医影在线

标题: CT19407:肝内还是肝外原发性肿瘤?? [打印本页]

作者: lanrenlaile    时间: 2009-4-16 20:01
标题: CT19407:肝内还是肝外原发性肿瘤??
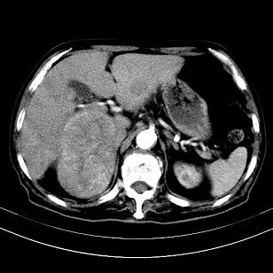
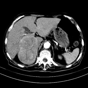
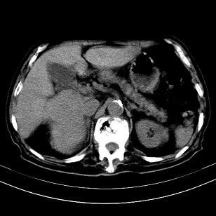
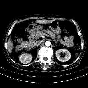
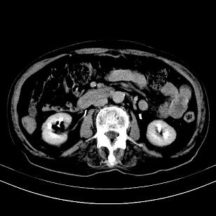
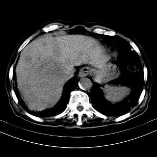
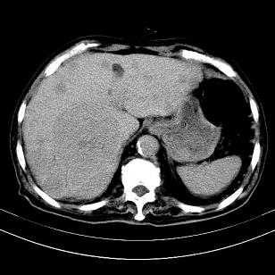
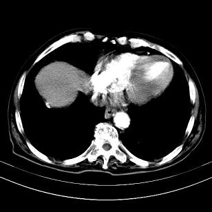
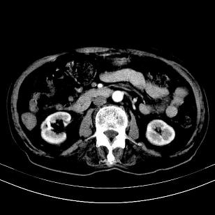
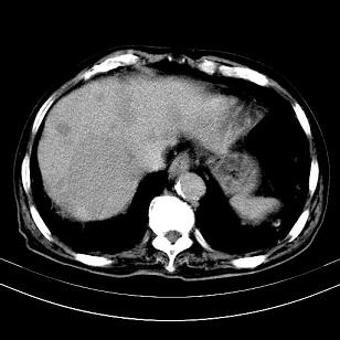
男,63岁,高血压病史40余年,



















































































[本贴已被 jiajie 于 2009-4-16 19:45:14 修改过]

作者: 光线    时间: 2009-4-16 20:49
来源-右侧肾上腺。

考虑右侧肾上腺巨大占位;恶性?
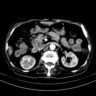
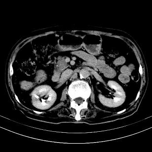
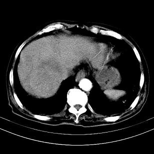
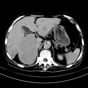
肝内多发低密度找;转移瘤?
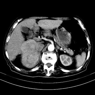
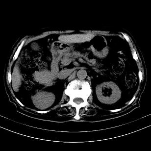
另:右肾结识,多发小囊肿。
作者: 余辉    时间: 2009-4-16 21:00
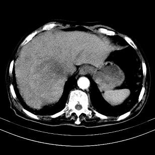
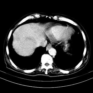
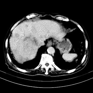
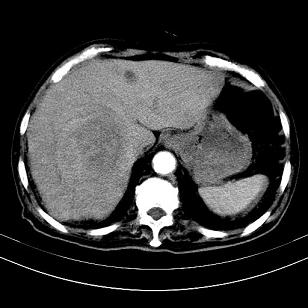
考虑右肝后叶肝癌伴多发肝内转移
作者: 余辉    时间: 2009-4-16 21:09
标题: 回复:肝内还是肝外原发性肿瘤??
是不是推挤移位的肾上腺

作者: pujunzhi    时间: 2009-4-16 21:29
标题: 回复:肝内还是肝外原发性肿瘤??
以下是引用余辉在2009-4-16 13:00:00的发言:[br]考虑右肝后叶肝癌伴多发肝内转移

作者: 深泽交通    时间: 2009-4-16 21:39
标题: 回复:肝内还是肝外原发性肿瘤??
以下是引用余辉在2009-4-16 13:00:00的发言:[br]考虑右肝后叶肝癌伴多发肝内转移

作者: 随光逐影    时间: 2009-4-16 21:39
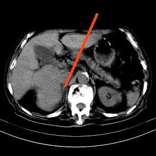
考虑右肝后叶肝癌(部分外生)伴肝内多发性转移;右侧肾上腺区恶性肿瘤并肝转移待排。
作者: 卜一    时间: 2009-4-16 21:58
考虑右肝后叶肝癌(部分外生)伴肝内多发性转移;右侧肾上腺区恶性肿瘤并肝转移待排。支持!
作者: panyishengct    时间: 2009-4-16 22:20
考虑右肝后叶肝癌(部分外生)伴肝内多发性转移
作者: 江边一只鸟    时间: 2009-4-16 22:31
考虑肝右叶变异肝癌并肝内转移
作者: 北方行者    时间: 2009-4-16 22:46
标题: 回复:肝内还是肝外原发性肿瘤??
以下是引用panyishengct在2009-4-16 14:20:00的发言:[br]考虑右肝后叶肝癌(部分外生)伴肝内多发性转移

作者: bmw011    时间: 2009-4-16 23:06
右侧肾上腺区恶性肿瘤并肝转移
作者: 水蓝色的    时间: 2009-4-16 23:51
支持肝癌肝内转移,肝硬化。
作者: zjzjr    时间: 2009-4-17 00:00
支持肝右叶巨块型肝癌伴肝内转移.
作者: songyi    时间: 2009-4-17 00:04
考虑右肝后叶肝癌(部分外生)伴肝内多发性转移;右侧肾上腺区恶性肿瘤并肝转移待排。支持!
作者: LIAOQIANG    时间: 2009-4-17 00:14
考虑右肝后叶肝癌(外生型)伴肝内转移。
作者: ydx_74    时间: 2009-4-17 00:21
肝癌肝转移
作者: heroin29    时间: 2009-4-17 00:23
。。。。。。
作者: yungui0531    时间: 2009-4-17 00:52
考虑右侧肾上腺肿瘤并肝内多发转移。右侧肾上腺呈“八”字形,包括内侧枝及外侧枝,内侧枝受压,考虑外侧枝原发肿瘤。”
作者: docgobt103035    时间: 2009-4-17 01:13
考虑外生性肝癌伴肝转移
作者: 杀毒软件    时间: 2009-4-17 03:06
考虑外生性肝癌伴肝转移
作者: guoke    时间: 2009-4-17 03:12
肝右叶外生性肝癌,伴肝内转移
作者: yrj0513    时间: 2009-4-17 03:24
支持肝右叶外生型肝癌并肝内转移
作者: yrj0513    时间: 2009-4-17 03:26
支持肝右叶外生型肝癌并肝内转移
作者: yuhongjun    时间: 2009-4-17 03:35
考虑右肝后叶肝癌(部分外生)伴肝内多发性转移;右侧肾上腺区恶性肿瘤并肝转移待排。支持!
作者: 黑白光影    时间: 2009-4-17 05:03
支持肝右叶巨块型肝癌伴肝内转移。
作者: pujunzhi    时间: 2009-4-17 05:35
考虑肝右后叶肝癌(部分外生)伴肝内多发性转移;不排除右侧肾上腺区恶性嗜铬细胞瘤并肝转移。
作者: pujunzhi    时间: 2009-4-17 05:37
考虑肝右后叶肝癌(部分外生)伴肝内多发性转移;不排除右侧肾上腺区恶性嗜铬细胞瘤并肝转移。




欢迎光临 医影在线 (http://bbs.radida.com/bbs/) Powered by Discuz! X3.2