医影在线

标题: CT19472:典型病例大家分享 [打印本页]

作者: lxq2000    时间: 2009-4-20 01:37
标题: CT19472:典型病例大家分享
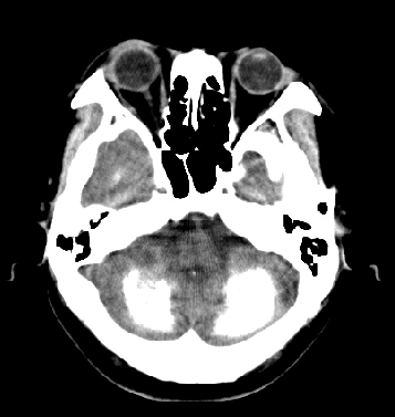
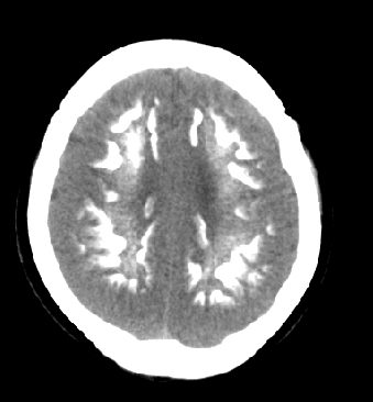
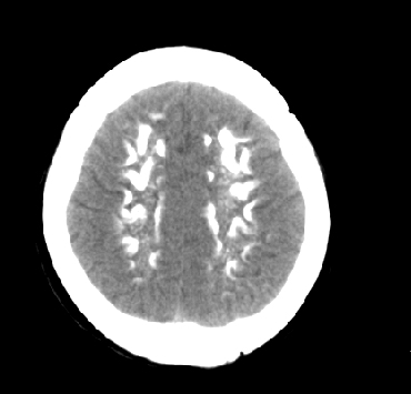
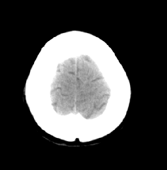
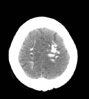
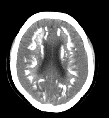
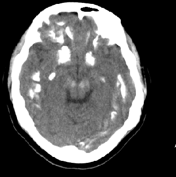
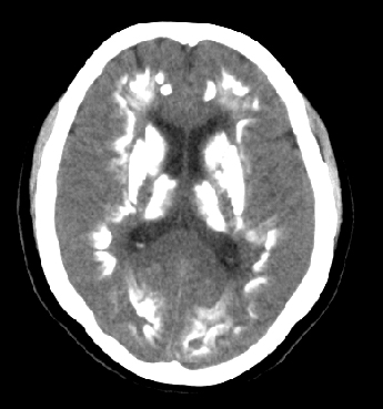
女性 38岁 病人脚弓反张 8岁以后不能行走 今年查pth11.9ng/ml(正常28ng/ml)













[本贴已被 jiajie 于 2009-4-19 19:51:45 修改过]

作者: 杀毒软件    时间: 2009-4-20 01:41
标题: 1
谢分享----甲状旁腺功能减退

[本贴已被 杀毒软件 于 2009-4-19 17:55:32 修改过]

作者: lhf8188    时间: 2009-4-20 01:58
应该是甲状旁腺功能低下吧?
作者: 小宇宙    时间: 2009-4-20 02:26
考虑甲状旁腺功能低下
作者: songyi    时间: 2009-4-20 02:29
甲状旁腺功能低下
作者: huang1111    时间: 2009-4-20 02:39
甲状旁腺功能低下
作者: 看图说话    时间: 2009-4-20 03:02
谢谢了,图像很典型!
作者: guoke    时间: 2009-4-20 03:14
同意诊断甲状旁腺功能低下症
作者: 卜一    时间: 2009-4-20 03:36
甲状旁腺功能低下!典型!
作者: wnlyq8688    时间: 2009-4-20 03:44
同意诊断甲状旁腺功能低下症
作者: dengkai    时间: 2009-4-20 03:48
甲状旁腺功能低下!典型!
作者: 宇宙CT    时间: 2009-4-20 04:00
谢谢了,图像很典型!
作者: wjx360    时间: 2009-4-20 04:10
多谢分享!
作者: shuhangyong    时间: 2009-4-20 04:11
谢谢分享
作者: heroin29    时间: 2009-4-20 04:16
这么弥漫的钙化还第一次见。
作者: 泪洒红尘    时间: 2009-4-20 04:22
支持
作者: 影像之路    时间: 2009-4-20 04:28
经典之作      甲状旁腺功能减低
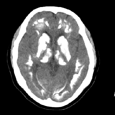
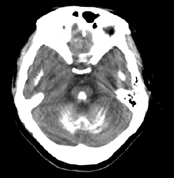
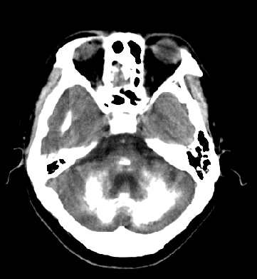
考虑甲状旁腺功能减退症,该病是因甲状旁腺激素分泌减少或功能障碍所引起的少见病。其特点是低血钙,高血磷,且血pth极低。因低钙常可引起神经精神激惹症状,包括手指,趾,口角麻木,严重时可出现肌肉痉挛,喉哮鸣和惊厥,甚至癫痫样发作,有的可出现抑郁症及精神失常。长期的高磷血症可引起脑内结构对称性多发性钙化,特别是小脑和基底节的钙化可致锥体外系症状,而钙化的ct表现为类似于脑出血的密度增高影。
鉴别诊断:fahr 病,又称特发性家族性脑血管亚铁钙沉着症,是一种少见病,男女发病无显著差异,多为散发。临床表现为阵发性意识不清,首发症状开始于14~51 岁不等,以后呈阵发性发作,表现为突然神志丧失、跌倒、四肢抽搐约,发作后常表现为意识淡漠,性格改变,血清钙在正常范围。ct表现尾状核头呈倒“八”字形或片状钙化,在大脑半卵圆中心皮、髓质交界处多为点、小片状钙化,丘脑多呈对称小点、小条状钙化,小脑齿状核呈括弧形或不对称性小片状钙化。

原发性甲状旁腺功能减退症和fahr病都有神志上的改变等症状,且头颅ct检查均可见颅内出现钙化。但fahr病无pth低下,ct表现钙化影在大脑半卵圆中心皮髓质交界处、丘脑、小脑齿状核等处。 而甲状旁腺功能减退症pth极低,ct虽可见钙化影,但部位在小脑和基底节等处。

fahr病未发病时可无任何症状体征,但其危害性极高,会由于突然的神智不清而发生不必要的意外伤害,在临床上,特别是影像医生该提高认识,及早发现该病,及早诊断,告知病人更好的自我保护,以防发生意外伤害。
作者: 黑白光影    时间: 2009-4-20 04:51
甲状旁腺功能低下!典型!
作者: huangxinghai    时间: 2009-4-20 05:45
谢谢了
作者: 影象小泰斗    时间: 2009-4-20 06:00
甲状旁腺功能低下
作者: 水蓝色的    时间: 2009-4-20 06:00
典型病例,谢谢分享。
作者: wuyiyunwu    时间: 2009-4-20 06:14
真典型!
作者: 随光逐影    时间: 2009-4-20 06:26
甲状旁腺机能低下。

感谢楼主提供共享。
作者: 七心海棠_1    时间: 2009-4-20 07:05
典型病例,谢谢楼主。
作者: gule    时间: 2009-4-20 07:16
符合甲旁减!
作者: 影像孺子牛    时间: 2009-4-20 07:42
考虑:代谢性疾病,甲状旁腺机能低下可能性大。必需要结合生化检查。
作者: zsl6918    时间: 2009-4-20 13:47
好病例,谢谢共享.
作者: cefcmj    时间: 2009-4-20 15:23
典型甲状旁腺功能低下。
作者: ziyoufeixiang    时间: 2009-4-20 15:28
典型甲状旁腺功能低下。
作者: 深泽交通    时间: 2009-4-20 16:37
标题: 回复:ct19472:典型病例大家分享
以下是引用杀毒软件在2009-4-19 17:41:00的发言:[br]谢分享----甲状旁腺功能减退[br][br]
[本贴已被 杀毒软件 于 2009-4-19 17:55:32 修改过]

作者: zjzjr    时间: 2009-4-20 17:27
谢谢了,图像很典型!
作者: jiangjing    时间: 2009-4-20 17:27
甲状旁腺功能低下,谢谢分享!
作者: ydx_74    时间: 2009-4-20 18:33
典型
作者: lirenxiong    时间: 2009-4-20 18:38
典型 谢谢
作者: 小康    时间: 2009-4-20 19:14
谢谢分享
作者: aka502    时间: 2009-4-20 19:36
典型甲状旁腺功能低下!
作者: 王显瑞    时间: 2009-4-20 20:50
甲状旁腺功能低下,或fach(家族性缺铁性疾病}
作者: wansheng    时间: 2009-4-21 00:25
甲状旁腺功能低下!典型!感谢楼主!
作者: chinanyd    时间: 2009-4-21 03:26

作者: 51736011    时间: 2009-4-22 00:28
同意诊断甲状旁腺功能低下症
作者: frzh    时间: 2009-4-22 01:52
符合甲旁减
作者: zbp537    时间: 2009-4-22 03:33
甲状旁腺功能有减退性脑病
作者: gule    时间: 2009-4-22 04:43
符合甲状旁腺功能低下!典型!
作者: 513ytb    时间: 2009-6-24 22:47
甲状旁腺功能减退.




欢迎光临 医影在线 (http://bbs.radida.com/bbs/) Powered by Discuz! X3.2