















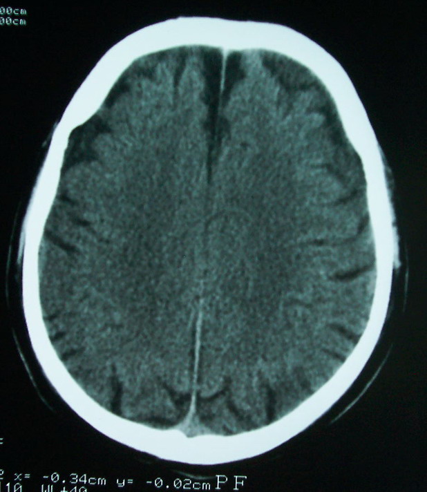
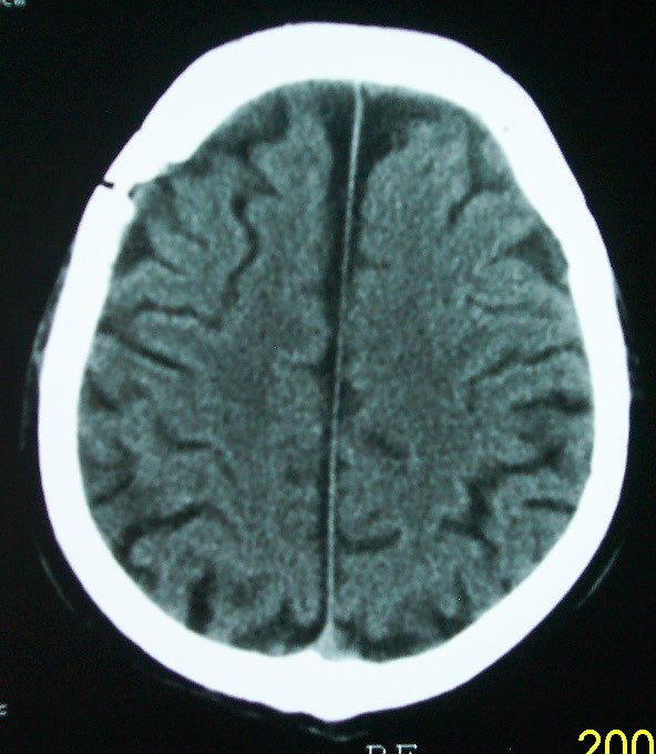
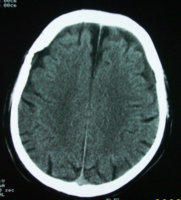
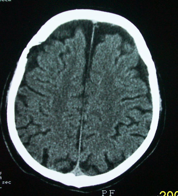
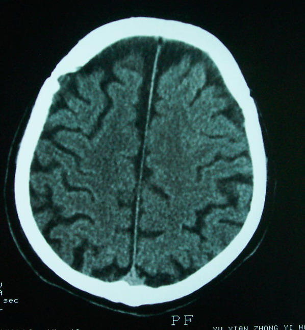
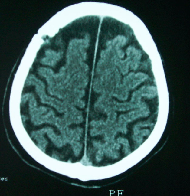
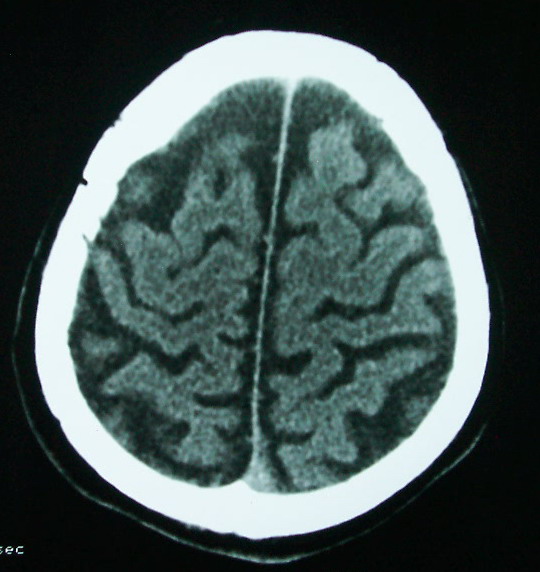
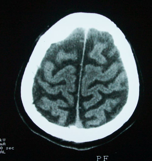
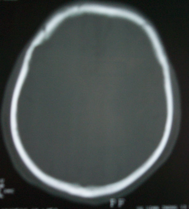
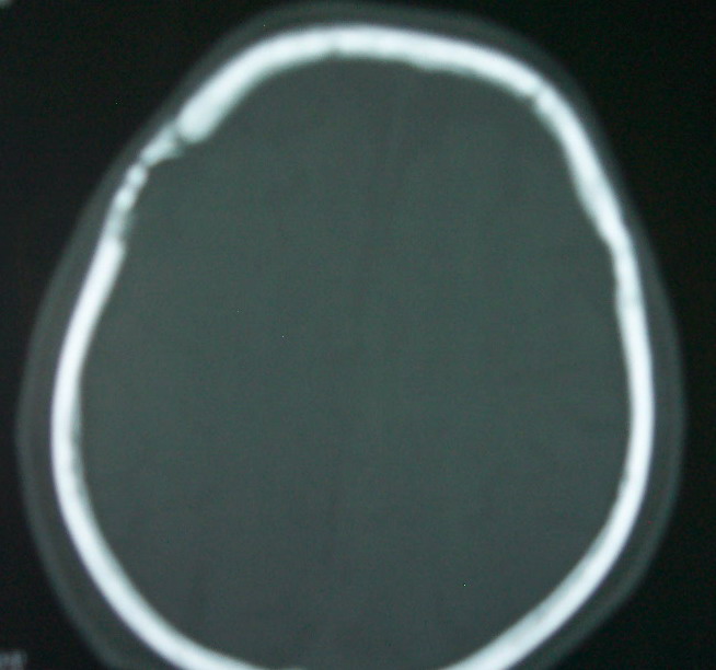
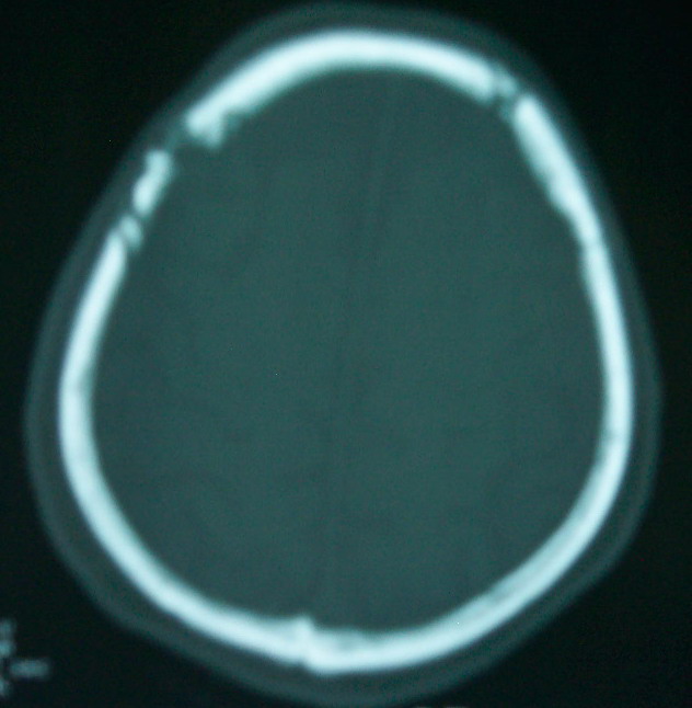
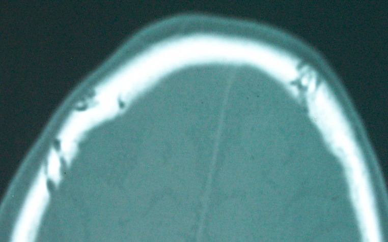
以下是引用余辉在2009-4-15 20:49:00的发言:[br]右侧病灶发生于冠状缝区,但额骨左侧鳞也有病灶,病灶区脑沟裂增宽(有脑萎缩征像,把这个征像放在颅骨病变一起考虑可能有点牵强),是否可能是板障血管畸形所致谢?抑或是嗜酸性肉芽肿或蛛网膜粒压迹那类东西?
以下是引用whzht在2009-4-15 20:57:00的发言:[br]1、额骨改变,考虑蛛网膜粒压迹;[br]2、脑萎缩。
以下是引用whzht在2009-4-15 20:57:00的发言:[br]1、额骨改变,考虑蛛网膜粒压迹;[br]2、脑萎缩。
| 欢迎光临 医影在线 (http://bbs.radida.com/bbs/) | Powered by Discuz! X3.2 |