医影在线

标题: X5605:跟骨骨骺有疲劳性骨折吗? [打印本页]

作者: yxwsd    时间: 2009-4-15 03:31
标题: X5605:跟骨骨骺有疲劳性骨折吗?
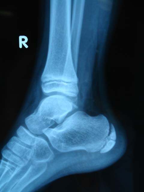
女,9岁。下楼是扭伤脚部。大家看看跟骨骨骺正常吗?有疲劳性骨折么?其骨化中心只有1个吗?



[本贴已被 cefcmj 于 2009-4-14 22:20:59 修改过]

作者: 杀毒软件    时间: 2009-4-15 03:37
未见异常,跟骨化骨中心有-----两个。
作者: zxd95    时间: 2009-4-15 03:40
应该考虑为骨骺
骨骺与骨折的鉴别应从多方面综合考虑:
1、有否外伤史;
2、透亮线是圆钝(骨骺)或锐利(骨折线);
3、有否错位(有错位的是骨折)...
作者: 黑白光影    时间: 2009-4-15 04:01
正常
作者: 余辉    时间: 2009-4-15 04:15
正常,正常跟骨骨骺骨化中心可\"节裂\",密度较高
作者: shiqingfa    时间: 2009-4-15 04:27
正常
作者: ncy888888    时间: 2009-4-15 04:34
正常
作者: zhengfaming    时间: 2009-4-15 04:37
不支持骨折
作者: ZHANGZHONGSHOU    时间: 2009-4-15 04:45
支持两个骨化中心。
作者: dyqct    时间: 2009-4-15 04:48
正常。
作者: 医盲    时间: 2009-4-15 04:52
跟骨骨骺正常表现。
作者: zhanggenliang    时间: 2009-4-15 05:03
两个骨化中心
作者: 王仕学    时间: 2009-4-15 05:13
正常
作者: yxwsd    时间: 2009-4-15 05:19
谢谢各位了。请问有专业的小儿骨关节疾病x线书籍吗?本人很需要。
作者: 施发春    时间: 2009-4-15 05:30
正常!
作者: 未见异常    时间: 2009-4-15 05:32
支持两个骨化中心。
作者: dr.yang    时间: 2009-4-15 05:58
支持两个骨化中心。
作者: jinguoji    时间: 2009-4-15 06:04
正常!
作者: 随光逐影    时间: 2009-4-15 06:06
属正常表现。
作者: hhx58    时间: 2009-4-15 06:39
无异常.儿童骨骼摄影必要时可摄双侧对比
作者: 当兵的    时间: 2009-4-15 06:45
大致正常
作者: zwqiang    时间: 2009-4-15 06:47
支持两个骨化中心。
作者: zsl6918    时间: 2009-4-15 15:34
正常所见
作者: 影像之路    时间: 2009-4-15 16:21
支持跟骨两个骨化中心     边缘较光滑      必要时可摄片双侧对比   
疲劳性骨折多见于运动员、芭蕾舞演员、士兵   常骨折发生部位为跖骨   胫骨
作者: fsk_2023    时间: 2009-4-15 17:03
正常
作者: LIAOQIANG    时间: 2009-4-15 18:38
跟骨骺未见异常。
作者: sdynlxt2009    时间: 2009-4-15 18:42
未见异常
作者: 小康    时间: 2009-4-15 19:13
正常
作者: 987654zwf    时间: 2009-4-15 21:10
未见异常。
作者: 华英雄    时间: 2009-4-15 23:10
标题: 回复:x5605:跟骨骨骺有疲劳性骨折吗?
以下是引用余辉在2009-4-14 20:15:00的发言:[br]正常,正常跟骨骨骺骨化中心可\"节裂\",密度较高

作者: liuhuian6    时间: 2009-4-15 23:23
正常,如软组织肿胀及痛厉害,才怀疑骨折可能。
作者: songyi    时间: 2009-4-15 23:46
正常
作者: hexue    时间: 2009-4-16 01:12
无异常.儿童骨骼摄影必要时可摄双侧对比
作者: ZGB5618    时间: 2009-4-16 02:01
正常,可以让他照对侧对比吗
作者: 513ytb    时间: 2009-6-16 07:07
跟骨化骨中心有-----两个
作者: 帅河马    时间: 2009-6-16 16:28
无异常.儿童骨骼摄影必要时可摄双侧对比
作者: ldc0057    时间: 2009-6-16 17:48
正常骨骺,必要时加照对侧位对比,疲劳性骨折多见于足第二跖骨。
作者: houhou5151    时间: 2009-6-17 02:32
未见异常!
作者: 513ytb    时间: 2009-6-28 15:33
正常骨骺,必要时加照对侧位对比,疲劳性骨折多见于足第二跖骨。
作者: rf    时间: 2009-6-29 02:20
正常骨骺
作者: 康振朝    时间: 2009-6-29 03:39
正常
作者: 987654zwf    时间: 2009-6-29 03:44
正常。
作者: ft445741743    时间: 2009-7-1 02:41
标题: 回复:x5605:跟骨骨骺有疲劳性骨折吗?
以下是引用余辉在2009-4-14 20:15:00的发言:[br]正常,正常跟骨骨骺骨化中心可\"节裂\",密度较高

作者: sunnyxtj    时间: 2009-7-24 15:50
正常。
作者: 小猫钓鱼    时间: 2009-7-25 00:17
应该是正常。
不放心就拍一个健侧对比!
作者: 帅河马    时间: 2009-7-25 03:35
正常
作者: shibing    时间: 2014-8-10 09:35
未见异常
作者: 吴医师    时间: 2014-9-14 12:02
引用第4楼余辉于2009-04-15 04:15发表的  :
正常,正常跟骨骨骺骨化中心可"节裂",密度较高





欢迎光临 医影在线 (http://bbs.radida.com/bbs/) Powered by Discuz! X3.2