医影在线

标题: MRI2131:男,腰痛三月向右下肢放射一月余 [打印本页]

作者: docgobt103035    时间: 2009-4-13 06:43
标题: MRI2131:男,腰痛三月向右下肢放射一月余







[本贴已被 jiajie 于 2009-4-13 18:39:41 修改过]

作者: chinanyd    时间: 2009-4-13 15:11
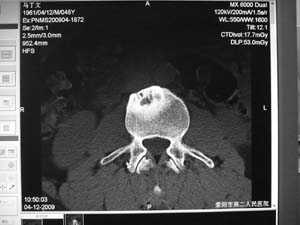
骨质轻微破坏,硬化明显,椎管未见异常,考虑良性骨瘤的可能性大,
作者: 卜一    时间: 2009-4-13 15:12
椎体增生 硬化 囊变。考虑:退变!
作者: 余辉    时间: 2009-4-13 16:15
支持考虑退变,许莫结节形成
作者: LIAOQIANG    时间: 2009-4-13 16:20
椎体前缘骨质增生硬化、囊变。椎旁软组织未见确切异常。考虑椎体前缘软骨结节。
作者: 随光逐影    时间: 2009-4-13 16:27
1)l3椎体前上缘许莫氏结节形成。2)腰椎退行性改变。
作者: 深泽交通    时间: 2009-4-13 16:53
标题: 回复:男,腰痛三月向右下肢放射一月余
以下是引用卜一在2009-4-13 7:12:00的发言:[br]椎体增生 硬化 囊变。考虑:退变!

作者: xizhong    时间: 2009-4-13 17:29
l3椎体前上缘许氏结节。
作者: zjzjr    时间: 2009-4-13 18:03
椎体增生 硬化 囊变。考虑:退变!
作者: xxjfb    时间: 2009-4-13 18:11
退变,许莫氏结节.腰1椎体血管瘤.
作者: ydx_74    时间: 2009-4-13 18:42
椎体增生 硬化 囊变。考虑:退变!
作者: 杀毒软件    时间: 2009-4-13 20:06
标题: 回复:男,腰痛三月向右下肢放射一月余
以下是引用余辉在2009-4-13 8:15:00的发言:[br]支持考虑退变,许莫结节形成

支持
作者: songyi    时间: 2009-4-13 20:20
1)l3椎体前上缘许莫氏结节形成。2)腰椎退行性改变。
作者: hmyj9    时间: 2009-4-13 20:22
退变,许莫氏结节
作者: 看图说话    时间: 2009-4-13 20:41
标题: 回复:男,腰痛三月向右下肢放射一月余
以下是引用卜一在2009-4-13 7:12:00的发言:[br]椎体增生 硬化 囊变。考虑:退变!

作者: 51736011    时间: 2009-4-13 21:01
退变,许莫氏结节形成
作者: jiangjing    时间: 2009-4-13 21:28
l2大部分椎体信号增高-----脂肪变性,转移待排。l3 椎体t2 低信号考虑硬化增生。
作者: SUNBIN    时间: 2009-4-13 21:54
椎体退变.许莫氏结节.
作者: gule    时间: 2009-4-13 22:02
腰椎退行性改变
l3椎体前上部许莫氏结节征
作者: xulianj    时间: 2009-4-14 04:30
腰椎退行性改变
作者: ziyoufeixiang    时间: 2009-4-14 15:33
支持考虑退变,许莫结节形成
作者: lxq2000    时间: 2009-4-14 20:21
支持考虑退变,许莫结节形成
作者: liyf    时间: 2009-4-17 04:52
腰3椎体骨样骨瘤.
作者: ziyoufeixiang    时间: 2009-4-17 15:51
退变,许莫氏结节
作者: zyx168    时间: 2009-4-18 22:29
考虑退变
作者: wnlyq8688    时间: 2009-4-20 03:32
1)l3椎体前上缘许莫氏结节形成。2)腰椎退行性改变。
作者: 黑白光影    时间: 2009-4-20 05:28
支持考虑退变,许莫结节形成。
作者: docgobt103035    时间: 2009-11-1 05:29
支持考虑退变,许莫结节形成




欢迎光临 医影在线 (http://bbs.radida.com/bbs/) Powered by Discuz! X3.2