







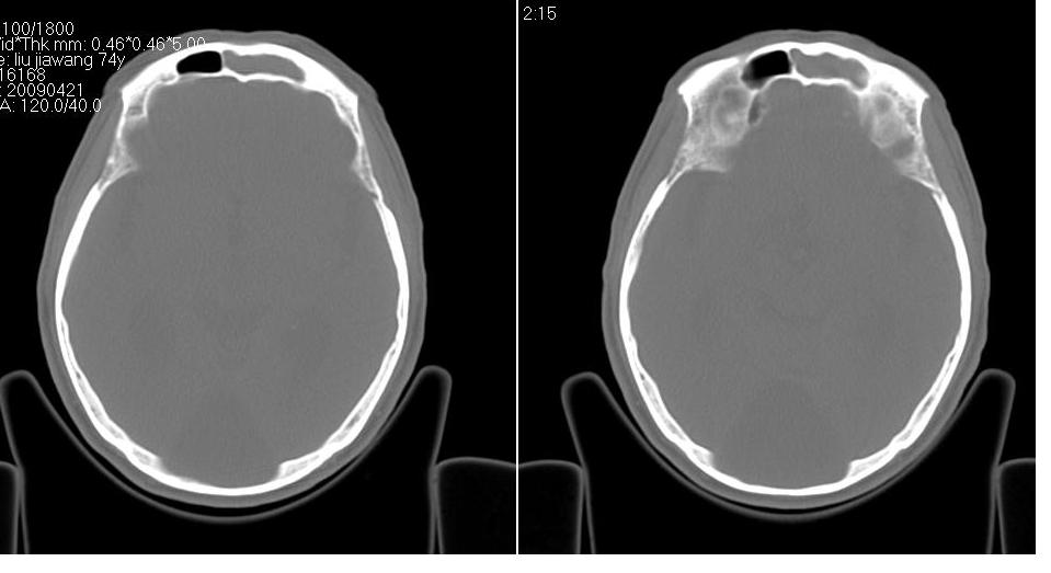
以下是引用zrs在2009-4-21 18:22:00的发言:[br]左侧额窦、筛窦及上颌窦内均充以软组织密度影,且窦壁骨质明显增厚,右侧上颌窦粘膜环形增厚。左侧鼻腔内亦见软组织密度影。考虑慢性鼻窦炎。
以下是引用zrs在2009-4-21 18:22:00的发言:[br]左侧额窦、筛窦及上颌窦内均充以软组织密度影,且窦壁骨质明显增厚,右侧上颌窦粘膜环形增厚。左侧鼻腔内亦见软组织密度影。考虑慢性鼻窦炎。
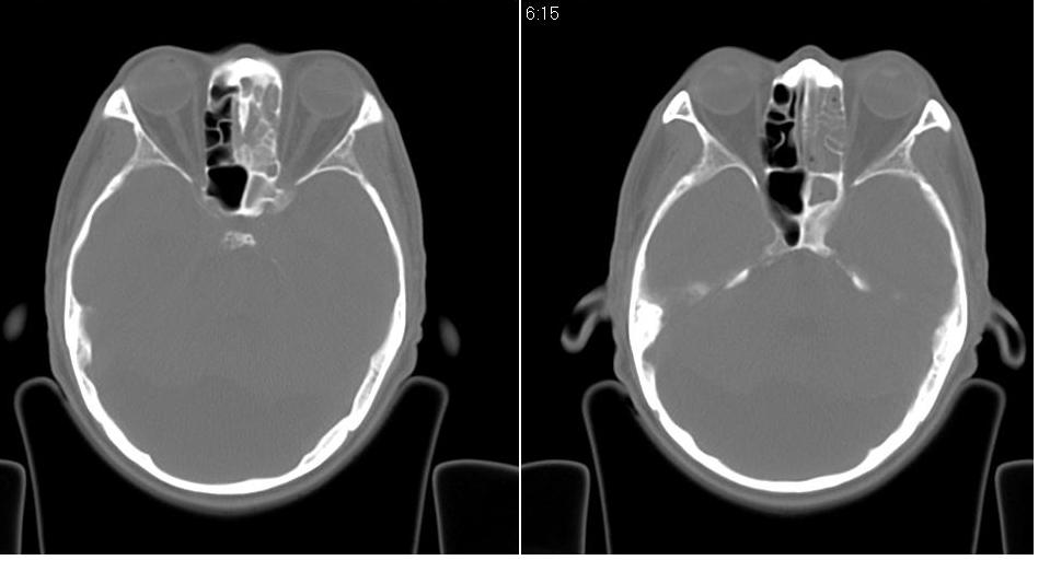
以下是引用zbp537在2009-4-21 18:14:00的发言:[br]考虑鼻腔息肉并鼻窦炎可能性大。[br][br][本贴已被 zbp537 于 2009-4-21 20:12:23 修改过]
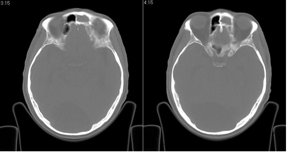
以下是引用hnfsh在2009-4-21 19:56:00的发言:[br]病灶主体位于左侧鼻腔内,呈膨胀性生长,鼻中隔、左侧筛板骨质吸收破坏,双侧上颌窦、额窦内聪充满软组织密度影。 考虑:1。左侧鼻息肉 2。慢支副鼻窦炎
以下是引用zrs在2009-4-21 18:22:00的发言:[br]左侧额窦、筛窦及上颌窦内均充以软组织密度影,且窦壁骨质明显增厚,右侧上颌窦粘膜环形增厚。左侧鼻腔内亦见软组织密度影。考虑慢性鼻窦炎。
以下是引用张xyz在2009-4-21 20:59:00的发言:[br]全组副鼻窦炎并息肉样变[br]
| 欢迎光临 医影在线 (http://bbs.radida.com/bbs/) | Powered by Discuz! X3.2 |