医影在线

标题: CT19377:本院家属,胸痛,无咳嗽咳痰发烧病史 [打印本页]

作者: HARRY    时间: 2009-4-14 17:41
标题: CT19377:本院家属,胸痛,无咳嗽咳痰发烧病史
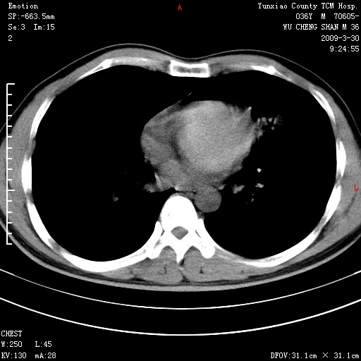
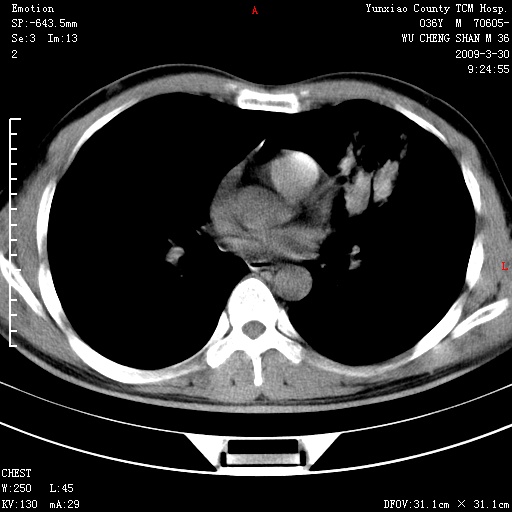
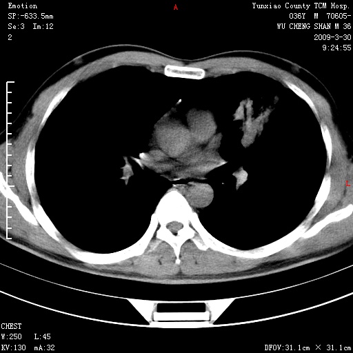
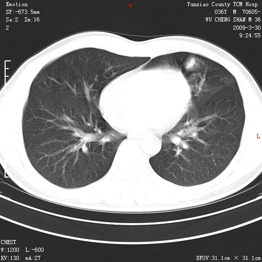
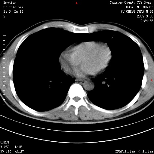
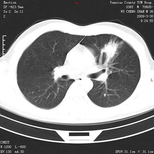
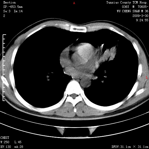
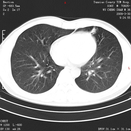
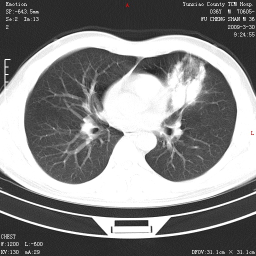
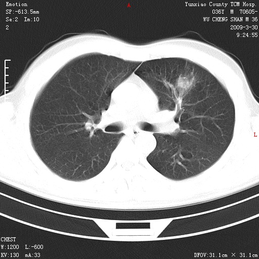
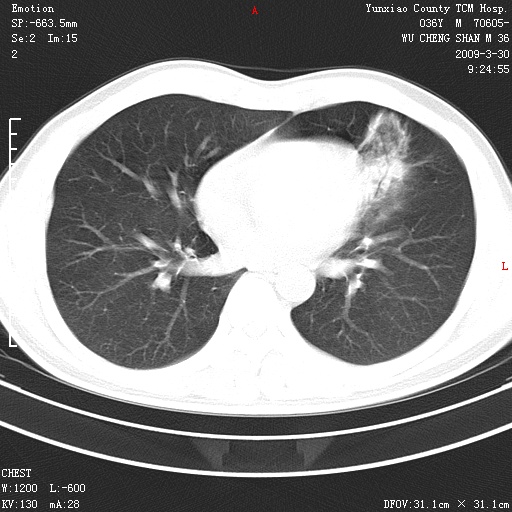
本院家属,胸痛,无咳嗽咳痰发烧病史,治疗一个月后病灶无明显改变,支气管镜示左肺慢性炎症,未见癌细胞,
















[本贴已被 翁志蓬 于 2009-4-14 23:21:18 修改过]

作者: 余辉    时间: 2009-4-14 17:54
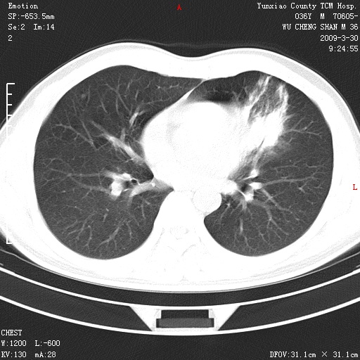
斑片状影,支气管气像,无发热咳嗽咳痰,慢性病程,镜检炎性,考虑淋巴瘤样肉芽肿,肺原发淋巴瘤出不排除
作者: panyishengct    时间: 2009-4-14 17:55
考虑炎性病变
作者: guduchunmeng    时间: 2009-4-14 17:59
临床资料不全,就影像资料来看,诊断炎性病变应该不错,肺结核?如果硬要考虑肺泡癌 证据不足!
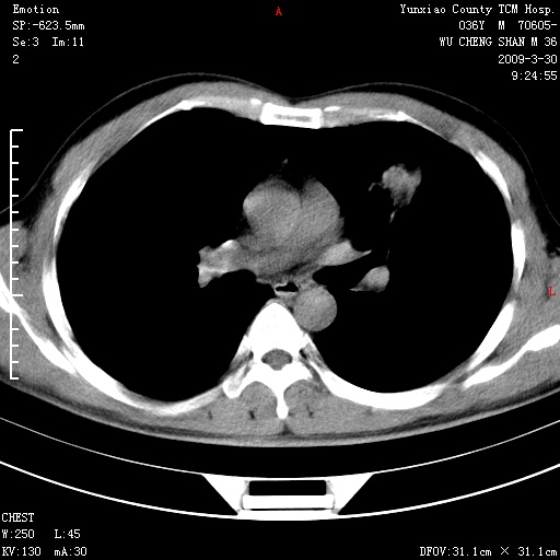
建议:1)上传全部资料 观察纵隔内情况 2)完善实验室检查。
作者: 尚可饭    时间: 2009-4-14 18:05
胸痛,无咳嗽咳痰发烧病史,治疗一个月后病灶无明显改变,支气管镜示左肺慢性炎症,未见癌细胞,左肺下叶前段片状影,边缘不清,内见空支气管征,纵隔未见淋巴结肿大,周围无卫星灶,应考虑为炎性病变。
作者: xly    时间: 2009-4-14 18:18
胸痛,无咳嗽咳痰发烧病史,治疗一个月后病灶无明显改变,支气管镜示左肺慢性炎症,未见癌细胞,左肺舌叶片状影,边缘不清,内见空支气管征,周围无卫星灶,应考虑为炎性病变。
作者: wansheng    时间: 2009-4-14 18:30
临床资料不全,就影像资料来看,诊断炎性病变应该不错,肺结核?如果硬要考虑肺泡癌 证据不足!
建议:1)上传全部资料 观察纵隔内情况 2)完善实验室检查。
作者: 深泽交通    时间: 2009-4-14 18:47
病灶分散,考虑炎性
作者: 主力军    时间: 2009-4-14 19:02
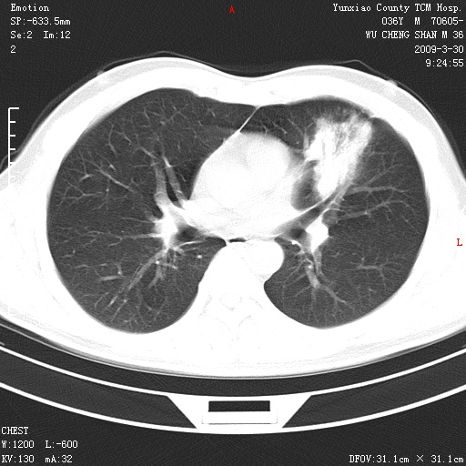
左肺上叶舌段结核可能性大
作者: sdzyy    时间: 2009-4-14 19:39
炎性病变,肺结核?
作者: 看图说话    时间: 2009-4-14 20:49
多考虑感染性病变,不除外淋巴瘤样肉芽肿。
作者: 随光逐影    时间: 2009-4-14 21:10
考虑左肺上叶舌段及前段感染性病变;建议正规抗炎治疗后复查。
作者: qxhxf    时间: 2009-4-14 21:20
考虑炎性改变不错,以结核可能性大
作者: chinanyd    时间: 2009-4-14 22:24
炎性改变,建议抗炎治疗后复查
作者: zjzjr    时间: 2009-4-14 22:40
支持机化性肺炎
作者: 黑白光影    时间: 2009-4-15 00:32
首先左肺上叶舌段炎性病变,机化性肺炎可能性大。
作者: 卜一    时间: 2009-4-15 00:42
炎性病变!肺结核?支持!
作者: 同    时间: 2009-4-15 01:31
考虑炎性病变或结核。
作者: 杀毒软件    时间: 2009-4-15 01:36
炎性病变
作者: zsl6918    时间: 2009-4-15 04:54
建议手术治疗!高度提示支气管粘膜相关性淋巴瘤.
作者: juxl    时间: 2009-4-15 05:17
我院有类似病例,穿刺后发现是肺癌,建议穿刺。
作者: 51736011    时间: 2009-4-15 16:26
左肺舌叶片状影,边缘不清,内见空支气管征,炎性病变
作者: 树根    时间: 2009-4-15 18:23
考虑炎性病变,建议穿刺。
作者: gule    时间: 2009-4-16 07:13
考虑炎性病变
作者: pujunzhi    时间: 2009-4-16 07:55
标题: 回复:ct19377:本院家属,胸痛,无咳嗽咳痰发烧病史
以下是引用随光逐影在2009-4-14 13:10:00的发言:[br]考虑左肺上叶舌段及前段感染性病变;建议正规抗炎治疗后复查。

作者: yuhongjun    时间: 2009-4-16 13:04
考虑左肺上叶舌段及前段感染性病变;建议正规抗炎治疗后复查。
作者: 52yingxiang    时间: 2009-4-16 16:43
考虑左肺上叶舌段及前段感染性病变;建议抗炎治疗后复查。
作者: dsl555    时间: 2009-4-17 02:30
考虑左肺上叶舌段及前段感染性病变;建议正规抗炎治疗后复查或穿刺。
作者: juxl    时间: 2009-4-17 18:15
有个胸外科医生说过一句话:宁可错杀一千不能放过一个,还是要做个穿刺。
作者: dr.yang    时间: 2012-6-24 14:45
考虑左肺上叶舌段及前段感染性病变;建议正规抗炎治疗后复查。




欢迎光临 医影在线 (http://bbs.radida.com/bbs/) Powered by Discuz! X3.2