医影在线
标题: PED1843:患者女,4y,脑积水。 [打印本页]
作者: lczeng 时间: 2009-4-12 20:07
标题: PED1843:患者女,4y,脑积水。
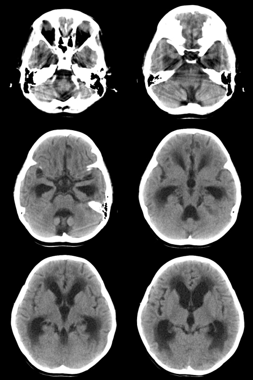
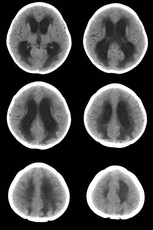
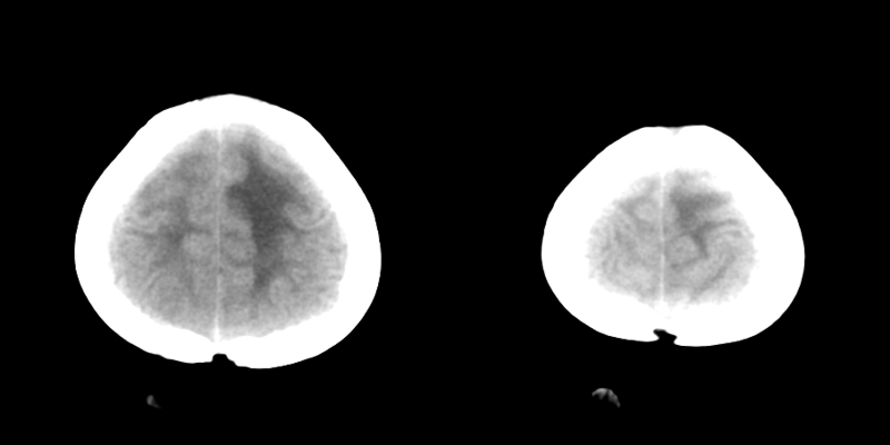
4岁女性,精神差,间断呕吐4+月。加重并右侧肢体肌力减退10+天,行走困难。无发热、无意识障碍。4个月前患儿无异常表现,读幼儿园。



请问有经验的老师,这种情况最可能是由什么疾病引起的?
[本贴已被 lczeng 于 2009-4-12 12:50:08 修改过]
[本贴已被 余辉 于 2009-4-12 18:34:25 修改过]
作者: songyi 时间: 2009-4-12 21:59
脑积水,建议mri检查
作者: dyqct 时间: 2009-4-12 23:25
低位梗阻性脑积水。可怜!做手术吧!
作者: xizhong 时间: 2009-4-13 00:14
梗阻性脑脑积水.
作者: 道哥 时间: 2009-4-13 00:52
我认为是交通性脑积水,幕上幕下脑室都扩张,建议mr检查!
作者: 杀毒软件 时间: 2009-4-13 01:53
梗阻性脑脑积水
作者: 余辉 时间: 2009-4-13 02:37
脑积水伴室旁白质水肿
作者: 影象小泰斗 时间: 2009-4-13 06:47
脑积水伴室旁白质水肿!
作者: 随光逐影 时间: 2009-4-13 16:29
1)交通性脑积水。2)脑白质病?3)脑萎缩。
作者: LIAOQIANG 时间: 2009-4-13 17:03
考虑梗阻性脑脑积水。
作者: w_jianhua 时间: 2009-4-13 21:00
)交通性脑积水。2)脑白质病?3)脑萎缩。
作者: jiangjing 时间: 2009-4-13 21:59
脑积水伴室旁白质水肿,建议mri 及增强检查
作者: 深泽交通 时间: 2009-4-13 22:31
标题: 回复:ped1843:患者女,4y,脑积水。
以下是引用liaoqiang在2009-4-13 9:03:00的发言:[br]考虑梗阻性脑脑积水。
作者: 萍萍 时间: 2009-4-14 04:51
脑积水,脱髓鞘改变
作者: 同 时间: 2009-4-14 05:16
低位梗阻性脑积水。
作者: 拾荒者 时间: 2009-4-14 05:24
脑积水伴室旁白质水肿,建议mri 检查找积水原因。
作者: huqi8888 时间: 2009-4-14 16:14
脑积水。
作者: SUNBIN 时间: 2009-4-14 17:47
梗阻性脑积水.室旁白质水肿.
作者: 黑白光影 时间: 2009-4-15 01:54
脑积水伴室旁白质水肿,建议mri 及增强检查
作者: zsl6918 时间: 2009-4-15 03:37
建议仔细检查,考虑转移瘤.
作者: 王仕学 时间: 2009-4-16 00:14
脑积水伴室旁白质水肿!
作者: liuhuian6 时间: 2009-4-17 01:35
脑积水。
作者: yrj0513 时间: 2009-4-17 03:53
脑积水
作者: pujunzhi 时间: 2009-4-17 15:20
脑积水伴室旁白质水肿,建议mri 。
| 欢迎光临 医影在线 (http://bbs.radida.com/bbs/) |
Powered by Discuz! X3.2 |