医影在线

标题: CT19324:胸闷1周伴咳嗽 [打印本页]

作者: HARRY    时间: 2009-4-12 02:30
标题: CT19324:胸闷1周伴咳嗽


















[本贴已被 jiajie 于 2009-4-12 6:45:37 修改过]

作者: zbp537    时间: 2009-4-12 02:31
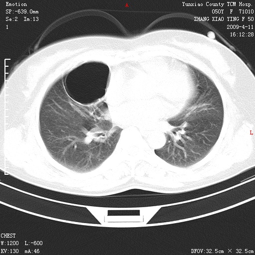
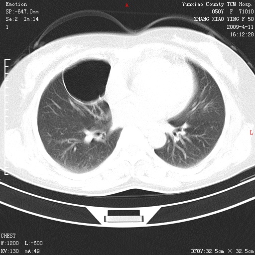
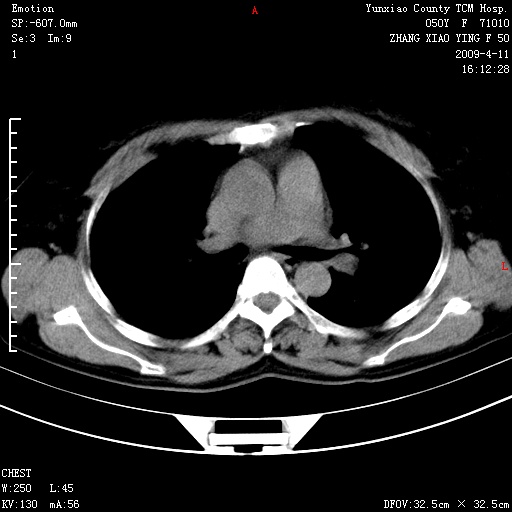
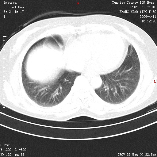
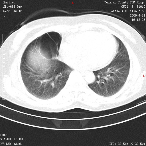
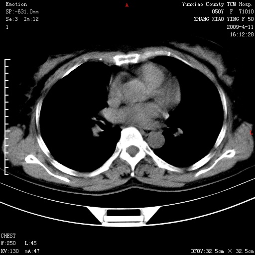
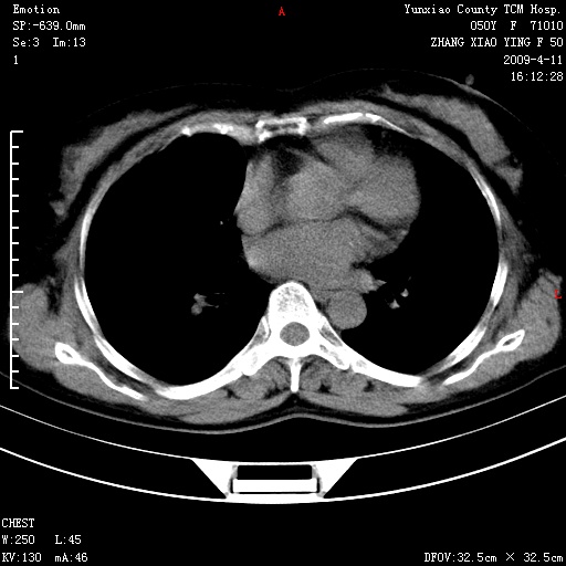
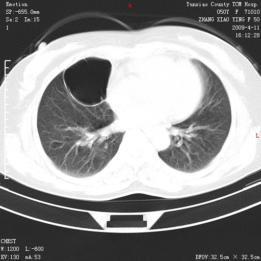
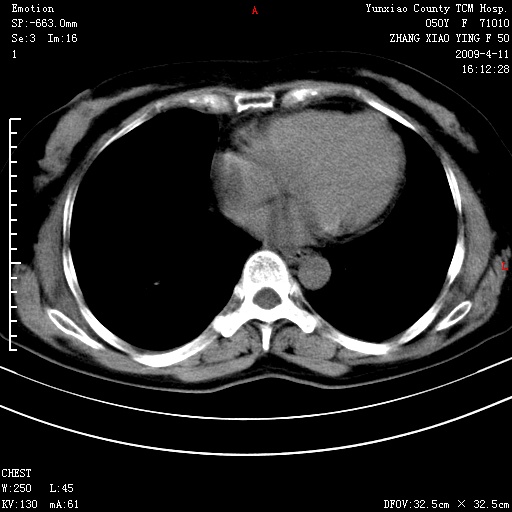
肺囊肿并感染。
作者: 杀毒软件    时间: 2009-4-12 02:37
胸膜下肺大泡
作者: dsl555    时间: 2009-4-12 02:49
胸膜下肺大泡
作者: 余辉    时间: 2009-4-12 02:52
病灶周围肺纹受压移位走行较柔和,余肺里实质均匀,纹理如常,肺间质无显著纤维化,支持考虑孤立性肺囊肿
作者: panyishengct    时间: 2009-4-12 02:58
病灶周围肺纹受压移位走行较柔和,余肺里实质均匀,纹理如常,肺间质无显著纤维化,支持考虑孤立性肺囊肿
作者: jiangguowu    时间: 2009-4-12 03:08
肺大泡
作者: shenhs    时间: 2009-4-12 03:26
胸膜下肺大泡
支持
作者: 黄毛小子    时间: 2009-4-12 03:39
考虑肺大泡
作者: 卜一    时间: 2009-4-12 04:00
先天性肺气囊肿!
作者: LIAOQIANG    时间: 2009-4-12 04:29
考虑胸膜下肺大泡。
作者: ljj8935    时间: 2009-4-12 04:42
支持肺大泡诊断
作者: ljj8935    时间: 2009-4-12 04:45
刚才发错了,应该是肺囊肿诊断
作者: songyi    时间: 2009-4-12 04:56
胸膜下肺大泡
作者: fyanj168    时间: 2009-4-12 05:01
肺囊肿
作者: ml2007    时间: 2009-4-12 05:05
肺囊肿!
作者: 学医    时间: 2009-4-12 05:50
肺囊肿
作者: 小宇宙    时间: 2009-4-12 06:18
考虑肺大泡
作者: pujunzhi    时间: 2009-4-12 07:01
先天性肺气囊肿!
作者: 影像之路    时间: 2009-4-12 08:20
考虑肺囊肿
作者: 随光逐影    时间: 2009-4-12 15:58
考虑右肺中叶肺囊肿。




欢迎光临 医影在线 (http://bbs.radida.com/bbs/) Powered by Discuz! X3.2