

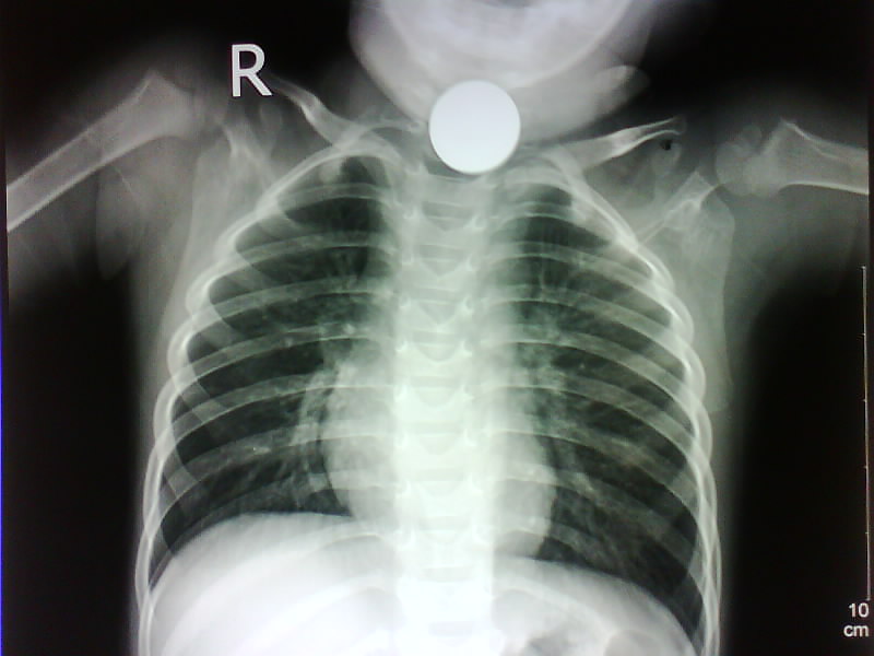
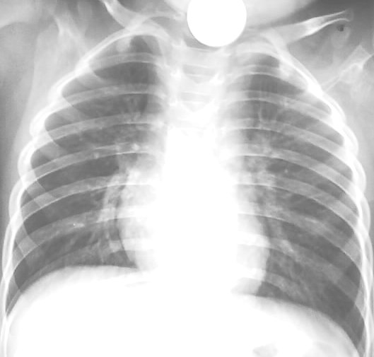
以下是引用随光逐影在2009-4-12 16:07:00的发言:[br]两肺尚清晰,心膈正常。[br]颈部体外异物?
以下是引用谨言慎行在2009-4-12 15:36:00的发言:[br]未见明显异常。
以下是引用随光逐影在2009-4-12 16:07:00的发言:[br]两肺尚清晰,心膈正常。[br]颈部体外异物?
以下是引用yrj0513在2009-4-12 18:42:00的发言:[br]结果:气管内异物(硬币),发帖的目的,是让战友们注意此问题.
| 欢迎光临 医影在线 (http://bbs.radida.com/bbs/) | Powered by Discuz! X3.2 |