医影在线

标题: PED1851:患儿,一岁半。癫痫样抽搐三个月。 [打印本页]

作者: xupengjie    时间: 2009-4-17 19:12
标题: PED1851:患儿,一岁半。癫痫样抽搐三个月。
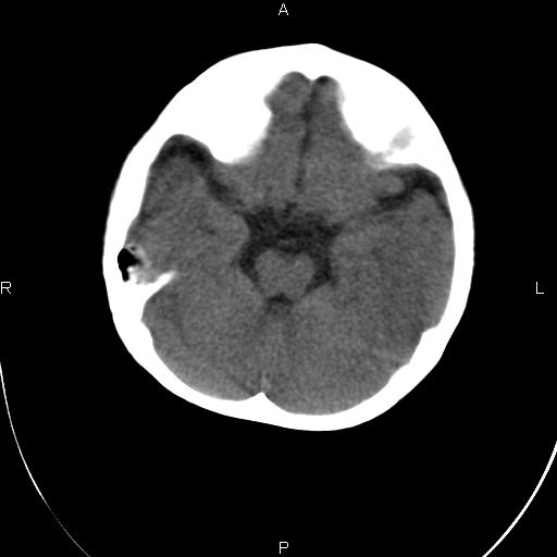
家属诉三个月前曾有发热体温达39以上,鼻塞流涕,伴抽搐。治疗后发热等症状消失,偶有抽搐,近几日抽搐频繁。小儿不怎么会看,请老师们指教。













[本贴已被 jiajie 于 2009-4-17 13:13:52 修改过]

作者: 深泽交通    时间: 2009-4-17 19:20
双侧额颞部硬模下积液征,建议除外脑膜炎检查
作者: 余辉    时间: 2009-4-17 19:37
脑外间隙积液,局部脑回受压,脑沟变浅,支持考虑硬膜下积液,建议增强看是否有脑膜强化
另右侧裂似乎明显较左侧长\\宽,不完全除外脑裂畸形
作者: 杀毒软件    时间: 2009-4-17 20:03
支持---硬模下积液
作者: ncy888888    时间: 2009-4-17 20:12
支持---硬模下积液,但需增强
作者: YRJ0513    时间: 2009-4-17 20:32
学习了
作者: SUNBIN    时间: 2009-4-18 01:11
支持硬膜下积液.
作者: 随光逐影    时间: 2009-4-18 01:41
脑外间隙增宽。
作者: 黑白光影    时间: 2009-4-18 05:15
脑外间隙增宽。
作者: hexue    时间: 2009-4-18 15:40
支持---硬模下积液
作者: jiangjing    时间: 2009-4-19 17:56
脑外间隙积液,局部脑回受压,脑沟变浅,支持考虑硬膜下积液,建议增强看是否有脑膜强化
另右侧裂似乎明显较左侧长\\宽,不完全除外脑裂畸形
作者: LIAOQIANG    时间: 2009-4-19 23:04
支持考虑硬膜下积液。
作者: 同    时间: 2009-4-21 04:07
脑外间隙增宽。
作者: shezishuang    时间: 2009-4-22 01:18
1脑膜炎?
2脑裂畸形—无脑回畸形
作者: 张XYZ    时间: 2009-4-22 05:42
未见异常,建议mri
作者: xizhong    时间: 2009-4-22 06:00
脑外间隙增宽,注意复查。
作者: scdlc2008    时间: 2009-4-23 22:14
考虑硬膜下积液
作者: 51736011    时间: 2009-4-24 00:44
双侧额颞叶发育不良,脑外间隙增宽
作者: dyqct    时间: 2009-4-27 04:55
脑外间隙增宽。支持!




欢迎光临 医影在线 (http://bbs.radida.com/bbs/) Powered by Discuz! X3.2