

















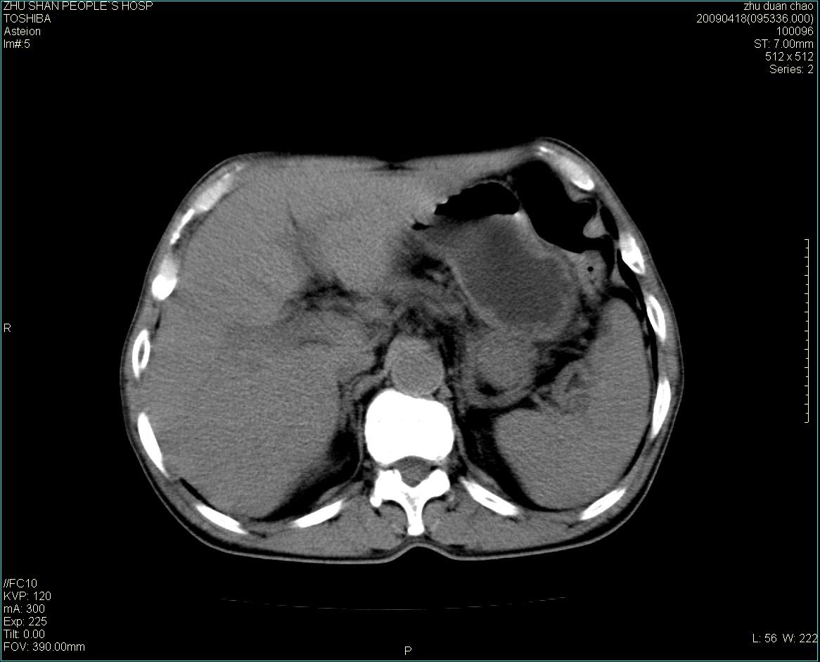
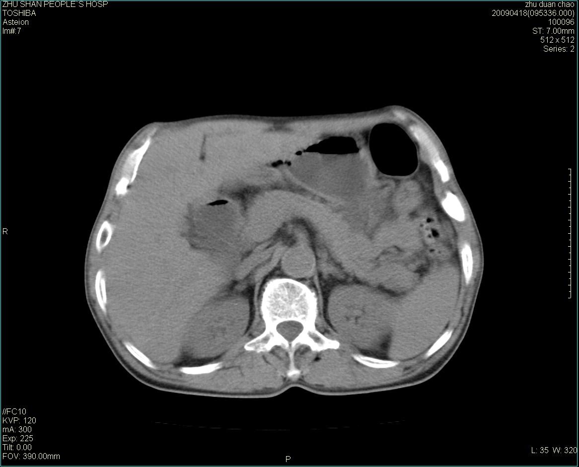
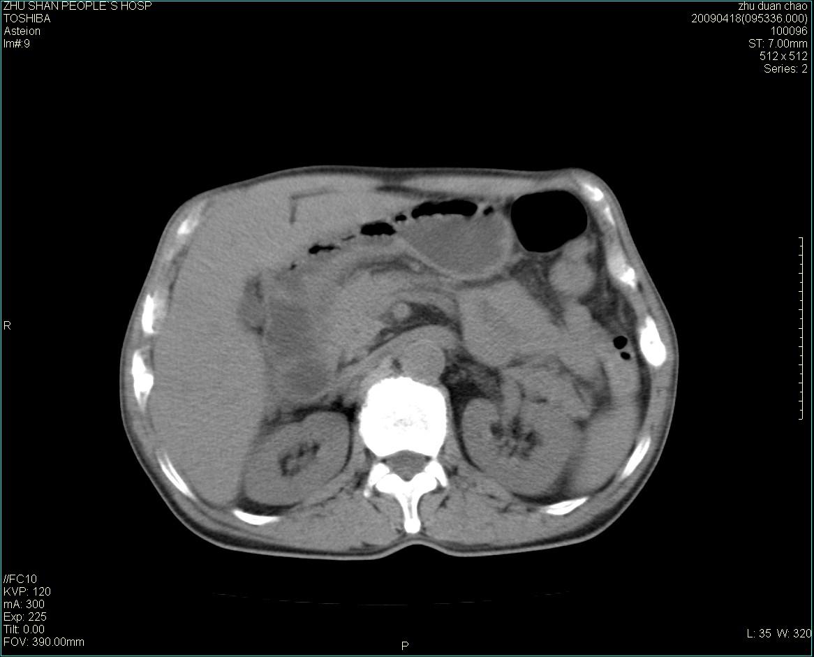
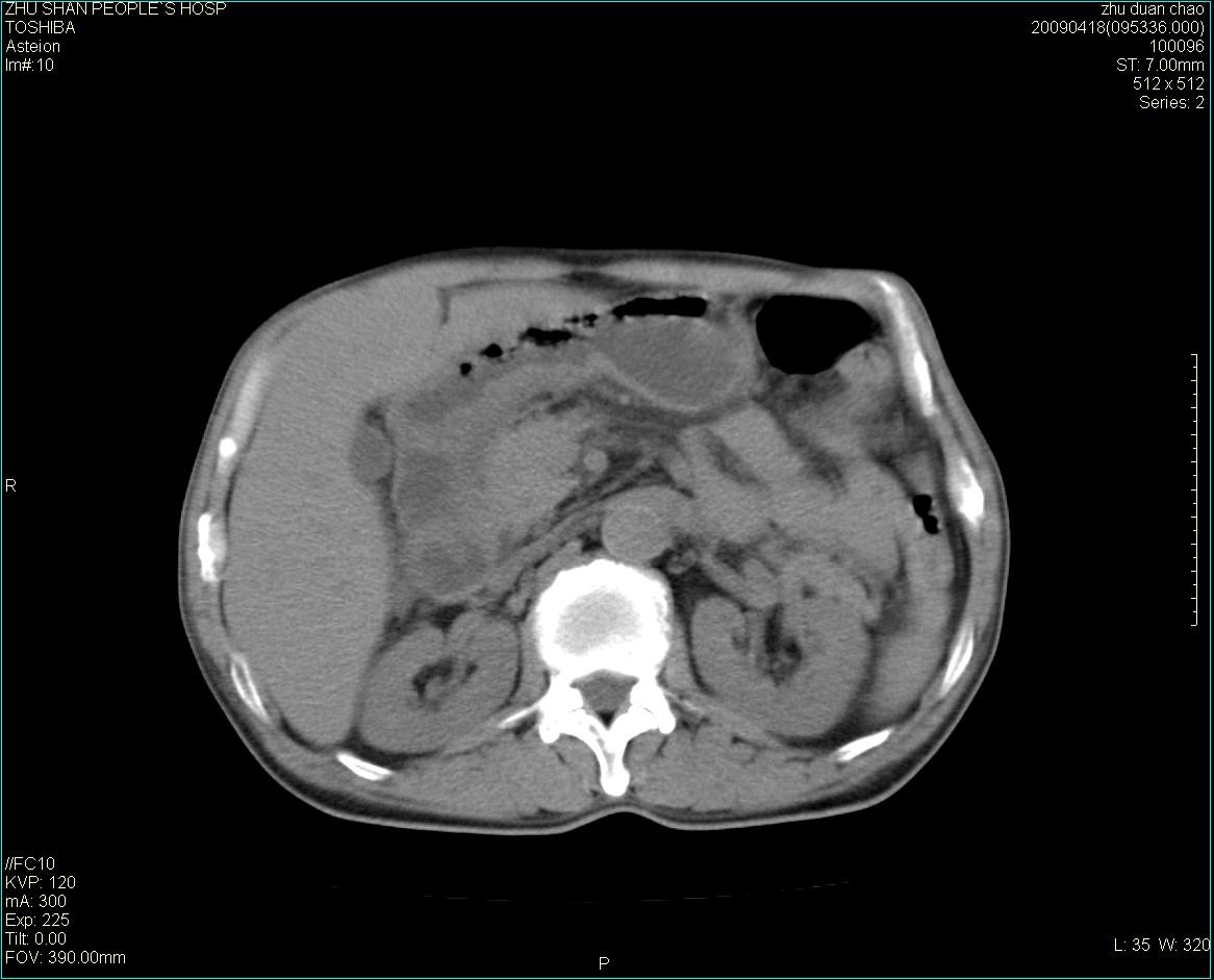
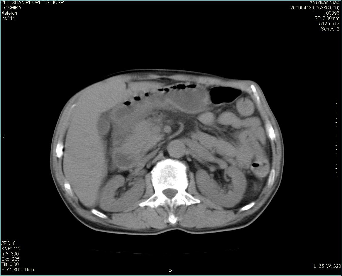
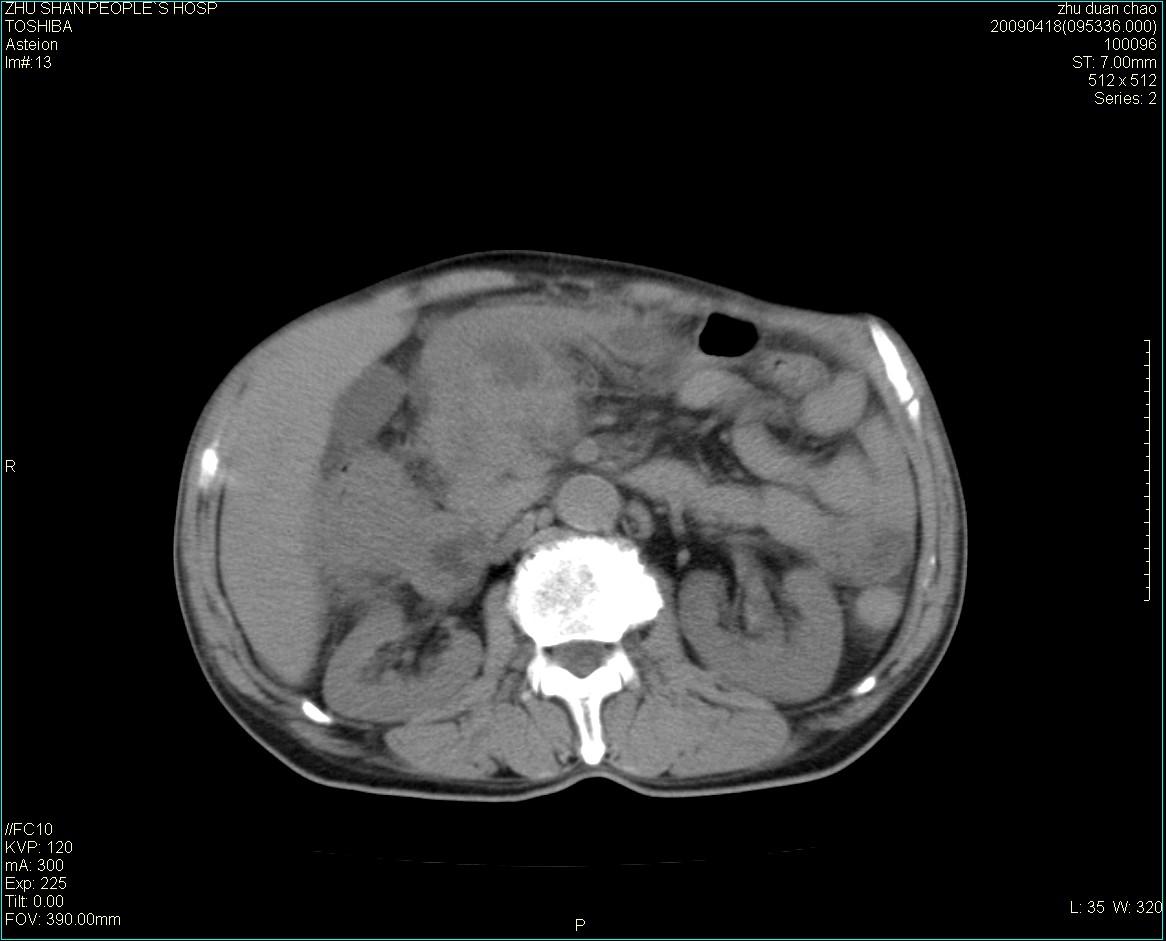
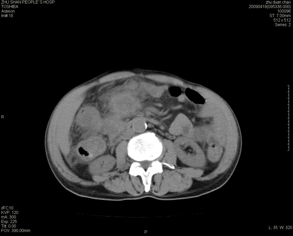
以下是引用余辉在2009-4-22 10:48:00的发言:[br]结肠肝曲附近肠段包块,病灶密度不均匀,周围肠系膜脂肪混浊,见多枚淋巴结肿大,考虑结肠癌可能性大,病灶累及范围较广建议进一步检查除外其他
以下是引用随光逐影在2009-4-22 11:57:00的发言:[br]考虑肠道肿瘤(间质瘤?)可能性大。
以下是引用ydx_74在2009-4-22 14:39:00的发言:[br]结肠癌周围侵犯可能,不能完全除外炎性病变
| 欢迎光临 医影在线 (http://bbs.radida.com/bbs/) | Powered by Discuz! X3.2 |