










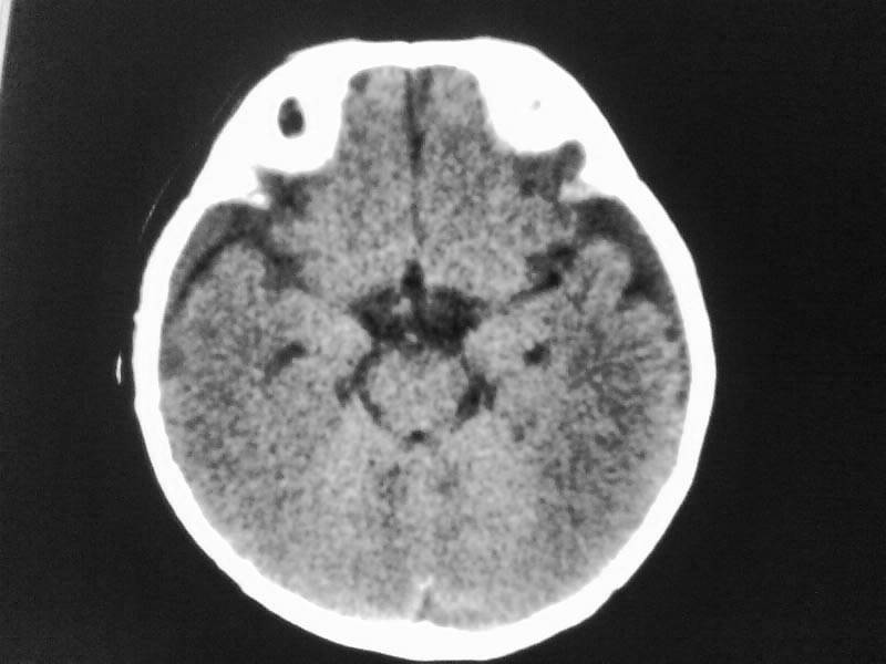
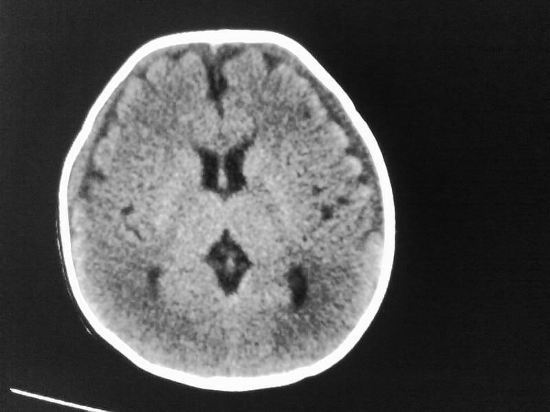
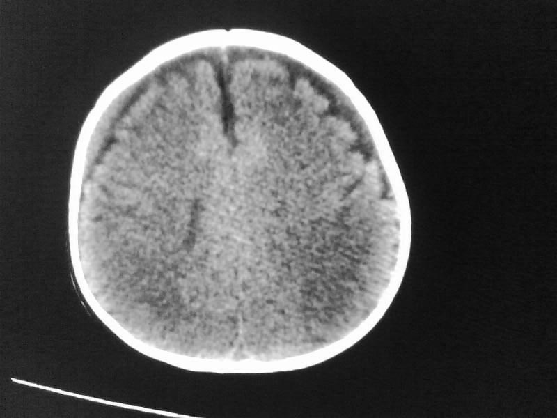
以下是引用小初学者在2009-4-15 10:26:00的发言:[br]考虑右侧额顶部硬膜下血肿。
以下是引用随光逐影在2009-4-15 17:59:00的发言:[br]1)右侧额颞顶部硬膜下血肿。2)外部性脑积水。
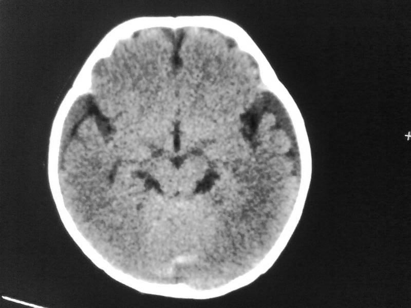
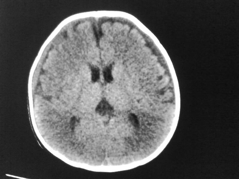
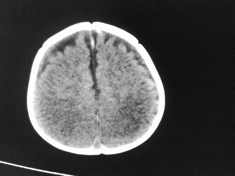
以下是引用随光逐影在2009-4-15 17:59:00的发言:[br]1)右侧额颞顶部硬膜下血肿。2)外部性脑积水。
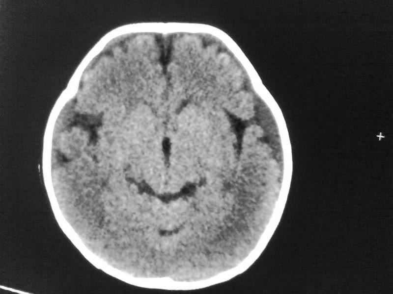
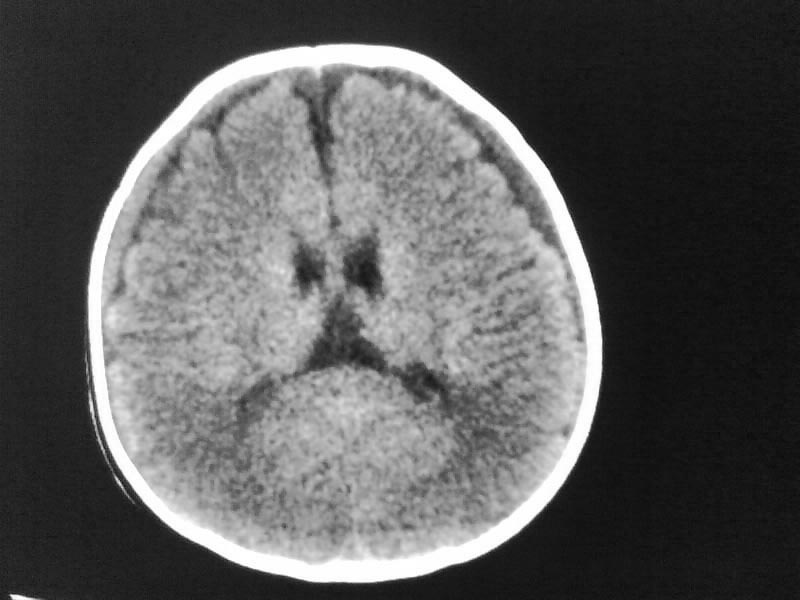
以下是引用随光逐影在2009-4-15 17:59:00的发言:[br]1)右侧额颞顶部硬膜下血肿。2)外部性脑积水。
| 欢迎光临 医影在线 (http://bbs.radida.com/bbs/) | Powered by Discuz! X3.2 |