医影在线

标题: CT19559:子宫及附件正常吗? [打印本页]

作者: lanrenlaile    时间: 2009-4-22 19:25
标题: CT19559:子宫及附件正常吗?
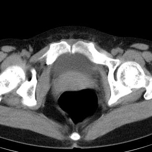
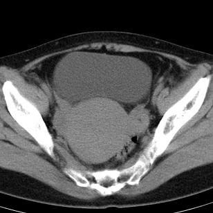
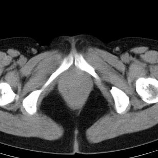
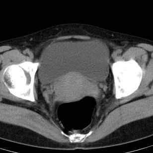
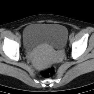
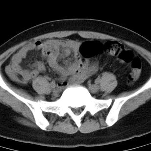
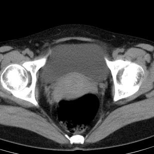
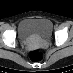
女,35岁,反复下腹部隐痛数月。





















[本贴已被 jiajie 于 2009-4-23 22:16:47 修改过]

作者: 泪洒红尘    时间: 2009-4-22 23:20
感觉上,子宫好象大了点
作者: 拾荒者    时间: 2009-4-23 06:03
如果未孕,子宫体稍大,宫腔增宽,附件区未见异常密度影,还是建议结合b超检查为好,ct平扫对妇科没有优势。
作者: 深泽交通    时间: 2009-4-23 19:05
子宫弥漫性等密度肿大,宫腔内缘见结节影突入腔内,子宫内膜异位可能




欢迎光临 医影在线 (http://bbs.radida.com/bbs/) Powered by Discuz! X3.2