















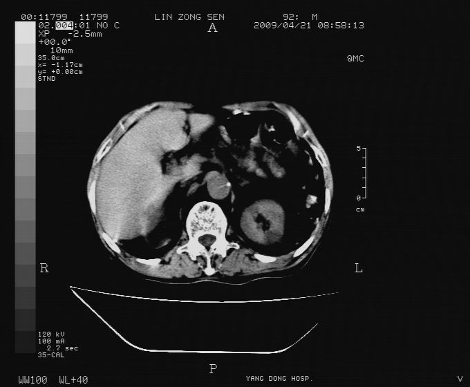
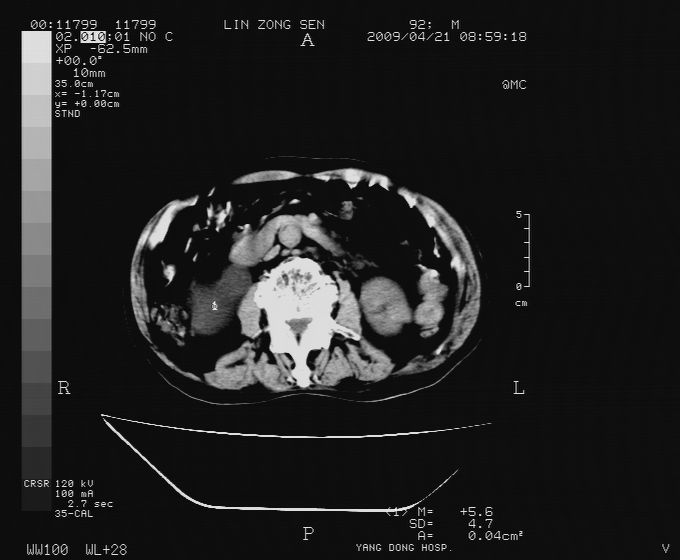
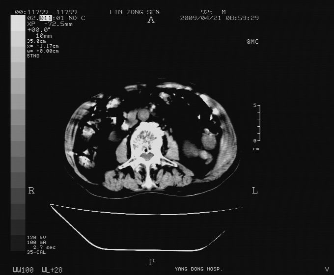
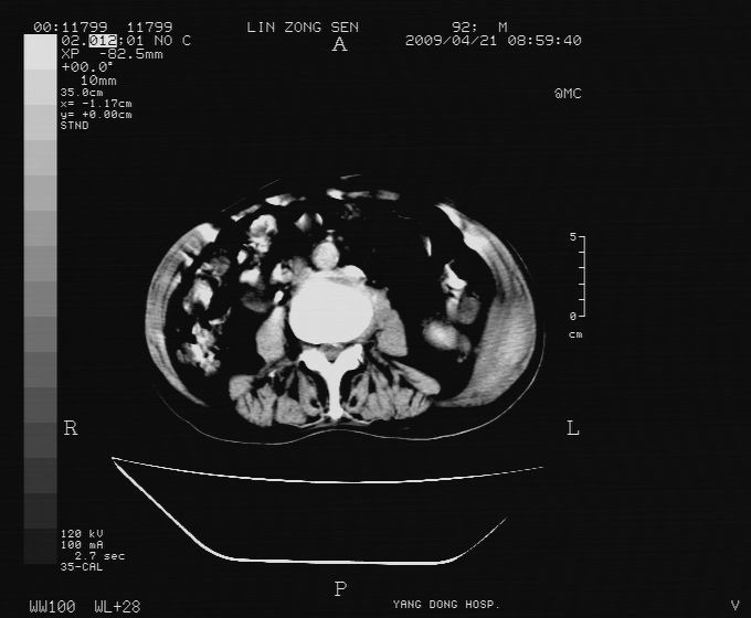
以下是引用卜一在2009-4-22 4:08:00的发言:[br]右肾积水伴输尿管上段积水!左侧肾多发囊肿!左侧腹壁软组织增厚,层次模糊,内密度较高—不排除血管瘤伴出血!
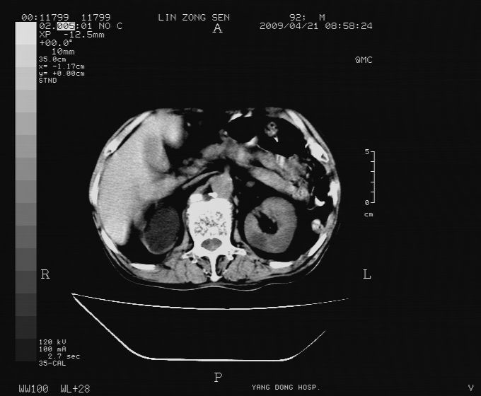
以下是引用卜一在2009-4-22 4:08:00的发言:[br]右肾积水伴输尿管上段积水!左侧肾多发囊肿!左侧腹壁软组织增厚,层次模糊,内密度较高—不排除血管瘤伴出血!
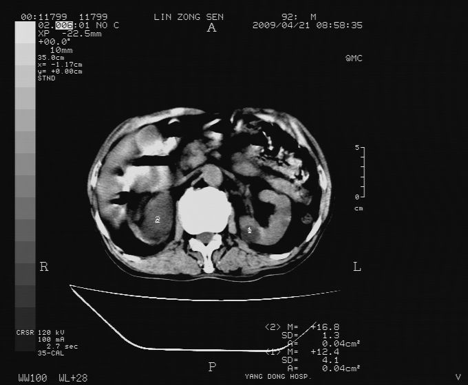
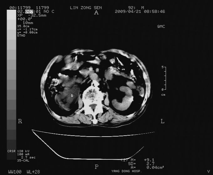
以下是引用卜一在2009-4-22 4:08:00的发言:[br]右肾积水伴输尿管上段积水!左侧肾多发囊肿!左侧腹壁软组织增厚,层次模糊,内密度较高—不排除血管瘤伴出血!
| 欢迎光临 医影在线 (http://bbs.radida.com/bbs/) | Powered by Discuz! X3.2 |