医影在线

标题: PED1854:女 4岁,发热 咳嗽 胸透 考虑:左侧脓胸 [打印本页]

作者: 还珠格格    时间: 2009-4-20 00:38
标题: PED1854:女 4岁,发热 咳嗽 胸透 考虑:左侧脓胸
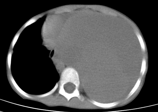
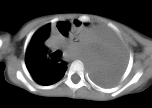
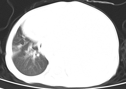
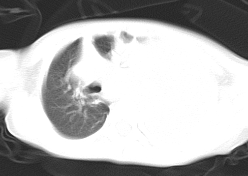
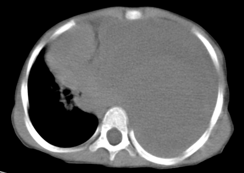
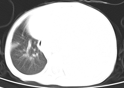
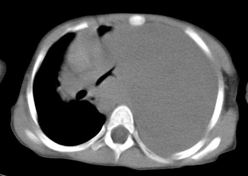
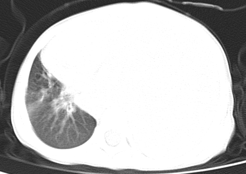
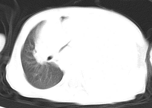
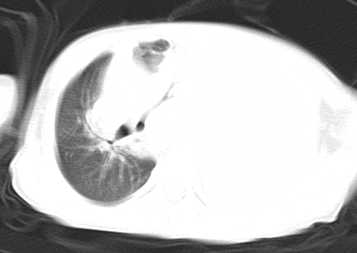
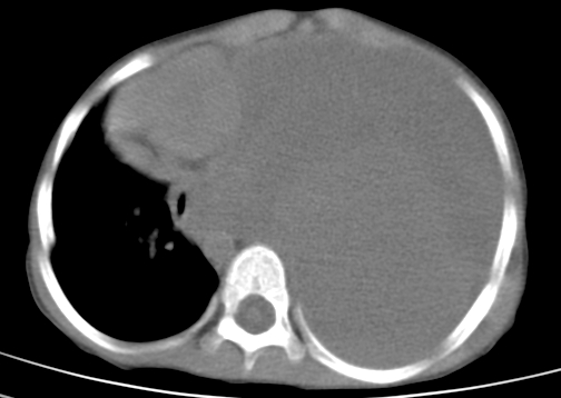
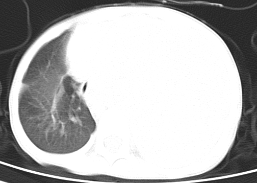
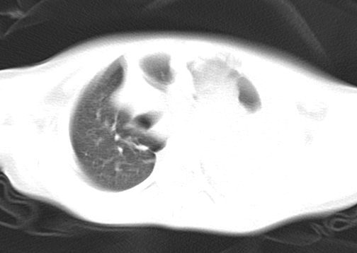
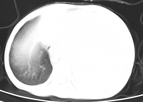
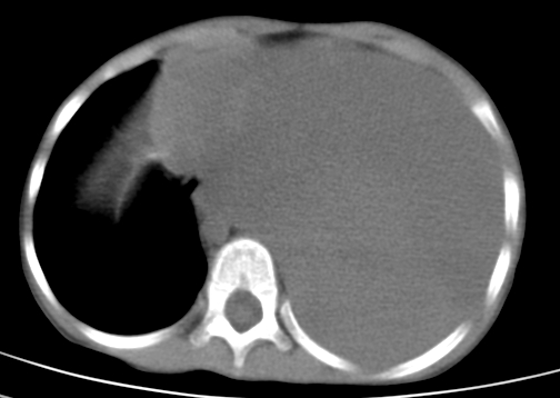
患儿 女 4岁,发热 咳嗽 胸透 考虑:左侧脓胸

































[本贴已被 jiajie 于 2009-4-19 17:33:25 修改过]

作者: 深泽交通    时间: 2009-4-20 00:56
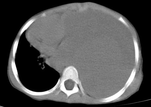
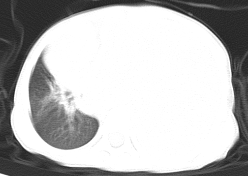
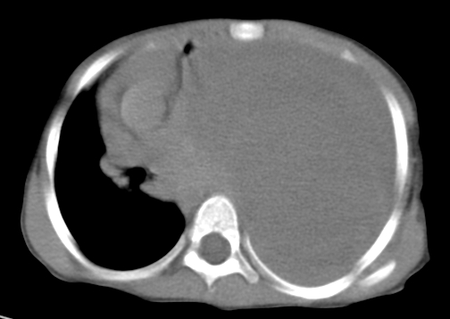
大量胸腔积液;抽取化验下
作者: 杀毒软件    时间: 2009-4-20 01:03
不排除---肠源性囊肿或淋巴瘤
作者: 拾荒者    时间: 2009-4-20 05:18
左侧胸廓内见大量密实阴影,肺尖部尚有少量肺组织影,纵膈明显受压移位,肋骨未见明显受侵征象,虽然病人年龄较小,但如此大量的“积液”,还是要警惕,不同意一般感染,可结合穿刺脱落细胞学检查。
作者: real520    时间: 2009-4-20 05:40
大量胸腔积液;抽取化验下
作者: 水蓝色的    时间: 2009-4-20 06:11
支持5楼。
作者: 随光逐影    时间: 2009-4-20 07:11
1)考虑左肺炎症感染。2)左侧大量胸腔积液。
作者: zsl6918    时间: 2009-4-20 14:01
支持楼主
作者: jiangjing    时间: 2009-4-20 18:16
左侧胸廓内见大量密实阴影,肺尖部尚有少量肺组织影,纵膈明显受压移位,肋骨未见明显受侵征象,虽然病人年龄较小,但如此大量的“积液”,还是要警惕,不同意一般感染,可结合穿刺脱落细胞学检查。
作者: 同    时间: 2009-4-21 04:02
左侧大量胸腔积液。
作者: 黑白光影    时间: 2009-4-21 05:58
1)考虑左肺炎症感染。2)未经穿刺只能定左侧大量胸腔积液。
作者: 泪洒红尘    时间: 2009-4-21 19:08
1)考虑左肺炎症感染。2)未经穿刺只能定左侧大量胸腔积液。
作者: qingshan100    时间: 2009-4-22 04:45
大量胸腔积液;抽取化验下
作者: 张XYZ    时间: 2009-4-22 05:48
支持4楼意见
作者: xizhong    时间: 2009-4-22 06:07
大量胸腔积液
作者: LIAOQIANG    时间: 2009-4-22 17:27
左侧大量胸腔积液;建议胸水检查。
作者: scdlc2008    时间: 2009-4-23 22:24
左侧大量胸腔积液。原因?
作者: 51736011    时间: 2009-4-24 00:38
大量胸腔积液;抽取化验下
作者: dyqct    时间: 2009-4-27 04:52
左侧张力性大量胸腔积液压迫性肺不张、感染;建议治疗后复查。
作者: 三生有幸    时间: 2011-3-8 22:16
同意楼上
作者: xwm9909    时间: 2011-3-10 13:44
左侧大量胸腔积液,原因待查。




欢迎光临 医影在线 (http://bbs.radida.com/bbs/) Powered by Discuz! X3.2