医影在线

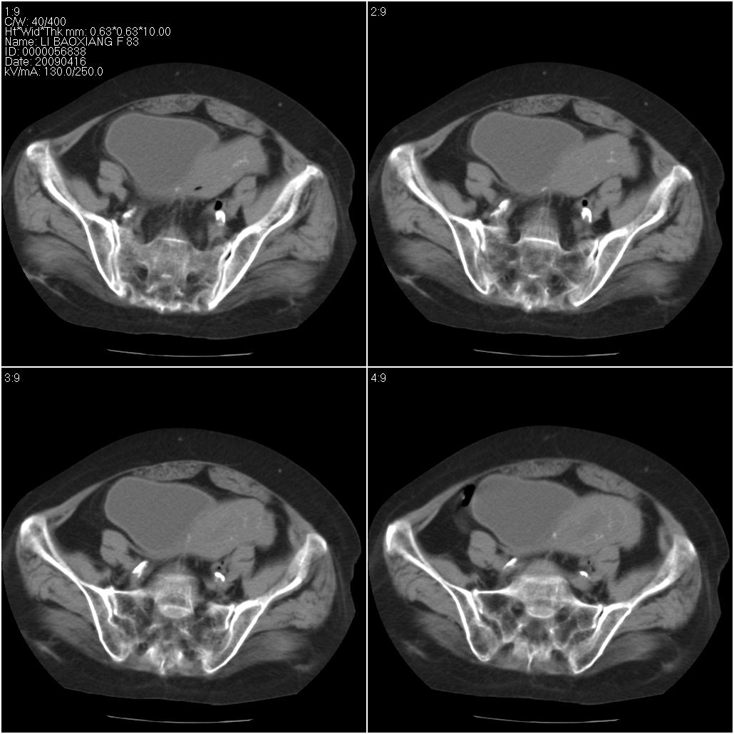
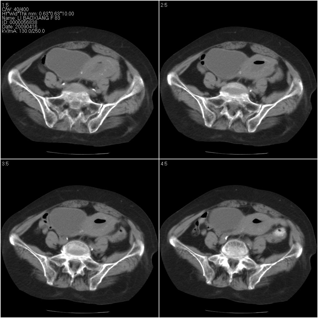
标题: CT19496:女性,83岁。阴道出血多年,患者一般情况良好。 [打印本页]

作者: sxlcbc    时间: 2009-4-21 13:11
标题: CT19496:女性,83岁。阴道出血多年,患者一般情况良好。









[本贴已被 jiajie 于 2009-4-21 18:42:18 修改过]

作者: zsl6918    时间: 2009-4-21 15:22
乙状结肠病变累及子宫,建议结合妇科检查
作者: 随光逐影    时间: 2009-4-21 16:11
考虑乙状结肠肿瘤累及子宫;建议行肠镜检查。
作者: 深泽交通    时间: 2009-4-21 16:27
标题: 回复:女性,83岁。阴道出血多年,患者一般情况良好。
以下是引用随光逐影在2009-4-21 8:11:00的发言:[br]考虑乙状结肠肿瘤累及子宫;建议行肠镜检查。

作者: 奥特之父    时间: 2009-4-21 16:31
考虑:乙状结肠癌累及子宫,建议钡剂灌肠。
作者: wansheng    时间: 2009-4-21 16:40
考虑乙状结肠肿瘤累及子宫;建议行肠镜检查。
作者: 小康    时间: 2009-4-21 16:52
支持上楼
作者: LIAOQIANG    时间: 2009-4-21 17:20
考虑乙状结肠肿瘤累及子宫;建议行肠镜检查。
支持!
作者: wangcxyisheng    时间: 2009-4-21 17:24
支持
作者: 杀毒软件    时间: 2009-4-21 20:06
支持大家,做肠镜
作者: 王显瑞    时间: 2009-4-21 22:11
考虑乙状结肠肿瘤累及子宫;建议行肠镜检查。
支持!
作者: ydx_74    时间: 2009-4-21 23:12
乙状结肠癌累及子宫
作者: 沉默是金    时间: 2009-4-22 00:18
考虑乙状结肠肿瘤累及子宫;建议行肠镜检查
作者: gule    时间: 2009-4-22 03:53
以下是引用随光逐影在2009-4-21 8:11:00的发言:
考虑乙状结肠肿瘤累及子宫;建议行肠镜检查。
作者: 泪洒红尘    时间: 2009-4-22 04:09
学习中
作者: xizhong    时间: 2009-4-22 05:00
支持
作者: 张XYZ    时间: 2009-4-22 05:16
支持大家意见
作者: 黄毛小子    时间: 2009-4-22 05:59
支持楼上
作者: dsl555    时间: 2009-4-22 06:14
支持大家意见
作者: x-man    时间: 2009-4-22 07:22
建议增强及做一灌肠并保留一定量水现检查.
作者: YRJ0513    时间: 2009-4-23 20:40
支持
作者: mlfx123321    时间: 2009-4-23 22:24
支持大家
作者: 张辉9999    时间: 2009-4-23 22:30
乙状结肠癌侵犯子宫可能性大。




欢迎光临 医影在线 (http://bbs.radida.com/bbs/) Powered by Discuz! X3.2