医影在线

标题: CT19443:肾脏肿瘤两个区强化不一样。 [打印本页]

作者: frzh    时间: 2009-4-17 21:42
标题: CT19443:肾脏肿瘤两个区强化不一样。
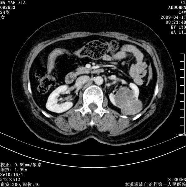
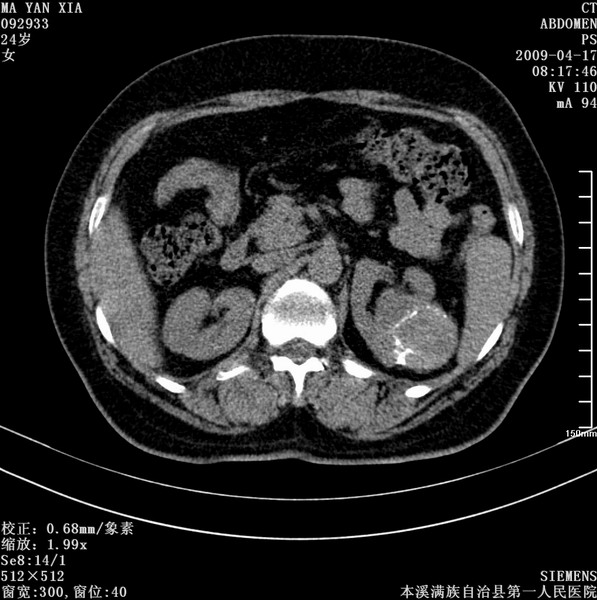
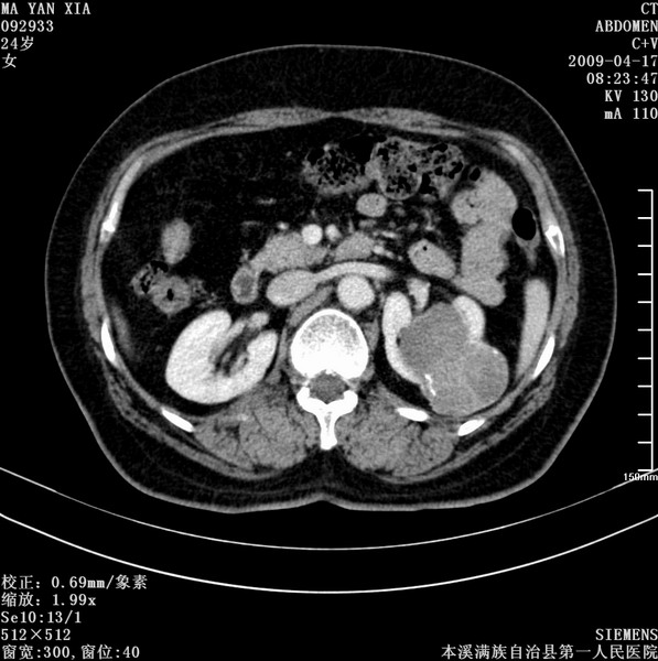
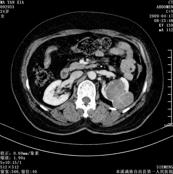
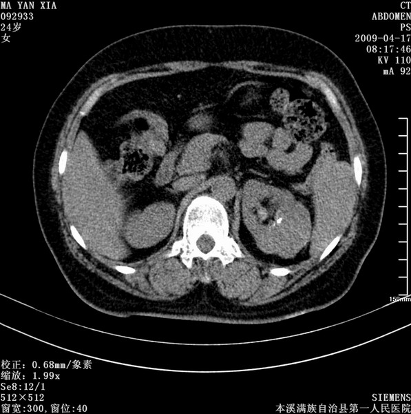
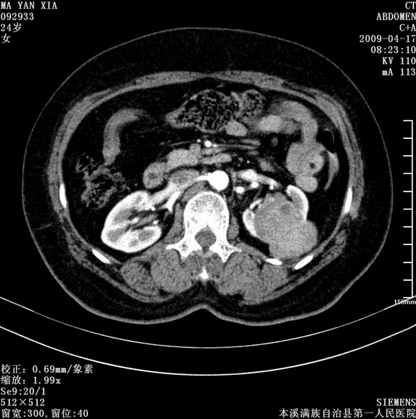
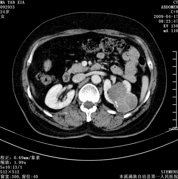
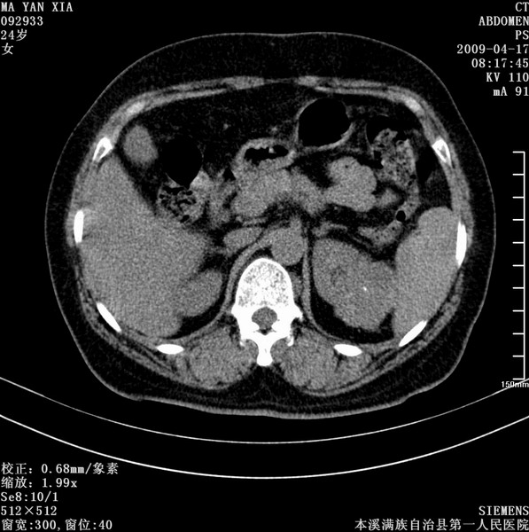
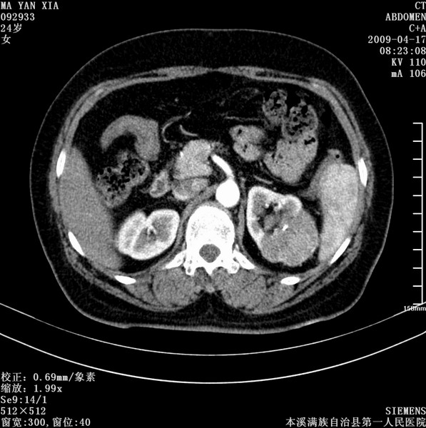
女,51岁,体检时发现肾脏占位,建议ct增强。无任何自觉症状。















[本贴已被 翁志蓬 于 2009-4-17 23:34:14 修改过]

作者: zjzjr    时间: 2009-4-17 22:24
首先考虑左肾癌.
作者: 泪洒红尘    时间: 2009-4-17 22:35
左侧肾脏占位,考虑肾癌。
作者: jiangjing    时间: 2009-4-17 22:41
左侧肾脏占位,考虑肾癌
作者: 深泽交通    时间: 2009-4-17 22:46
考虑肾盂癌
作者: 影像孺子牛    时间: 2009-4-17 22:46
左侧肾脏占位,考虑肾癌。
作者: muzi888    时间: 2009-4-17 22:52
肾盂癌,支持!
作者: ydx_74    时间: 2009-4-17 23:57
肾盂癌或肾癌侵犯肾盂
作者: SUNBIN    时间: 2009-4-18 00:10
考虑左侧肾盂癌.
作者: zjb    时间: 2009-4-18 00:28
左侧肾脏占位,考虑肾癌
作者: huqi8888    时间: 2009-4-18 00:33
左侧肾盂癌
作者: pujunzhi    时间: 2009-4-18 00:37
左侧肾癌侵犯肾盂。
作者: 康鹏    时间: 2009-4-18 01:06
应该把临床的资料给的全面点
考虑肾盂癌
作者: 卜一    时间: 2009-4-18 01:17
考虑左侧肾盂癌!
作者: 随光逐影    时间: 2009-4-18 01:22
考虑左肾癌侵犯肾盂。
作者: 沉默是金    时间: 2009-4-18 01:45
考虑肾癌侵犯肾盂
作者: 余辉    时间: 2009-4-18 02:17
支持考虑肾癌
病史提示患者51岁,而片子上是24岁,是否有出入?
作者: yuhongjun    时间: 2009-4-18 02:29
左侧肾脏占位,考虑肾癌。
作者: songyi    时间: 2009-4-18 02:35
考虑左肾癌.
作者: dongjingmou    时间: 2009-4-18 02:42
考虑肾癌
作者: 黄毛小子    时间: 2009-4-18 03:26
支持肾癌
作者: 放射熊    时间: 2009-4-18 03:45
典型的不均匀强化,左肾癌
作者: 37度    时间: 2009-4-18 04:31
多为肾癌。
作者: gule    时间: 2009-4-18 04:53
提示肾癌侵犯肾盂!
作者: 黑白光影    时间: 2009-4-18 05:00
肾盂癌或肾癌侵犯肾盂。
作者: YRJ0513    时间: 2009-4-18 08:06
左肾占位,考虑肾癌
作者: LIAOQIANG    时间: 2009-4-19 23:33
考虑左肾癌累及肾盂。
作者: zsl6918    时间: 2009-4-20 00:05
首先考虑肾癌,但如果术后病理是血管平滑肌脂肪瘤也不意外.
作者: 杀毒软件    时间: 2009-4-20 01:35
考虑肾癌
作者: dr.yang    时间: 2012-6-24 15:30
学习了




欢迎光临 医影在线 (http://bbs.radida.com/bbs/) Powered by Discuz! X3.2