医影在线

标题: CT19533:病变来源于哪? [打印本页]

作者: yangxue121    时间: 2009-4-23 01:46
标题: CT19533:病变来源于哪?
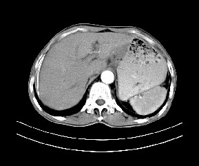
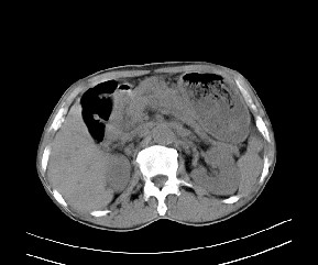
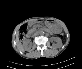
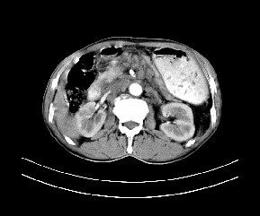
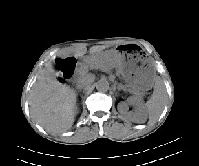
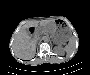
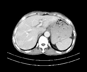
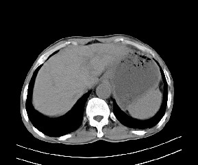
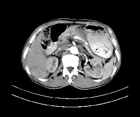
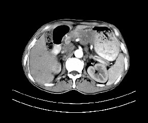
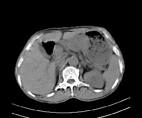
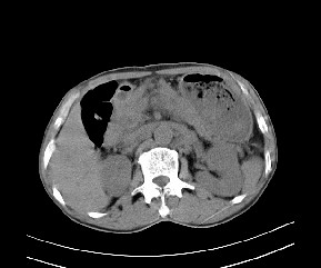
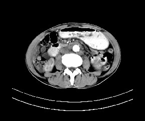
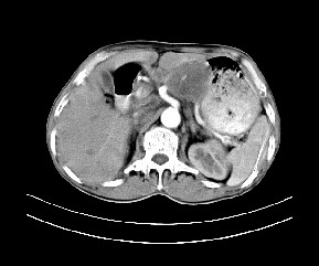
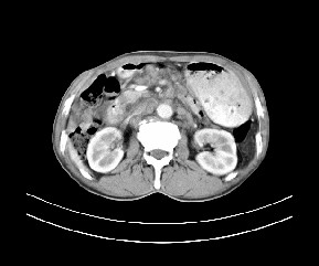
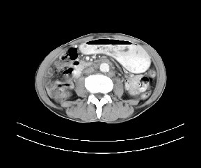
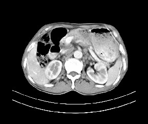
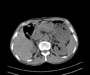
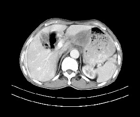
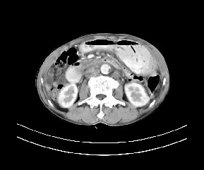
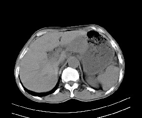
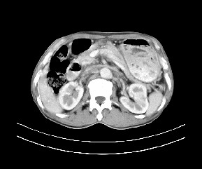
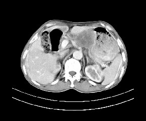
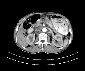
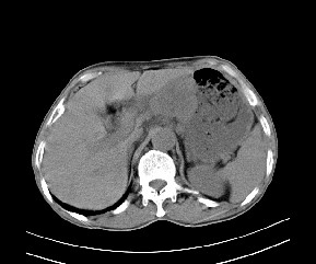
患者,男,发现上腹部包块两月余。


































[本贴已被 jiajie 于 2009-4-23 10:50:47 修改过]

作者: 杀毒软件    时间: 2009-4-23 01:55
考虑----胃肠间质瘤可能
作者: 宇宙CT    时间: 2009-4-23 02:30
考虑----胃肠间质瘤可能
作者: chinanyd    时间: 2009-4-23 03:06
病变位于小网膜囊?考虑间质瘤可能,期待结果
作者: 黄毛小子    时间: 2009-4-23 03:26
考虑胃肠间质瘤
作者: zbp537    时间: 2009-4-23 03:36
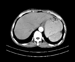
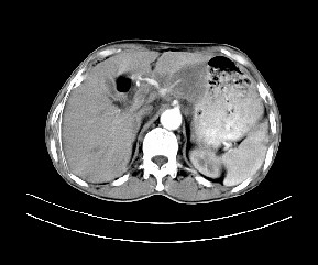
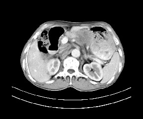
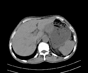
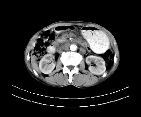
病变位于肝胃间隙,实际就是位于小网膜囊(左肝下后间隙),呈轻度不均匀性强化,腹腔内及腹膜后见多发肿大淋巴结。所以我考虑肝胃间隙恶性胃肠间质瘤并淋巴结转移。
作者: 沉默是金    时间: 2009-4-23 03:54
考虑胃肠间质瘤
作者: 王显瑞    时间: 2009-4-23 04:48
考虑----胃肠间质瘤可能
作者: 余辉    时间: 2009-4-23 04:54
病灶强化不显著,灶周及腹膜后见多量淋巴结肿大,考虑淋巴瘤可能,其次考虑间质瘤
作者: yangxue121    时间: 2009-4-23 05:29
病灶与胰腺分界不清,来源于胰腺?
作者: 刘湘    时间: 2009-4-23 05:31
f考虑 为神经源性肿瘤
作者: taolun630408    时间: 2009-4-23 05:36
强化后病变与胃壁分界清楚,并且血供不是来源胃壁血管。考虑胰腺颈体癌并腹腔腹膜后淋巴结转移。
作者: gule    时间: 2009-4-23 05:58
考虑间质瘤并淋巴结转移,淋巴瘤不全除外!
作者: 同    时间: 2009-4-23 05:59
考虑 胃肠间质瘤。
作者: 影象小泰斗    时间: 2009-4-23 06:34
考虑胃肠间质瘤,病灶与胰腺分界不清,不除外胰腺肿瘤!
作者: 影像孺子牛    时间: 2009-4-23 07:38
支持:
病灶强化不显著,灶周及腹膜后见多量淋巴结肿大,考虑淋巴瘤可能,其次考虑间质瘤。
作者: 卜一    时间: 2009-4-23 11:03
考虑----胃肠间质瘤可能!支持!
作者: zsl6918    时间: 2009-4-23 14:09
肝胃韧带内及腹膜后可见多发增大的淋巴结影,首先考虑转移.
作者: jiangjing    时间: 2009-4-23 14:38
病变位于肝胃间隙,实际就是位于小网膜囊(左肝下后间隙),呈轻度不均匀性强化,腹腔内及腹膜后见多发肿大淋巴结。所以我考虑肝胃间隙恶性胃肠间质瘤并淋巴结转移。
作者: 黑白光影    时间: 2009-4-23 23:53
考虑间质瘤可能,其次考虑淋巴瘤
作者: 随光逐影    时间: 2009-4-24 02:49
考虑淋巴瘤可能。




欢迎光临 医影在线 (http://bbs.radida.com/bbs/) Powered by Discuz! X3.2