医影在线

标题: CT19516:女性病人 65岁 腹部包块半年余结肠造影未见异常. [打印本页]

作者: syfszcw    时间: 2009-4-22 17:50
标题: CT19516:女性病人 65岁 腹部包块半年余结肠造影未见异常.
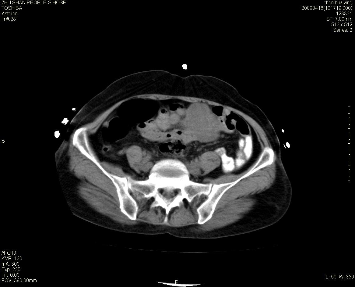
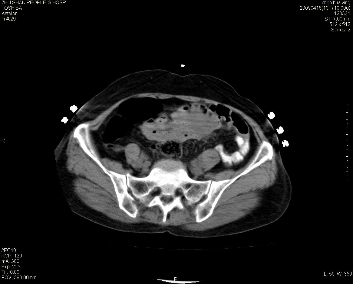
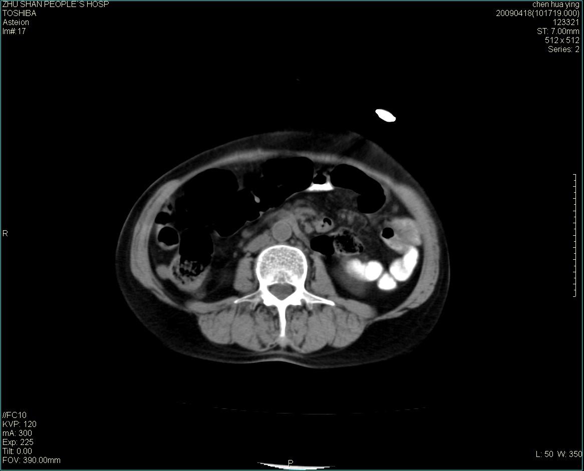
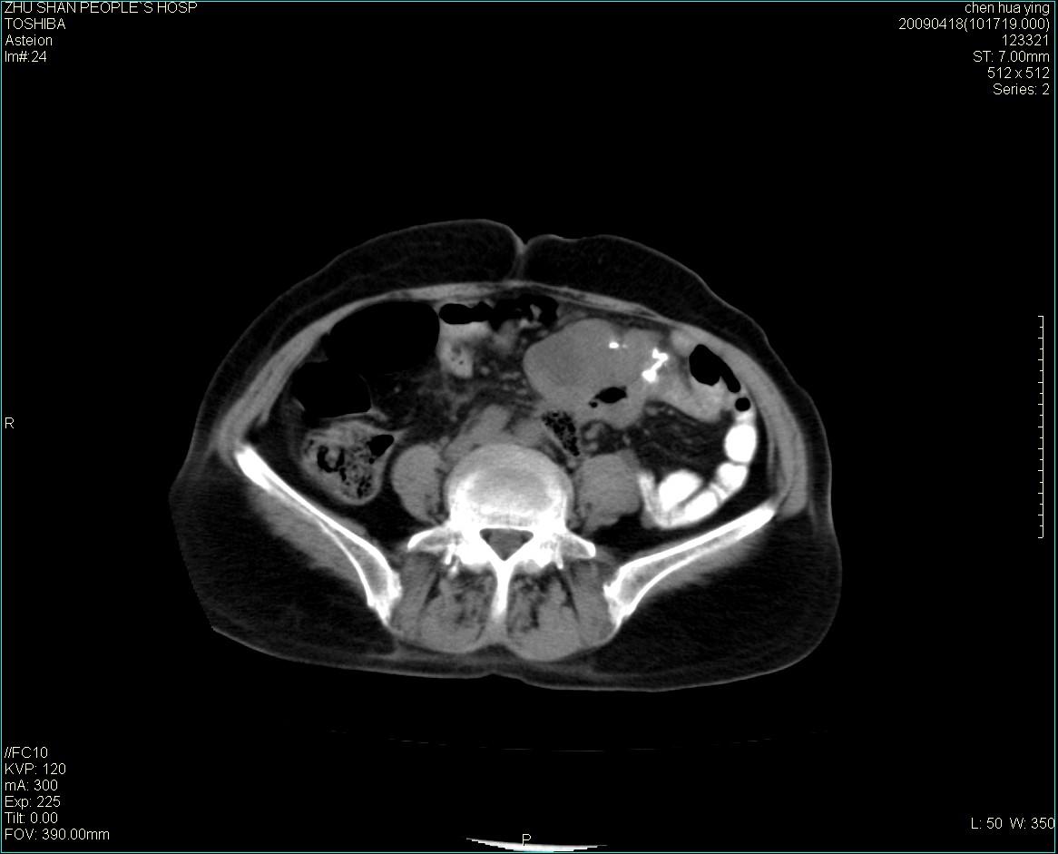
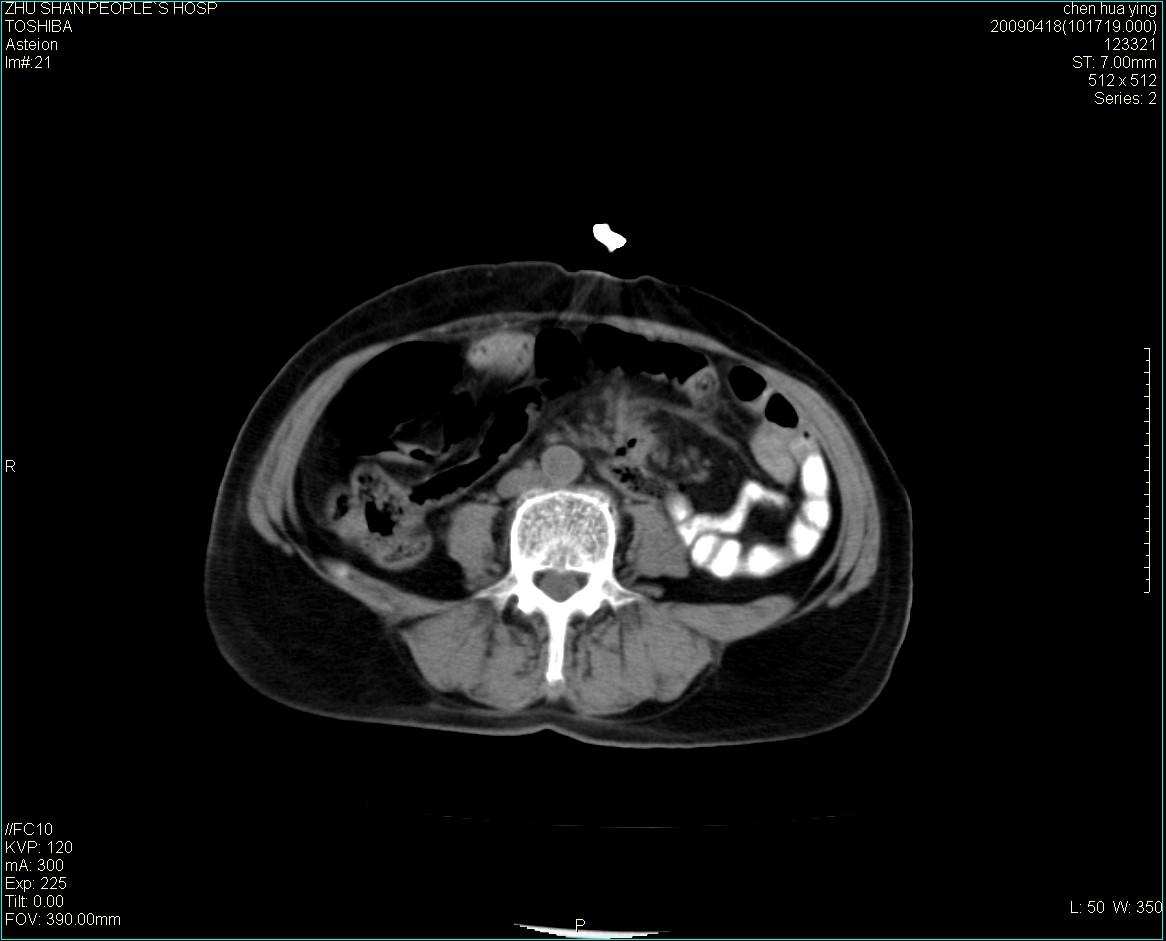
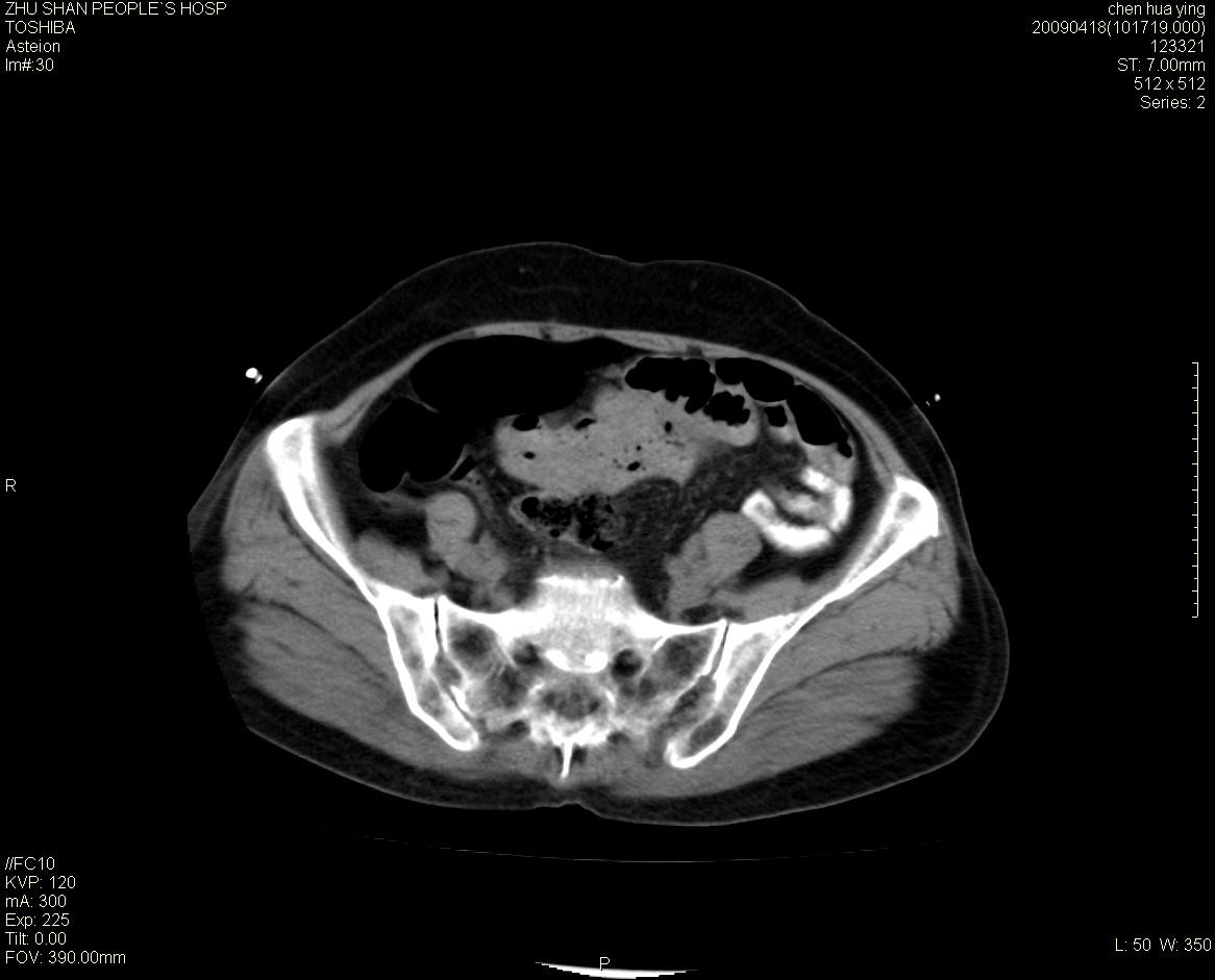
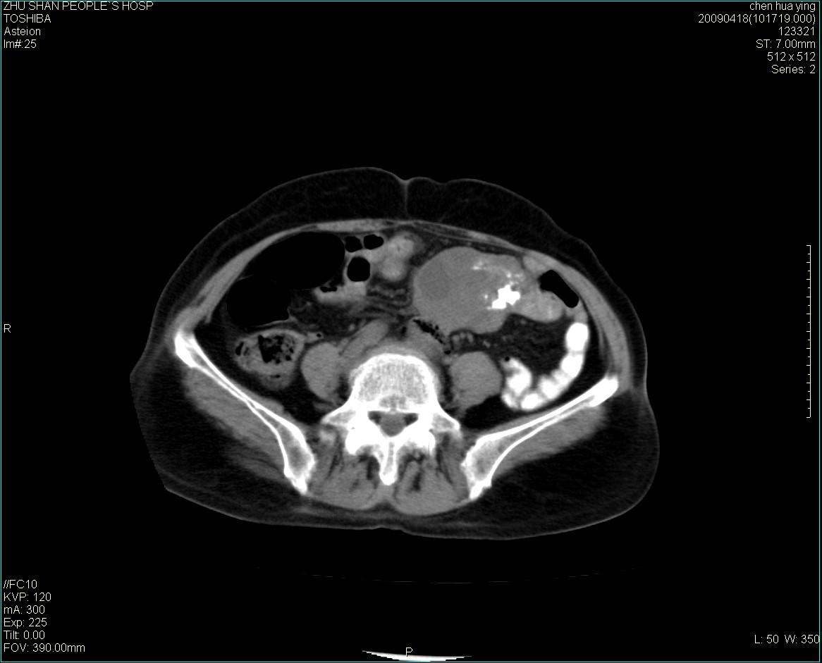
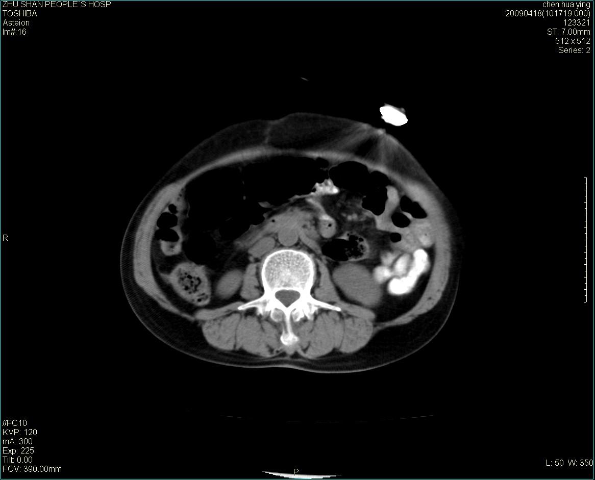
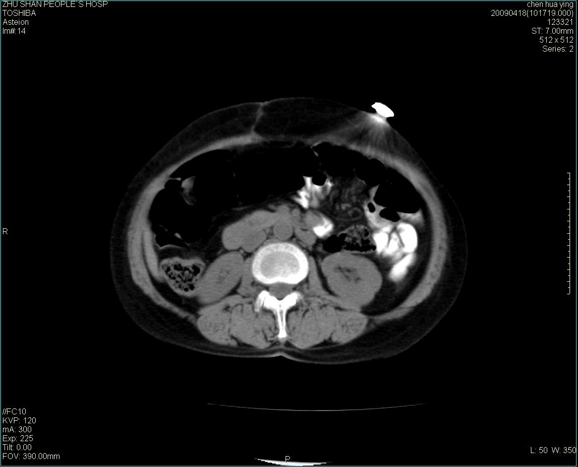
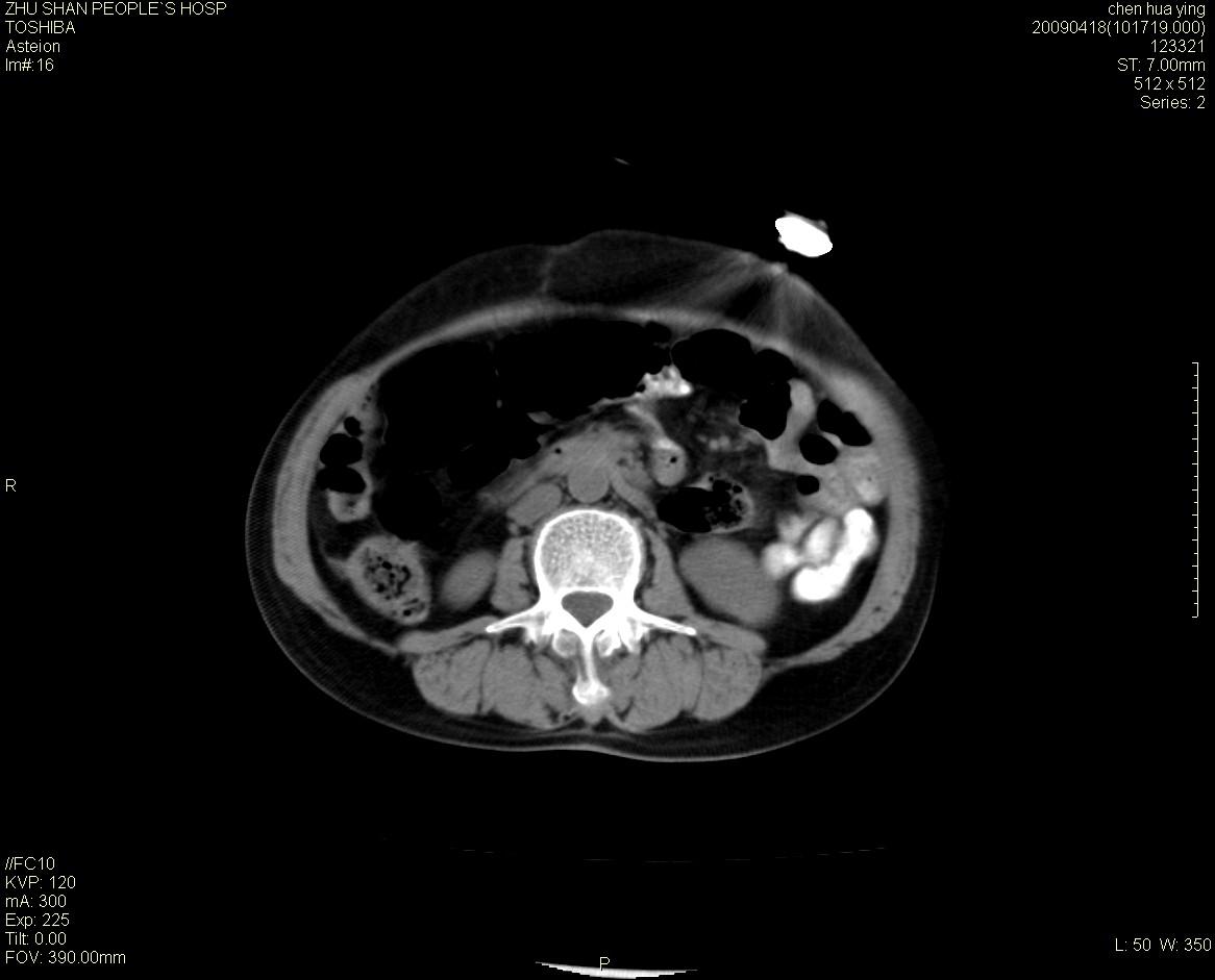
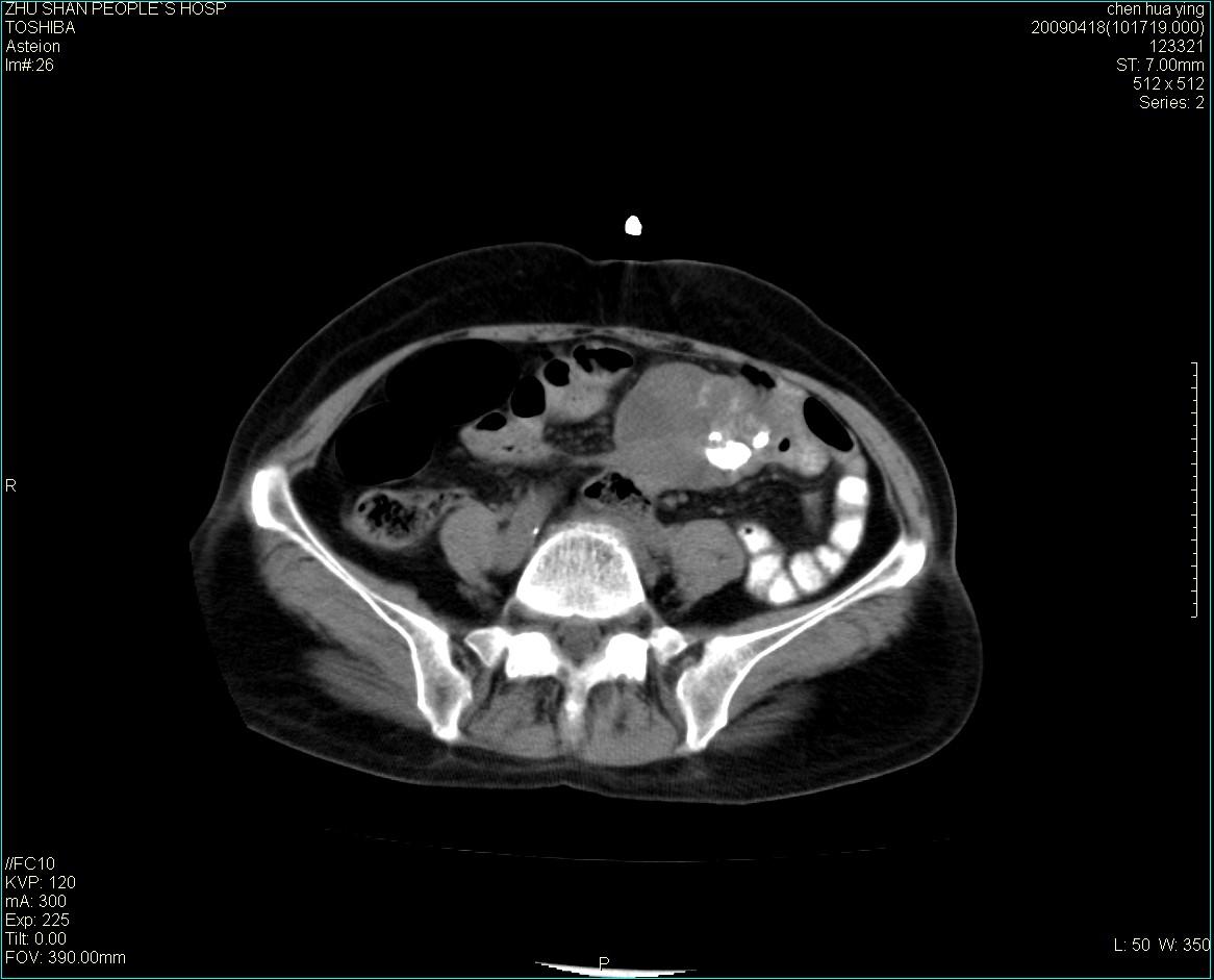
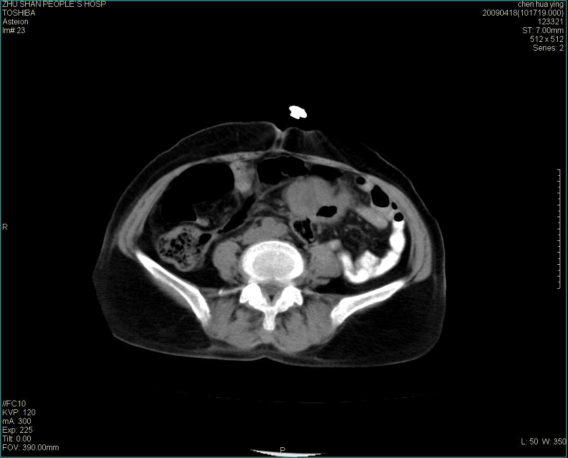
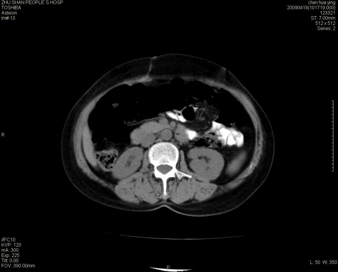
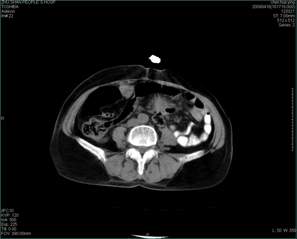
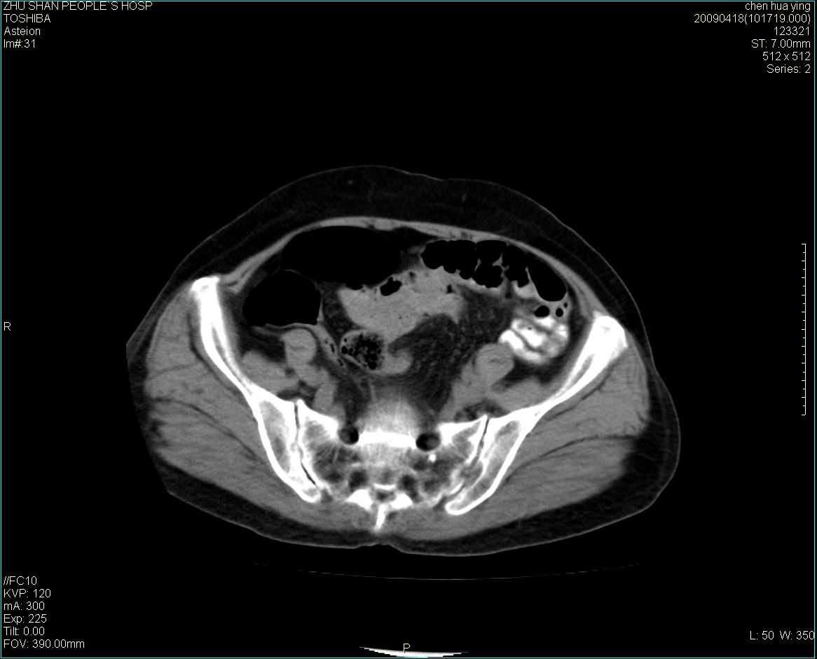
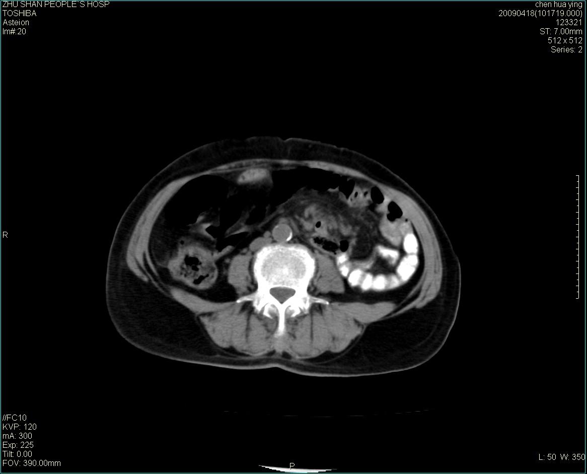
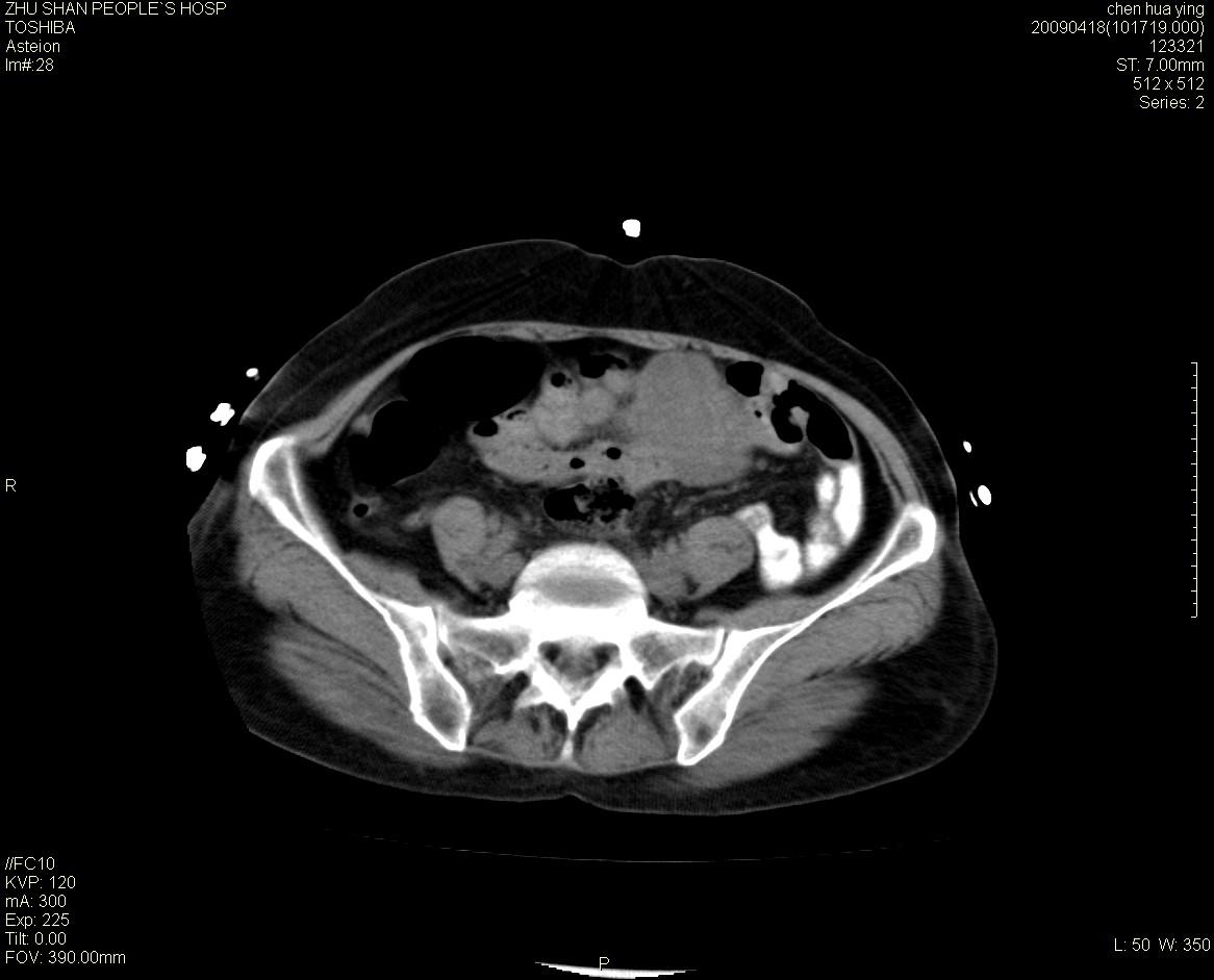
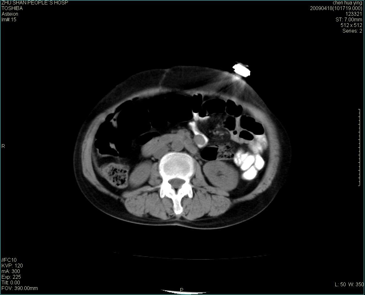
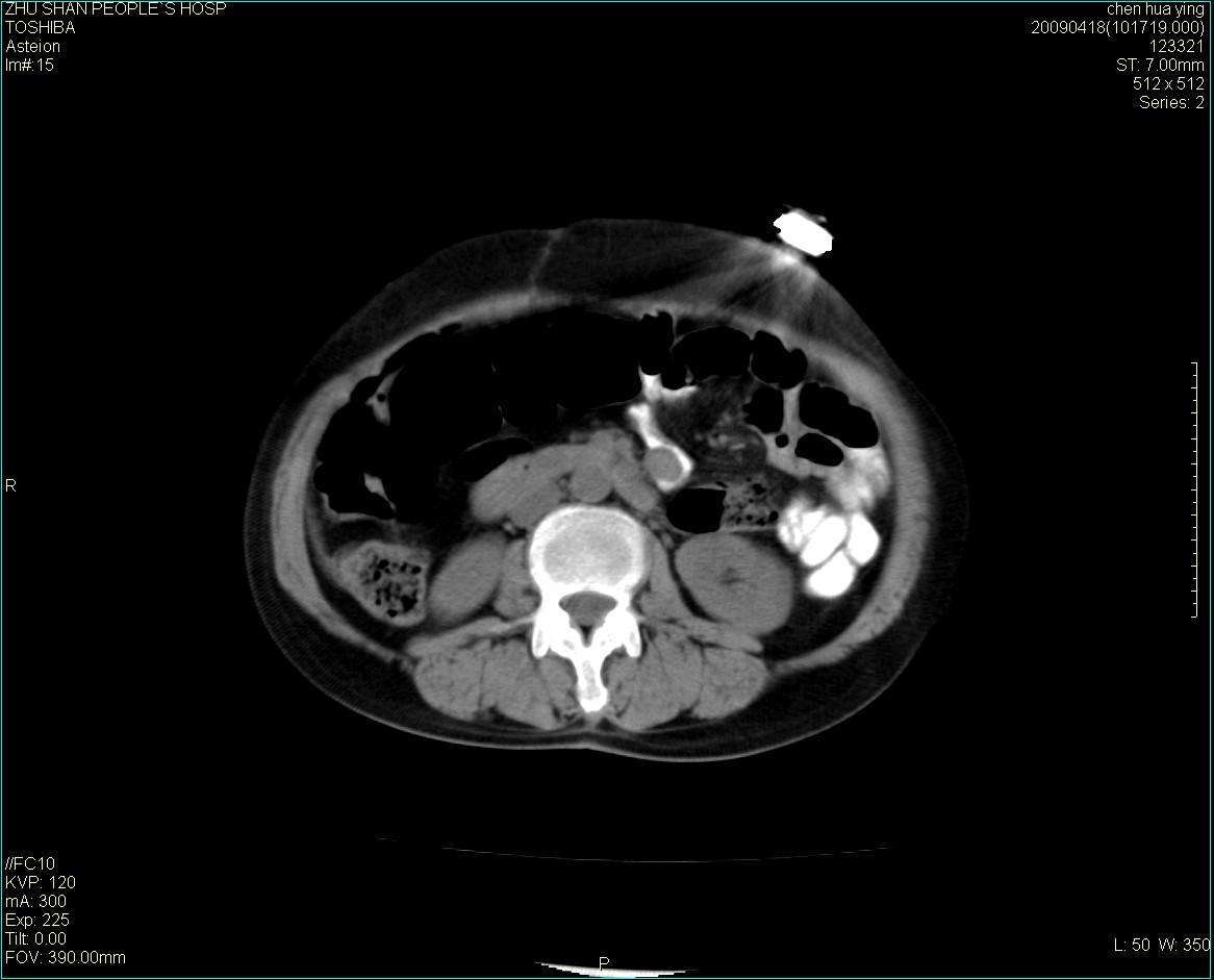
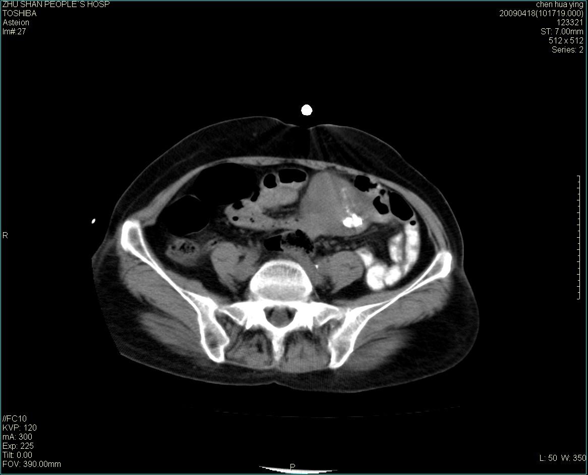
女性病人 65岁 腹部包块半年余结肠造影未见异常.





















[本贴已被 jiajie 于 2009-4-23 10:41:07 修改过]

作者: 主力军    时间: 2009-4-22 18:01
间质瘤可能性大
作者: 余辉    时间: 2009-4-22 18:08
病灶略呈圆形有分叶状,上部层面呈实性,右侧见圆形低密度区,灶内见团块状钙化,病灶下方与肠管分境不清,考虑间质瘤可能性大,建议肠道准备后增强
作者: 泪洒红尘    时间: 2009-4-22 18:11
考虑小肠平滑肌瘤或肉瘤。
作者: xiaotianshu9188    时间: 2009-4-22 19:00
考虑小肠间质瘤可能性大
作者: 随光逐影    时间: 2009-4-22 19:50
小肠间质瘤可能。
作者: 深泽交通    时间: 2009-4-22 19:59
标题: 回复:女性病人 65岁 腹部包块半年余结肠造影未见异常.
以下是引用余辉在2009-4-22 10:08:00的发言:[br]病灶略呈圆形有分叶状,上部层面呈实性,右侧见圆形低密度区,灶内见团块状钙化,病灶下方与肠管分境不清,考虑间质瘤可能性大,建议肠道准备后增强

作者: scdlc2008    时间: 2009-4-22 20:08
间质瘤可能
作者: qwerty111    时间: 2009-4-22 22:36
小肠间质瘤
作者: ydx_74    时间: 2009-4-22 22:37
支持间质瘤可能
作者: SONGYI    时间: 2009-4-22 23:10
考虑小肠间质瘤可能性大
作者: zjzjr    时间: 2009-4-22 23:17
小肠间质瘤可能。
作者: 杀毒软件    时间: 2009-4-23 03:31
间质瘤可能性大
作者: chinanyd    时间: 2009-4-23 03:46
小肠间质瘤?
作者: zbp537    时间: 2009-4-23 03:51
考虑小肠间质瘤。
作者: 黑白光影    时间: 2009-4-23 05:27
考虑小肠间质瘤可能性大。
作者: zsl6918    时间: 2009-4-23 14:58
病人有腹部手术病史,建议提供临床资料.




欢迎光临 医影在线 (http://bbs.radida.com/bbs/) Powered by Discuz! X3.2