医影在线
标题: CT19525:体检 [打印本页]
作者: HARRY 时间: 2009-4-22 23:37
标题: CT19525:体检
[face=宋体][/face]











[本贴已被 jiajie 于 2009-4-23 10:46:10 修改过]
作者: ct诊断高手 时间: 2009-4-23 00:33
标题: 1
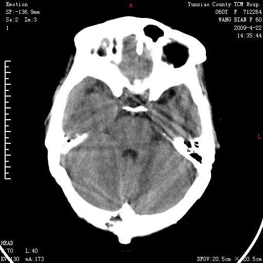
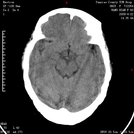
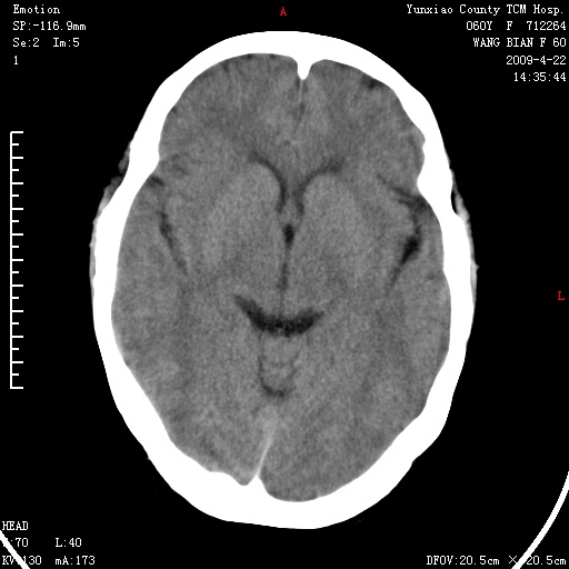
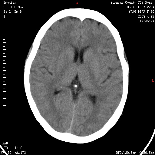
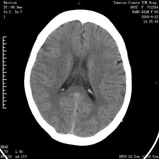
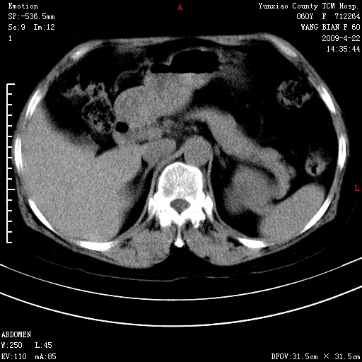
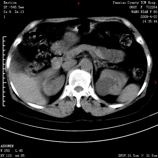
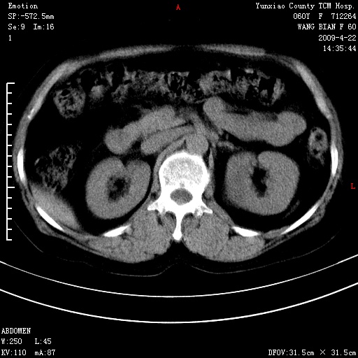
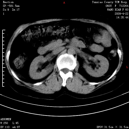
蛛网膜颗粒压迹 左肾低密度影囊肿可能。
[本贴已被 ct诊断高手 于 2009-4-22 16:43:54 修改过]
作者: 深泽交通 时间: 2009-4-23 01:00
不出外肾癌,强化下看
作者: 同 时间: 2009-4-23 01:04
三无产品。
作者: 杀毒软件 时间: 2009-4-23 02:52
标题: 回复:体检
以下是引用同在2009-4-22 17:04:00的发言:[br]三无产品。
作者: chinanyd 时间: 2009-4-23 03:17
没啥大事啊
作者: zbp537 时间: 2009-4-23 03:54
1、头颅未见明显异常。
2、左肾囊肿。
作者: zsl6918 时间: 2009-4-23 15:02
脑正常,肾有事,须强化,再定性.
作者: 黑白光影 时间: 2009-4-23 17:01
1、头颅未见明显异常。2、左肾囊肿可能。建议增强
作者: 余辉 时间: 2009-4-23 18:11
1、枕骨蛛网膜粒压迹。2、左肾囊肿可能。建议增强
作者: LYB999 时间: 2009-4-23 18:28
头颅未见明显异常。左肾囊肿。
作者: 随光逐影 时间: 2009-4-24 01:11
1)枕骨蛛网膜粒压迹。2)左肾囊肿可能。
作者: 一个人 时间: 2009-4-25 18:26
脑正常,肾有事,须强化,再定性
作者: 513ytb 时间: 2009-6-22 00:46
不出外肾癌,强化下看,枕骨蛛网膜粒压迹。
作者: zbp537 时间: 2009-6-22 00:50
1、头颅未见明显异常。
2、左肾囊肿可能性大。
作者: pujunzhi 时间: 2009-6-22 01:00
1、头颅未见明显异常。2、左肾囊肿可能。建议增强
| 欢迎光临 医影在线 (http://bbs.radida.com/bbs/) |
Powered by Discuz! X3.2 |