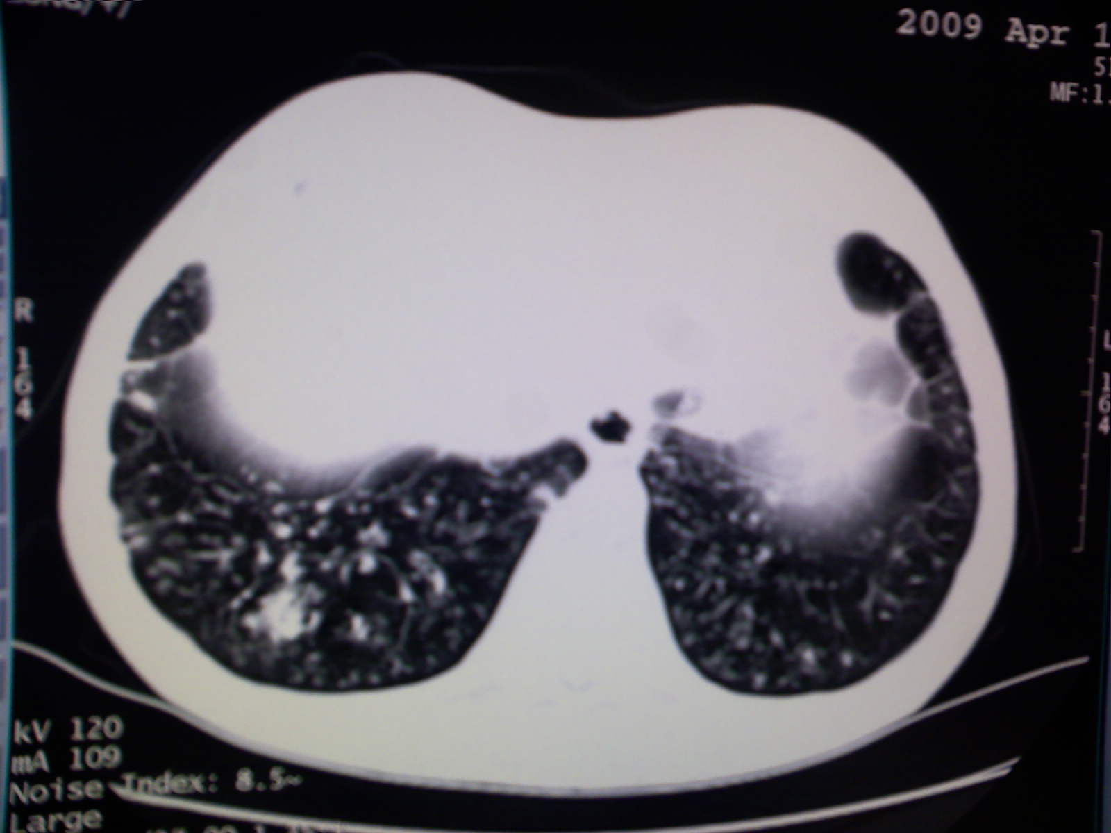
以下是引用卜一在2009-4-11 15:50:00的发言:[br]双肺继发性肺结核伴空洞形成,不排除合并霉菌感染!(病灶呈多形态 多特征 散在分布)。另:合并支气管扩张征伴感染!
| 欢迎光临 医影在线 (http://bbs.radida.com/bbs/) | Powered by Discuz! X3.2 |