医影在线

标题: CT19521:肝占位 [打印本页]

作者: LYB999    时间: 2009-4-22 20:20
标题: CT19521:肝占位
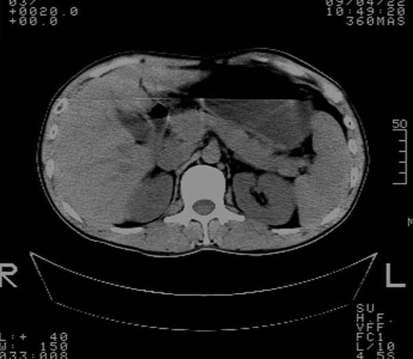
m,37y,右胁部疼痛一周,无其它不适.血分析正常,未作其他检查.不愿做增强.
















[本贴已被 jiajie 于 2009-4-23 10:44:17 修改过]

作者: ct诊断高手    时间: 2009-4-22 21:05
有晕征 考虑肝脓肿 胆囊炎
作者: 王显瑞    时间: 2009-4-22 21:06
1,肝占位,(病灶有假包膜,内见液化坏死)考虑肝癌可能大。
2,胸水
作者: LYB999    时间: 2009-4-22 21:45
对不起,最后一个图像不是这个病人的,传错了
作者: 随光逐影    时间: 2009-4-22 22:09
肝右叶占位性病变,性质待定;建议行进一步检查。
作者: liyf    时间: 2009-4-22 22:39
肝右叶占位性病变,考虑原发性肝癌.
作者: zjzjr    时间: 2009-4-22 22:40
肝右叶占位性病变,性质待定;建议行进一步检查。
作者: ydx_74    时间: 2009-4-22 22:52
假包膜征,中心坏死,肝癌百分百
作者: hmyj9    时间: 2009-4-22 23:01
肝右叶占位性病变,考虑原发性肝癌.建议行进一步检查。
作者: 小康    时间: 2009-4-22 23:09
占位病变进一步检查
作者: SONGYI    时间: 2009-4-22 23:25
肝右叶占位性病变,考虑原发性肝癌
作者: 深泽交通    时间: 2009-4-22 23:36
肝癌可能
作者: 杀毒软件    时间: 2009-4-23 03:03
增强定性,肝癌首选。
作者: zsl6918    时间: 2009-4-23 15:04
不增强不乱说.
作者: 黑白光影    时间: 2009-4-23 16:55
肝右叶占位性病变,性质待定;建议行进一步检查。
作者: 余辉    时间: 2009-4-23 18:59
支持考肝癌,局灶性结节增生也不除外




欢迎光临 医影在线 (http://bbs.radida.com/bbs/) Powered by Discuz! X3.2