医影在线
标题: CT19402:肝脏巨大囊实性占位 [打印本页]
作者: zhianxang 时间: 2009-4-16 04:23
标题: CT19402:肝脏巨大囊实性占位
(结果公布:http://www.radida.com/bbs/forum.php?mod=viewthread&tid=70204)
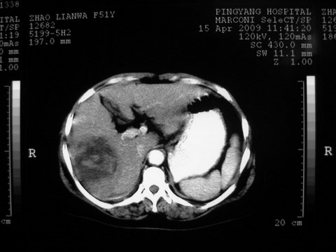
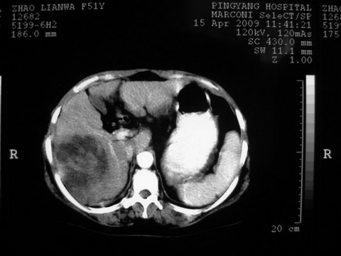
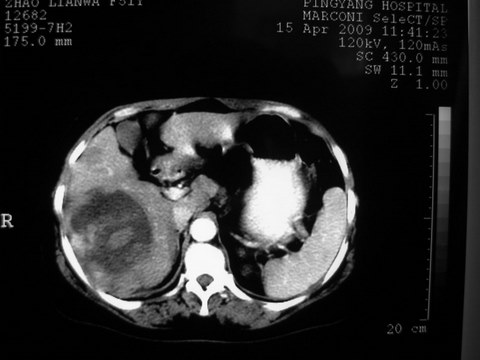
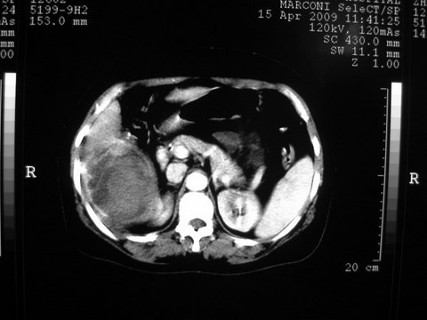
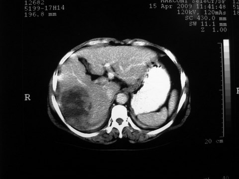
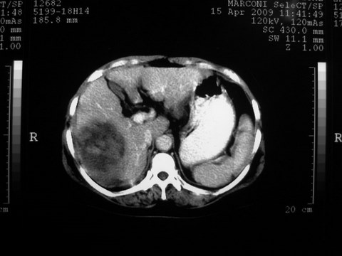
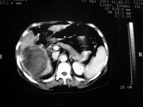
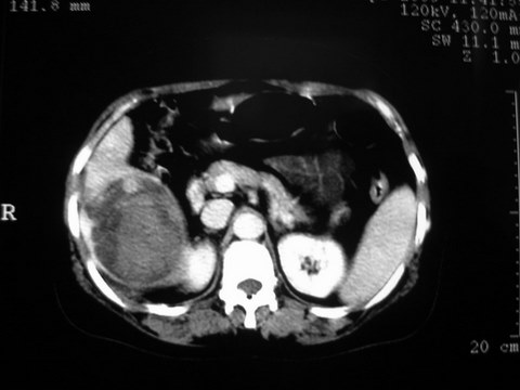
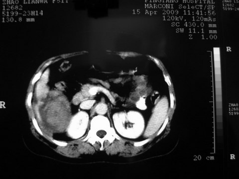
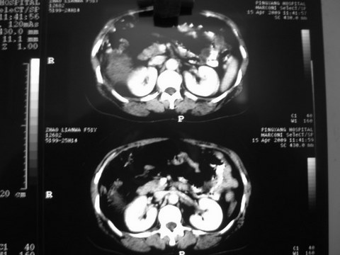
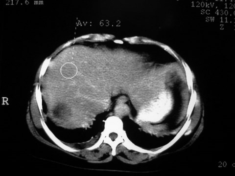
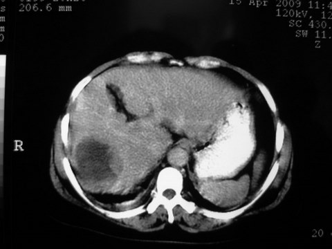
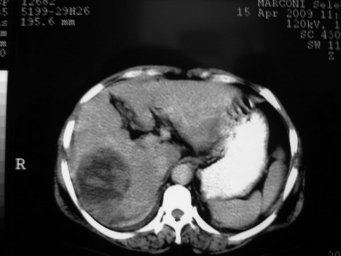
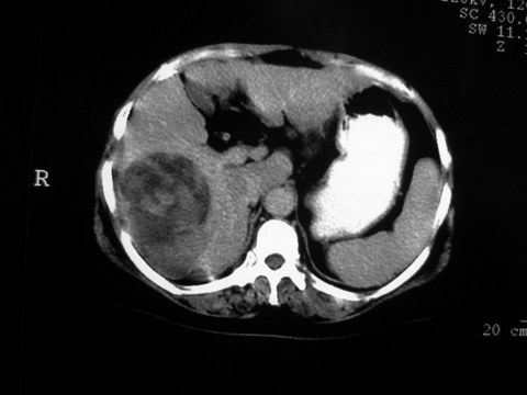
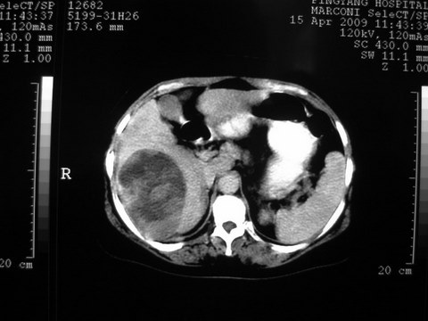
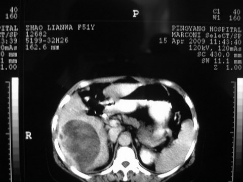
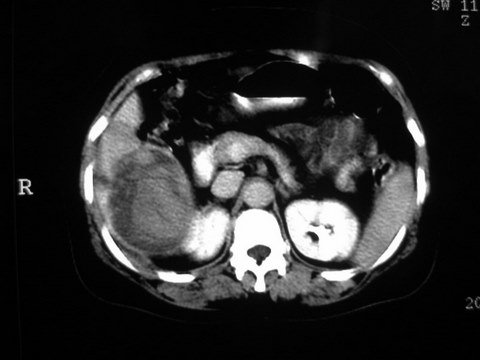
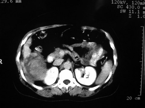
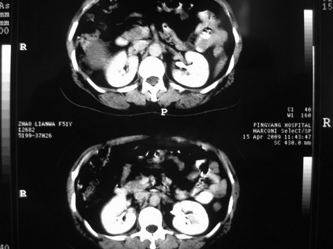
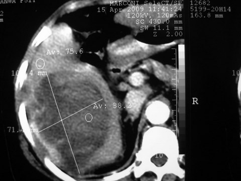
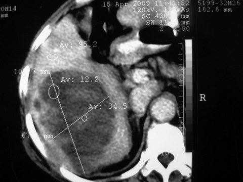
患者 女 51岁 两天前感觉上腹疼,无明显诱因,b超示肝右叶囊实性占位,边缘清楚,其内回声不均匀,ct增强如图,大家看看是什么 ,病人一年前及两月前b超检查只是提示胆囊炎 





































外院术后,证实肝癌合并出血
[本贴已被 jiajie 于 2009-4-15 22:55:06 修改过]
[本贴已被 zhianxang 于 2009-10-25 8:17:53 修改过]
[本贴已被 jiajie 于 2010-8-29 20:17:31 修改过]
作者: whzht 时间: 2009-4-16 04:34
肝包虫病?
作者: 一个人 时间: 2009-4-16 04:42
肝包虫病
作者: 同 时间: 2009-4-16 05:02
肝包虫病可能性大。
作者: abzzys 时间: 2009-4-16 05:51
考虑肝内良性肿瘤,没有平扫图像,单从增强图像看来不像包虫病,囊性包虫有完整的壁,其内呈液性,有些可见飘带征,泡状包虫主要以弥漫性钙化及中央液化坏死为主,还有就是结合患者有没有牧区生活史。
作者: 光线 时间: 2009-4-16 06:04
肝包虫病可能性大。
作者: 李文进 时间: 2009-4-16 06:31
本例有2个特点:1,病灶发展迅速,(2月前正常)
2,囊实性,且并边界清晰光滑,呈右后叶赘生性。
可以排除源发肝脏恶性肿瘤和良性肿瘤。
只有转移,出血或炎症可以发展迅速!
炎症:临床应该除局部疼痛外,合并发热,本例不具备!!包虫病,本人见的少,不敢多言,不过印象中包虫病囊液清亮!内见包虫体,急性感染者应该发热。
建议1结合临床,除外结肠或肺肿瘤合并肝脏转移瘤。
2,仔细问病史,有无创伤除外肝脏挫裂伤出血。
必要时局部穿刺!!!!!!!!
作者: mlfx123321 时间: 2009-4-16 06:43
多考虑肝包虫
作者: ctkz987 时间: 2009-4-16 07:03
标题: 回复:ct19402:肝脏巨大囊实性占位
特点:1,病灶发展迅速,(2月前正常)[br] 2,囊实性,且并边界清晰光滑,呈右后叶赘生性。囊性区无强化,实性部分较多轻度强化,边界欠清。考虑囊腺癌或囊腺瘤。
作者: pujunzhi 时间: 2009-4-16 07:17
肝脏良性肿瘤---血管平滑肌脂肪瘤可能性大。
作者: 影像孺子牛 时间: 2009-4-16 07:23
不持包虫,考虑肝癌出血?
作者: 胡宇 时间: 2009-4-16 07:44
考虑肝内良性肿瘤,没有平扫图像,单从增强图像看来不像包虫病,囊性包虫有完整的壁,其内呈液性,有些可见飘带征,泡状包虫主要以弥漫性钙化及中央液化坏死为主,还有就是结合患者有没有牧区生活史。
作者: 卜一 时间: 2009-4-16 13:57
考虑肝内良性肿瘤,没有平扫图像,单从增强图像看来不像包虫病,囊性包虫有完整的壁,其内呈液性,有些可见飘带征,泡状包虫主要以弥漫性钙化及中央液化坏死为主,还有就是结合患者有没有牧区生活史。支持!
作者: 深泽交通 时间: 2009-4-16 16:40
肝癌或囊腺癌
作者: huqi8888 时间: 2009-4-16 17:03
考虑为囊腺瘤合并瘤内出血?。
作者: 余辉 时间: 2009-4-16 17:45
增强扫描好像都没有强化的,不管灶周还是灶中心,支持考虑包虫病,别不除外肝囊内内出血,那些一块一块的为血凝块
作者: 小康 时间: 2009-4-16 19:05
1、考虑囊腺癌、包虫病结合病史排除 2、付脾?
作者: huang1111 时间: 2009-4-16 19:27
支持血管平滑肌脂肪瘤
作者: 江边一只鸟 时间: 2009-4-16 19:42
肝癌或肝挫裂伤
作者: 51736011 时间: 2009-4-16 21:15
血管肉瘤可能性大
作者: 随光逐影 时间: 2009-4-16 21:22
不排除肝右叶巨块型肝癌并出血可能。
作者: chinanyd 时间: 2009-4-16 22:23
考虑肝脏包虫病的可能性大
作者: 杀毒软件 时间: 2009-4-17 02:41
肝右叶巨块型肝癌并出血可能
作者: 黑白光影 时间: 2009-4-17 04:51
标题: 回复:ct19402:肝脏巨大囊实性占位
以下是引用杀毒软件在2009-4-16 18:41:00的发言:[br]肝右叶巨块型肝癌并出血可能
作者: juxl 时间: 2009-4-17 18:22
考虑肝脏良性病变(囊性)伴囊内出血(陈旧性)。
作者: lirenxiong 时间: 2009-4-17 19:01
标题: 回复:ct19402:肝脏巨大囊实性占位
以下是引用李文进在2009-4-15 22:31:00的发言:[br]本例有2个特点:1,病灶发展迅速,(2月前正常)[br] 2,囊实性,且并边界清晰光滑,呈右后叶赘生性。[br]可以排除源发肝脏恶性肿瘤和良性肿瘤。[br]只有转移,出血或炎症可以发展迅速![br]炎症:临床应该除局部疼痛外,合并发热,本例不具备!!包虫病,本人见的少,不敢多言,不过印象中包虫病囊液清亮!内见包虫体,急性感染者应该发热。[br]建议1结合临床,除外结肠或肺肿瘤合并肝脏转移瘤。[br] 2,仔细问病史,有无创伤除外肝脏挫裂伤出血。[br]必要时局部穿刺!!!!!!!!
作者: zhianxang 时间: 2009-6-3 23:54
出病理 中分化肝细胞癌合并出血
作者: 微风佛面 时间: 2009-6-6 08:06
应该考虑肿瘤并瘤内出血:
1、转移瘤出血常见;
2、肝腺瘤出血也常见。
作者: chinanyd 时间: 2009-6-6 14:50
肝脏包虫病?
作者: pujunzhi 时间: 2009-6-6 15:05
感谢楼主反馈病理结果(中分化肝细胞癌合并出血)。好病例,学习了!
作者: 黄玉龙 时间: 2009-6-6 16:12
学习了
作者: jiangguowu 时间: 2009-6-6 16:17
学习了
作者: qc80012345 时间: 2009-6-6 17:09
支持;肝右叶巨块型肝癌并出血可能。
作者: 37度 时间: 2010-8-30 20:44
以下是引用杀毒软件在2009-4-16 18:41:00的发言:
肝右叶巨块型肝癌并出血可能
作者: 拾荒者 时间: 2010-8-31 06:10
感谢楼主反馈病理结果(中分化肝细胞癌合并出血)。好病例,学习了!
作者: yuhongjun 时间: 2010-8-31 14:08
感谢楼主反馈病理结果(中分化肝细胞癌合并出血)。好病例,学习了!
| 欢迎光临 医影在线 (http://bbs.radida.com/bbs/) |
Powered by Discuz! X3.2 |