

































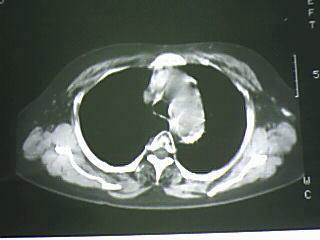
以下是引用bmw011在2009-4-14 19:14:00的发言:[br]右肺继发型肺结核---纵隔淋巴结多发钙化----左肺支扩。支持
以下是引用杀毒软件在2009-4-14 17:52:00的发言:[br]考虑---右肺继发型肺结核---纵隔淋巴结多发钙化----左肺支扩

以下是引用黑白光影在2009-4-14 20:36:00的发言:[br]右肺继发型肺结核;左下慢性支气管炎性病变。
| 欢迎光临 医影在线 (http://bbs.radida.com/bbs/) | Powered by Discuz! X3.2 |