医影在线
标题: PED1850:男 2岁 头部外伤1天,有事吗? [打印本页]
作者: 还珠格格 时间: 2009-4-17 02:18
标题: PED1850:男 2岁 头部外伤1天,有事吗?
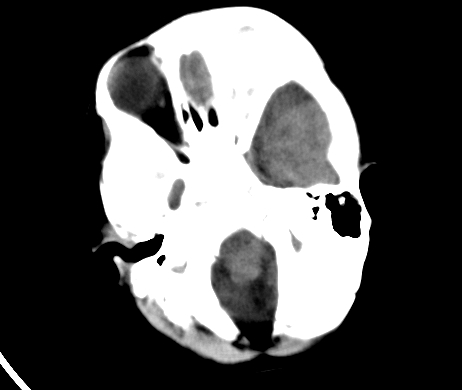
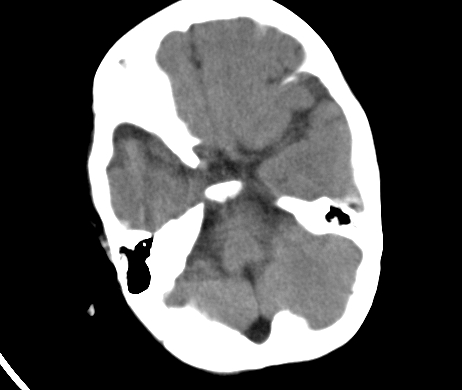
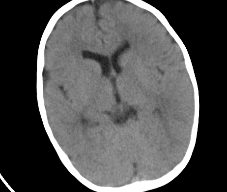
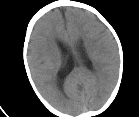
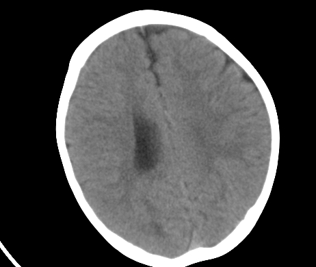
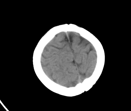
男 2岁 头部外伤1天,有事吗?科里意见不一 骨窗 没事,未上传











[本贴已被 还珠格格 于 2009-4-16 19:11:18 修改过]
[本贴已被 jiajie 于 2009-4-16 20:04:32 修改过]
作者: ydx_74 时间: 2009-4-17 02:38
(-)
作者: chinanyd 时间: 2009-4-17 02:54
未见异常,有骨窗吗?
作者: yrj0513 时间: 2009-4-17 03:09
未见明显异常
作者: 731208 时间: 2009-4-17 03:11
未见明显异常
作者: 宇宙CT 时间: 2009-4-17 03:13
脑先天发月不对称
作者: bmw011 时间: 2009-4-17 03:15
未见异常
作者: guoke 时间: 2009-4-17 03:16
未见明显异常,必要时做mri
作者: ct诊断高手 时间: 2009-4-17 03:16
未见明显异常
作者: ct诊断高手 时间: 2009-4-17 03:19
未见明显异常
作者: yuhongjun 时间: 2009-4-17 03:22
未见明显异常
作者: gjj6818 时间: 2009-4-17 03:22
未见明显异常
作者: wansheng 时间: 2009-4-17 03:41
未见明显异常
作者: yyzxwlp3 时间: 2009-4-17 03:52
平扫未见明显异常啊。
作者: liyf 时间: 2009-4-17 03:52
未见明显异常.
作者: xxjfb 时间: 2009-4-17 16:53
平扫未见明显异常
作者: 杀毒软件 时间: 2009-4-17 20:17
未见明显异常
作者: SUNBIN 时间: 2009-4-18 01:09
未见明显异常.
作者: 随光逐影 时间: 2009-4-18 01:40
未见明确异常。
作者: xly 时间: 2009-4-18 02:03
未见异常。
作者: 黑白光影 时间: 2009-4-18 05:16
平扫未见明显异常。
作者: yxq 时间: 2009-4-18 06:09
未见明显异常
作者: hexue 时间: 2009-4-18 15:46
未见明显异常
作者: jiangjing 时间: 2009-4-19 17:55
未见明显异常
作者: LIAOQIANG 时间: 2009-4-19 23:07
未见明显异常
作者: 学无止境 时间: 2009-4-20 00:15
未见与外伤有关病变;脑白质的比例较少,有发育异常吗?
作者: 同 时间: 2009-4-21 04:09
未见明显异常。
作者: 泪洒红尘 时间: 2009-4-21 19:13
学习中
作者: xizhong 时间: 2009-4-22 05:57
未见明显异常,必要时做mri
作者: scdlc2008 时间: 2009-4-23 22:02
未见明显异常
作者: dyqct 时间: 2009-4-27 04:56
未见明显异常。
| 欢迎光临 医影在线 (http://bbs.radida.com/bbs/) |
Powered by Discuz! X3.2 |