医影在线

标题: CT19526:男性,20岁,急////// [打印本页]

作者: 网事随风    时间: 2009-4-22 23:54
标题: CT19526:男性,20岁,急//////
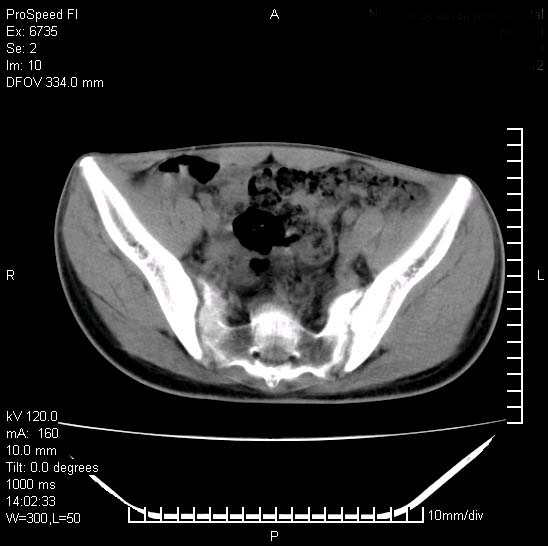
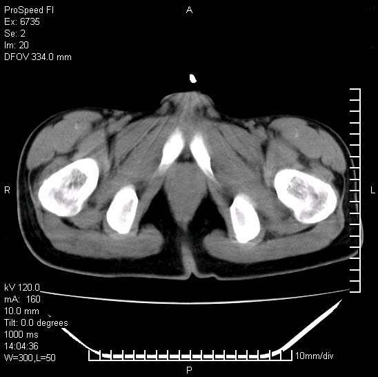
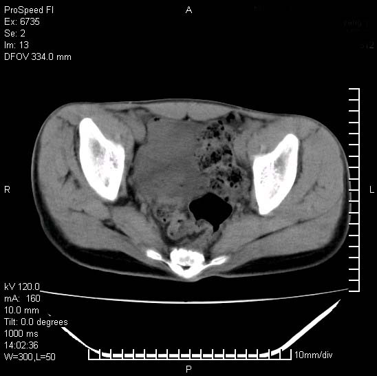
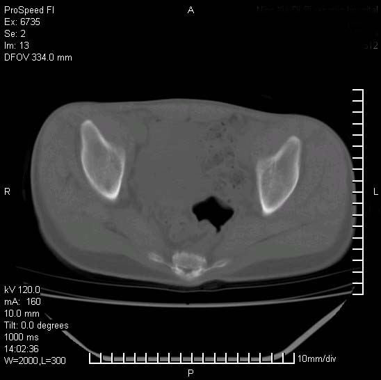
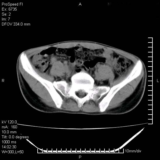
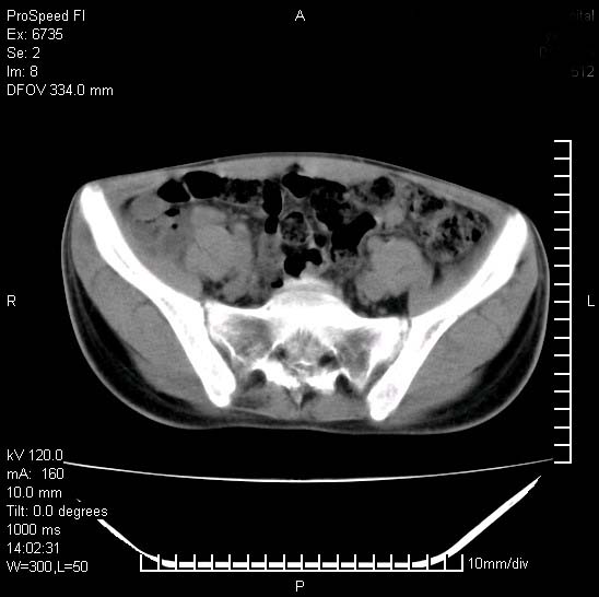
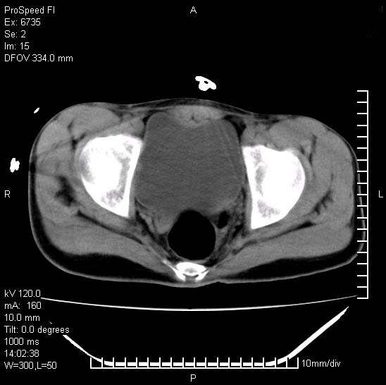
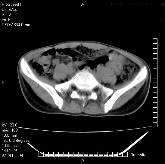
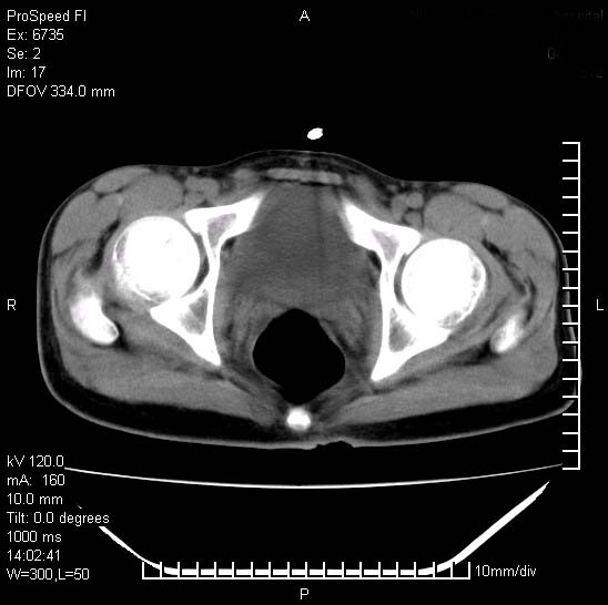
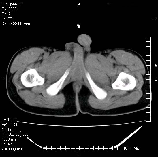
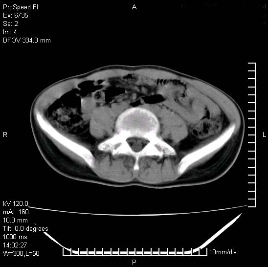
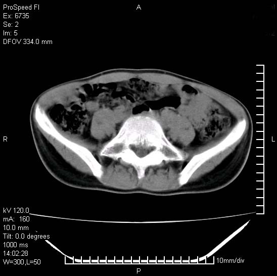
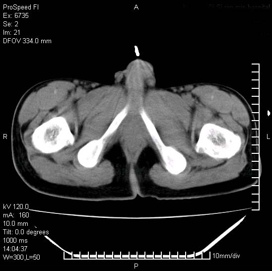
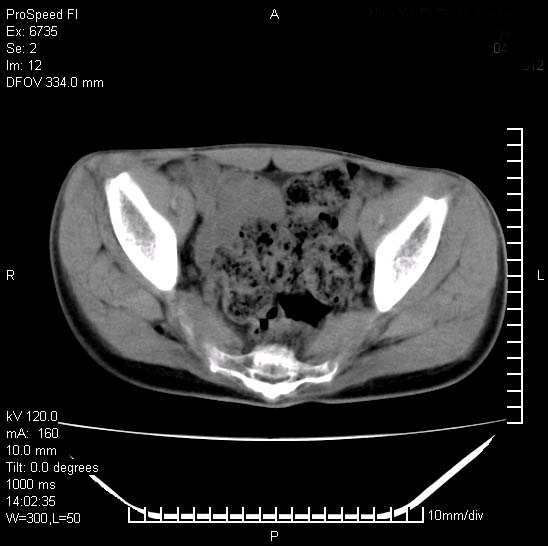
患者自诉胯部疼痛两年余,在当地服用中药,半月前至本院考虑骶髂关节结核,给予抗痨治疗。现发展至右下肢疼痛明显,活动受限,以膝关节处明显,拍膝关节平片无明显异常。
[img][/img]













































[本贴已被 jiajie 于 2009-4-23 10:48:21 修改过]

作者: cym1979    时间: 2009-4-23 00:41
两侧骶骼关节改变,考虑强直性脊炎
作者: 深泽交通    时间: 2009-4-23 00:53
左侧骶髂关节面限局性骨破坏,边缘硬化关节腔见钙化物;不出外tb
作者: 同    时间: 2009-4-23 01:08
标题: 回复:骨盆:男性,20岁,急//////
以下是引用深泽交通医院在2009-4-22 16:53:00的发言:[br]左侧骶髂关节面限局性骨破坏,边缘硬化关节腔见钙化物;不出外tb

作者: 沉默是金    时间: 2009-4-23 01:13
考虑强直性脊炎,建议查hla-b27
作者: 杀毒软件    时间: 2009-4-23 02:54
标题: 回复:骨盆:男性,20岁,急//////
以下是引用沉默是金在2009-4-22 17:13:00的发言:[br]考虑强直性脊炎,建议查hla-b27

支持
作者: chinanyd    时间: 2009-4-23 03:19

作者: zbp537    时间: 2009-4-23 04:03
右侧骶髂关节也有类似改变,只是较左侧轻,首先考虑强直性脊柱炎,不除外结核,建议作hla-b27检查。
作者: 黑白光影    时间: 2009-4-23 05:43
标题: 回复:骨盆:男性,20岁,急//////
以下是引用沉默是金在2009-4-22 17:13:00的发言:[br]考虑强直性脊炎,建议查hla-b27

作者: 余辉    时间: 2009-4-23 05:43
典型强脊炎改变,髋关节亦有累及
作者: zsl6918    时间: 2009-4-23 14:39
考虑强脊
作者: 随光逐影    时间: 2009-4-24 01:14
符合强直性脊柱炎表现。




欢迎光临 医影在线 (http://bbs.radida.com/bbs/) Powered by Discuz! X3.2