
















以下是引用jiangjing在2009-4-20 9:17:00的发言:[br]诊断方面同意楼主的思路,诊断须要结合临床实验室与免疫学等多项检查,治疗方面须请教临床,但激素不能缺少
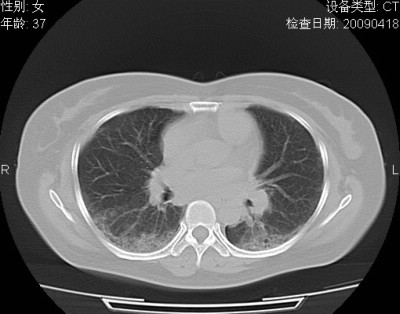
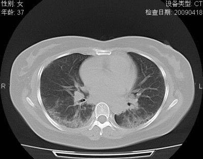
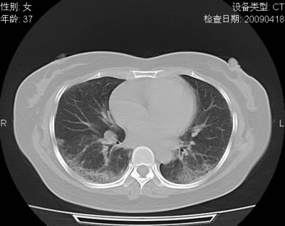
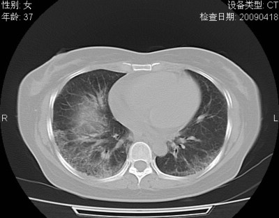
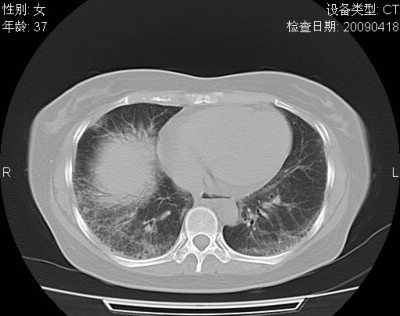
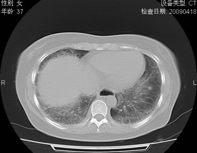
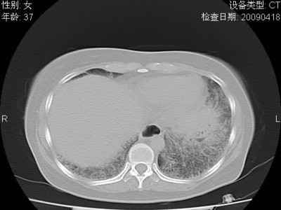
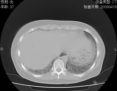
以下是引用随光逐影在2009-4-20 8:03:00的发言:[br]两肺间质性病变(间质性肺炎?特发性肺间质纤维化?)。
以下是引用51736011在2009-4-21 16:24:00的发言:[br]两肺间质性病变(间质性肺炎?特发性肺间质纤维化?)。
| 欢迎光临 医影在线 (http://bbs.radida.com/bbs/) | Powered by Discuz! X3.2 |