医影在线

标题: CT19411:女,25岁。偶尔有右下腹不适感,余无明显异常。求 [打印本页]

作者: yzt222    时间: 2009-4-16 21:19
标题: CT19411:女,25岁。偶尔有右下腹不适感,余无明显异常。求
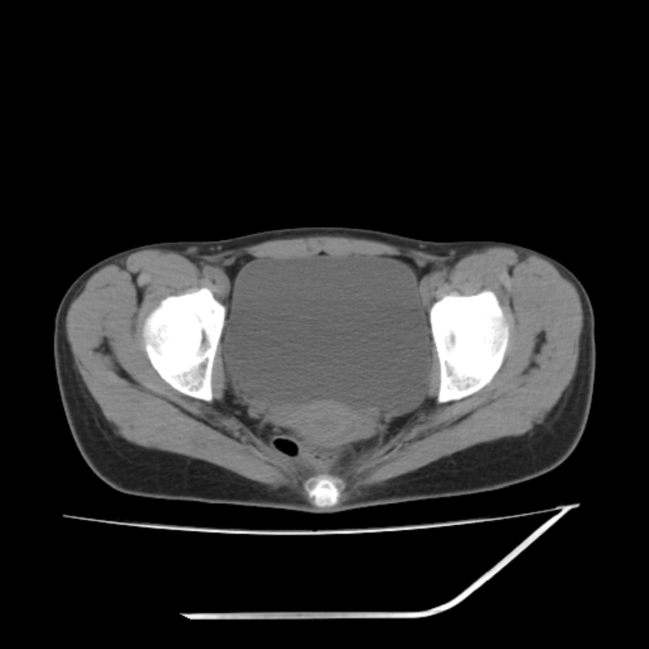
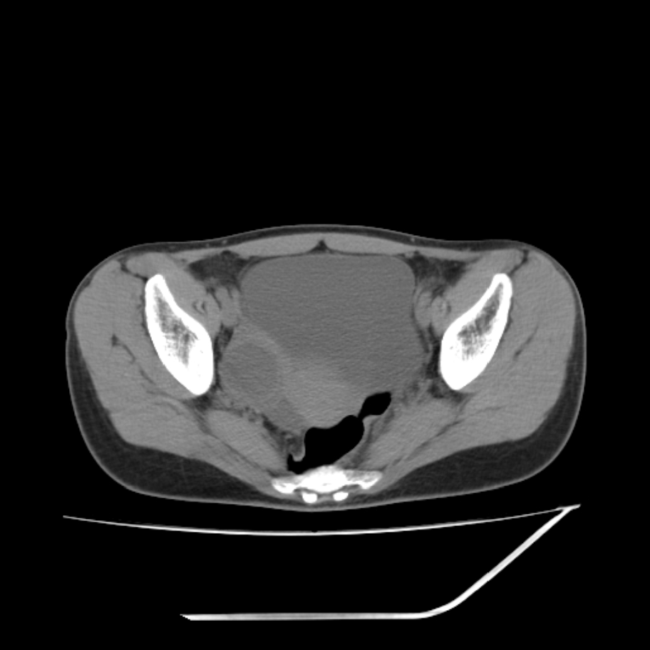
女,25岁。偶尔有右下腹不适感,余无明显异常。(结婚半年),囊壁较厚,是卵巢囊肿吗?

























[本贴已被 jiajie 于 2009-4-16 19:47:47 修改过]

作者: 余辉    时间: 2009-4-16 21:24
其上一层面见两枚小气泡影,考虑为肠管影可能,不完全除外囊肿
b超什么意见?
作者: 深泽交通    时间: 2009-4-16 21:31
支持卵巢囊肿
作者: 卜一    时间: 2009-4-16 21:42
支持卵巢囊肿!
作者: 随光逐影    时间: 2009-4-16 21:52
考虑右侧卵巢囊性占位性病变(巧克力囊肿?)。
作者: liuhuian6    时间: 2009-4-16 22:02
再扫描一下,看与肠关关系如何。
作者: 小康    时间: 2009-4-16 22:11
囊肿可能性大
作者: panyishengct    时间: 2009-4-16 22:28
支持卵巢囊肿
作者: wangcxyisheng    时间: 2009-4-16 22:44
支持卵巢囊肿
作者: LIAOQIANG    时间: 2009-4-16 23:07
考虑右侧卵巢囊性病变(巧克力囊肿?)。
作者: bmw011    时间: 2009-4-16 23:10
支持卵巢囊肿
作者: zjzjr    时间: 2009-4-16 23:11
支持卵巢囊肿!
作者: heroin29    时间: 2009-4-16 23:31
巧克力囊肿应该比较疼吧。
作者: woaiCT-MR    时间: 2009-4-16 23:41
发表一下个人意见,我觉得窗宽 窗位 是不是???
作者: zhianxang    时间: 2009-4-16 23:47
右侧卵巢区椭圆形囊性肿物,内壁光滑 无分隔。直肠子宫间隙内有少量积液征象。结合临床考虑卵巢巧克力囊肿,还要问问有没有痛经,本例ct怎么没有灌肠?要是灌肠或前一前口服造影剂,起码可以和肠管区别开
作者: 水蓝色的    时间: 2009-4-17 00:07
右侧囊性占位,1囊肿,2囊腺瘤。
作者: songyi    时间: 2009-4-17 00:14
支持卵巢囊肿
作者: yzt222    时间: 2009-4-17 00:16
b超示:囊实性占位,畸胎瘤?临床有痛经。
作者: ydx_74    时间: 2009-4-17 00:27
巧克力囊肿
作者: juxl    时间: 2009-4-17 01:06
考虑右侧卵巢囊性占位性病变(巧克力囊肿?),盆腔积液有不排除宫外孕可能,请结合临床和b超。
作者: 杀毒软件    时间: 2009-4-17 02:04
支持卵巢囊肿
作者: chinanyd    时间: 2009-4-17 02:35
卵巢囊肿合并感染?
作者: xulianj    时间: 2009-4-17 03:56
右侧卵巢囊伴盆腔少量积液。
作者: 黑白光影    时间: 2009-4-17 05:15
支持卵巢囊肿




欢迎光临 医影在线 (http://bbs.radida.com/bbs/) Powered by Discuz! X3.2