医影在线

标题: CT19534:患者男、46岁咳嗽、胸痛半月。 [打印本页]

作者: zlh    时间: 2009-4-23 02:04
标题: CT19534:患者男、46岁咳嗽、胸痛半月。


























































[本贴已被 jiajie 于 2009-4-23 10:51:38 修改过]

作者: 宇宙CT    时间: 2009-4-23 02:24
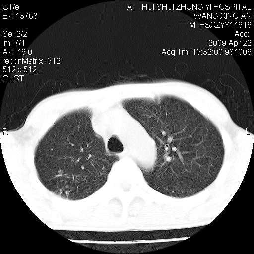
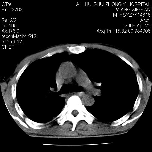
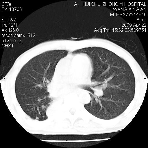
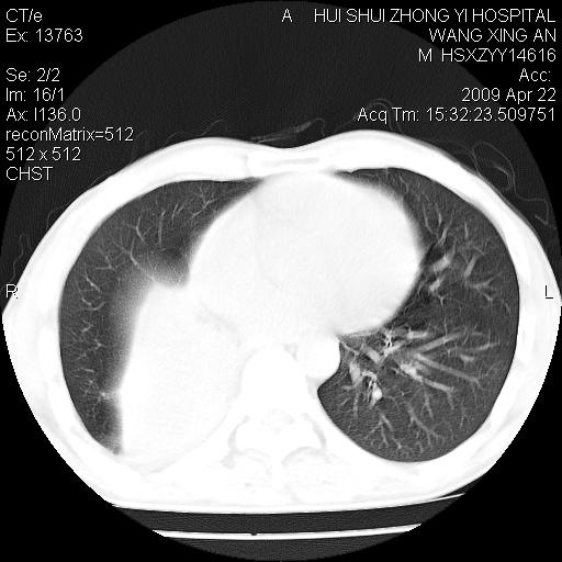
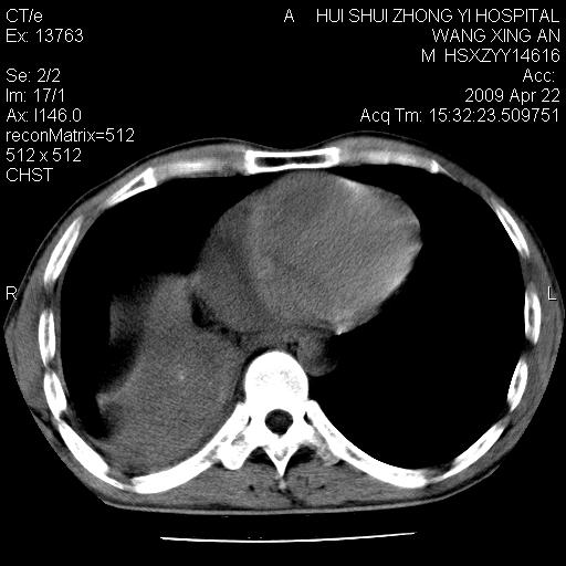
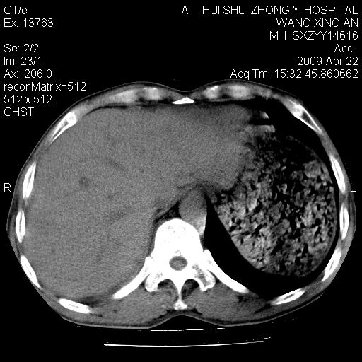
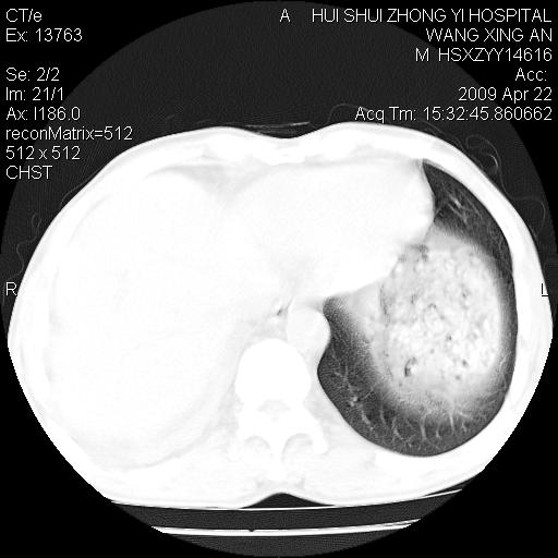
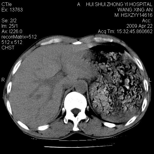
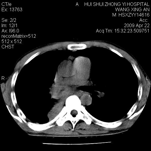
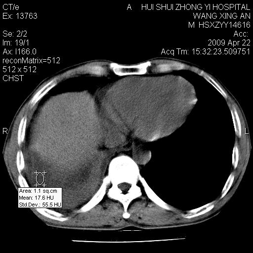
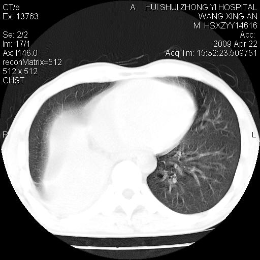
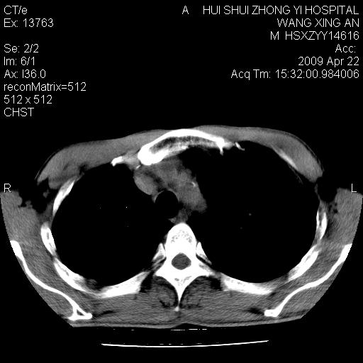
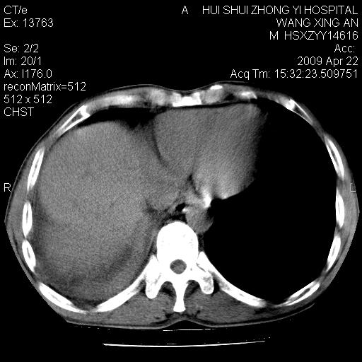
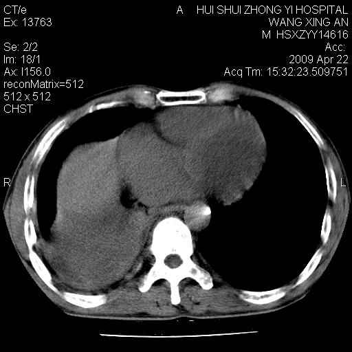
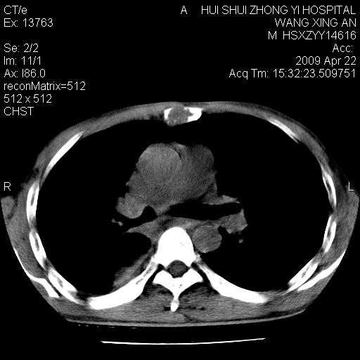
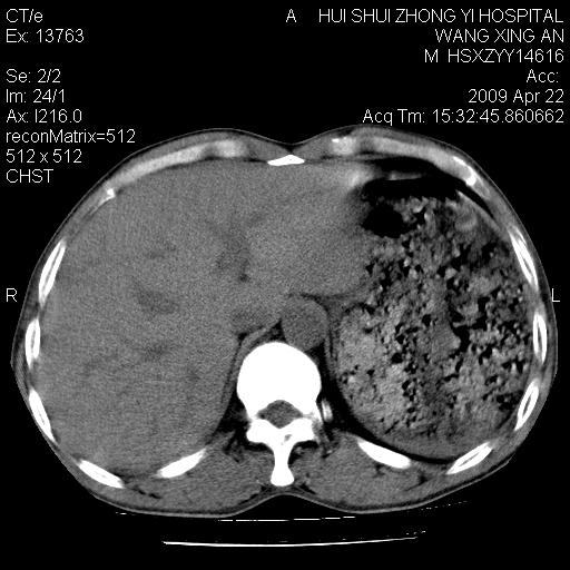
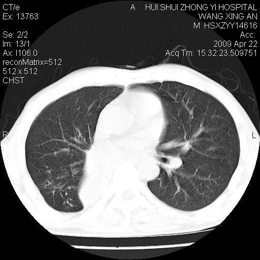
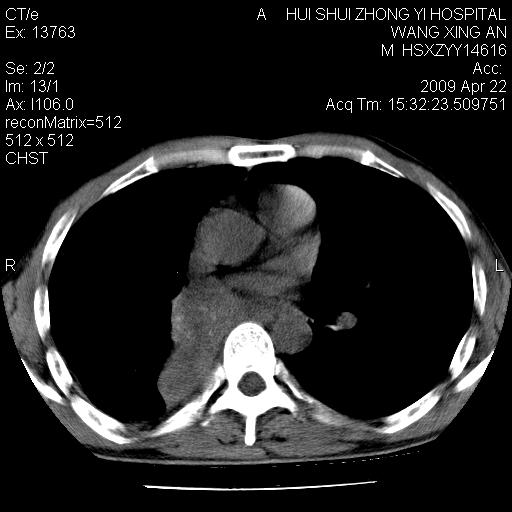
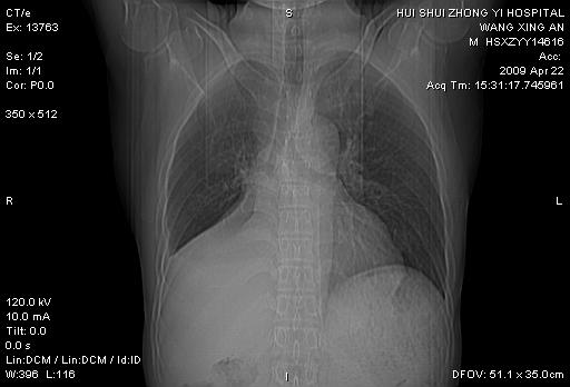
中央型肺癌,右侧腹水
作者: 杀毒软件    时间: 2009-4-23 02:29
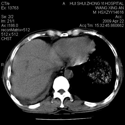
考虑---右肺中心型肺癌继发下叶不张,少量胸水。
作者: 打工仔    时间: 2009-4-23 03:20
标题: 回复:患者男、46岁咳嗽、胸痛半月。
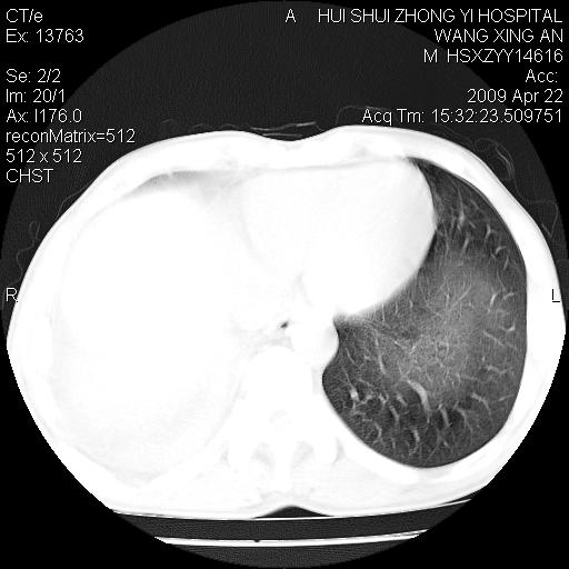
支持右侧中央型肺ca并右下肺不张、右侧胸腔少量积液。
作者: 黄毛小子    时间: 2009-4-23 03:25
支持楼上
作者: zbp537    时间: 2009-4-23 03:25
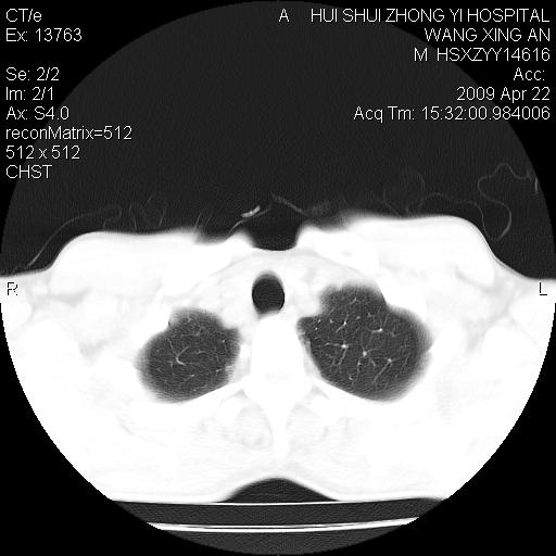
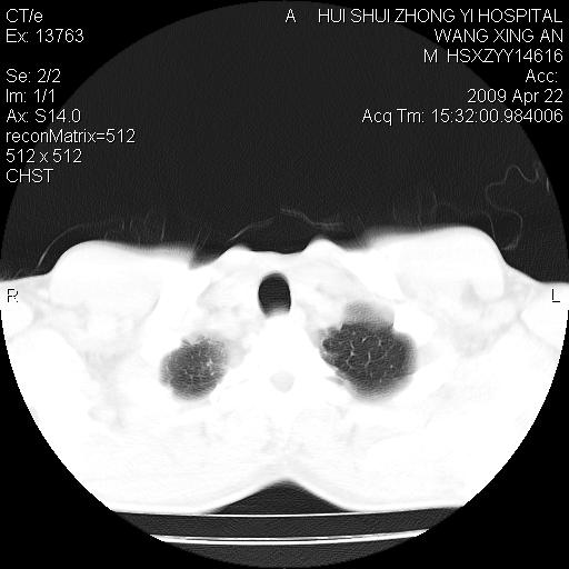
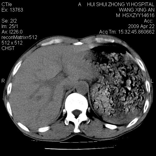
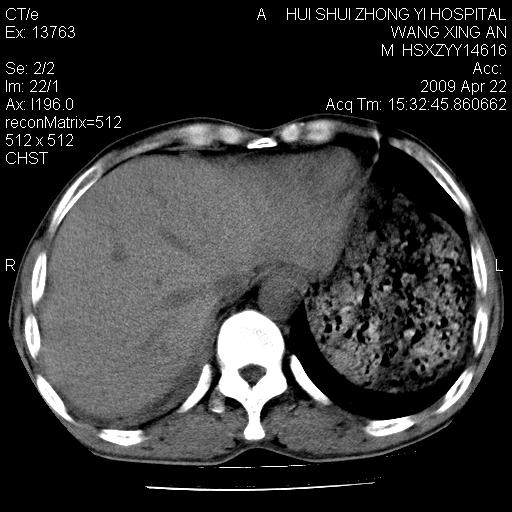
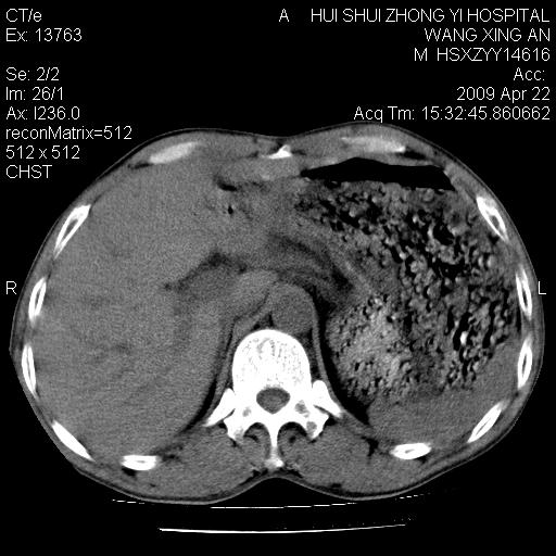
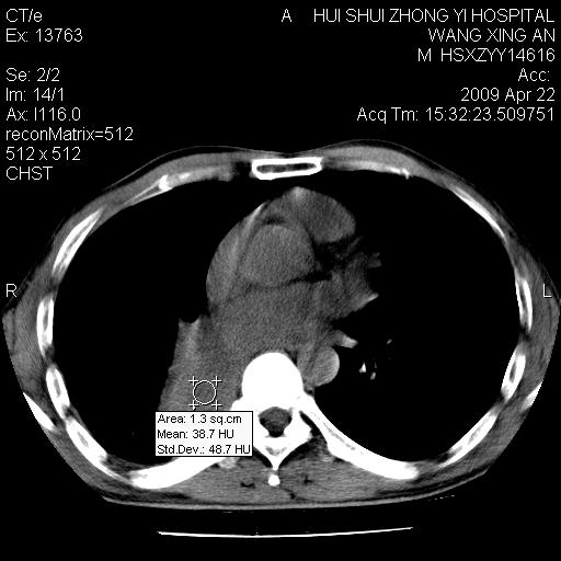
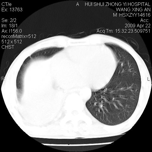
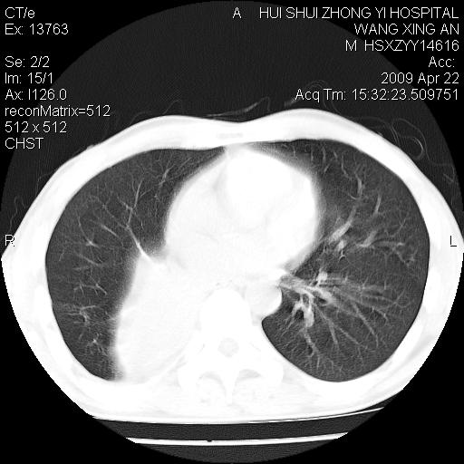
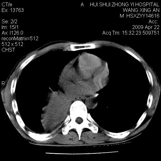
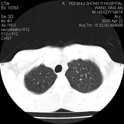
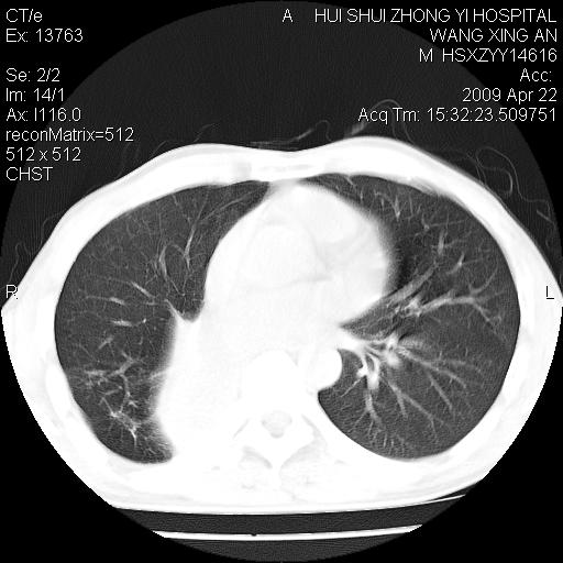
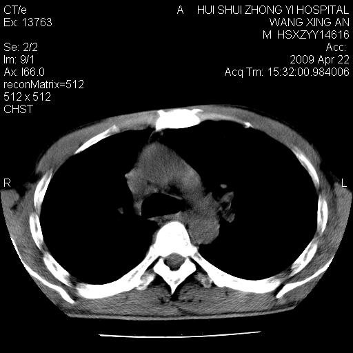
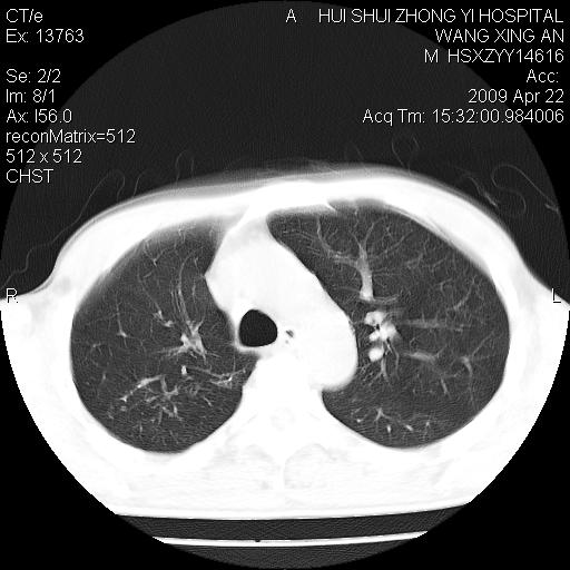
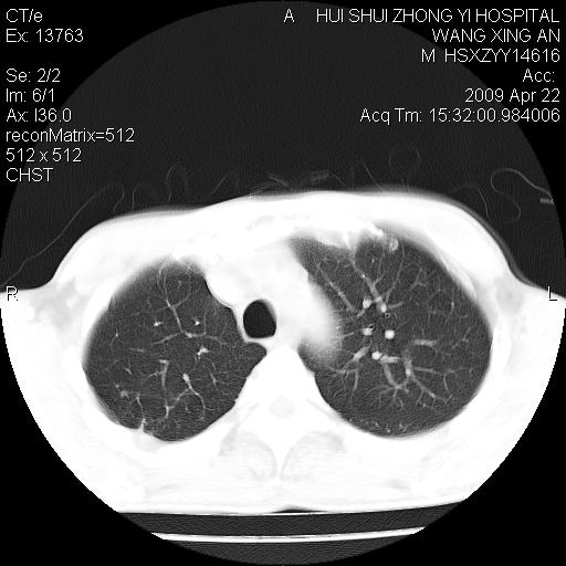
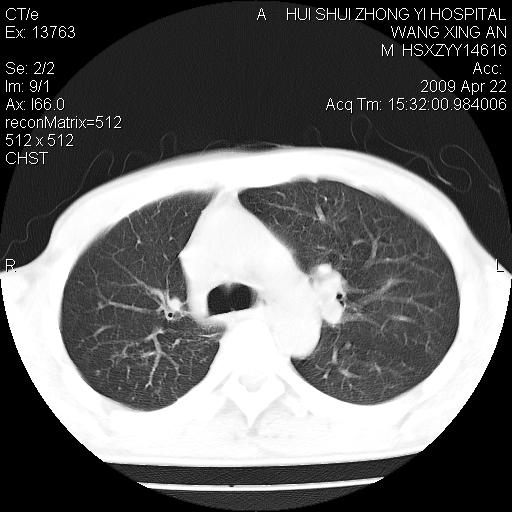
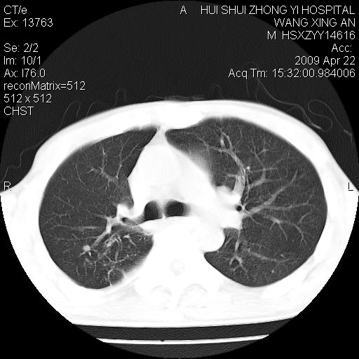
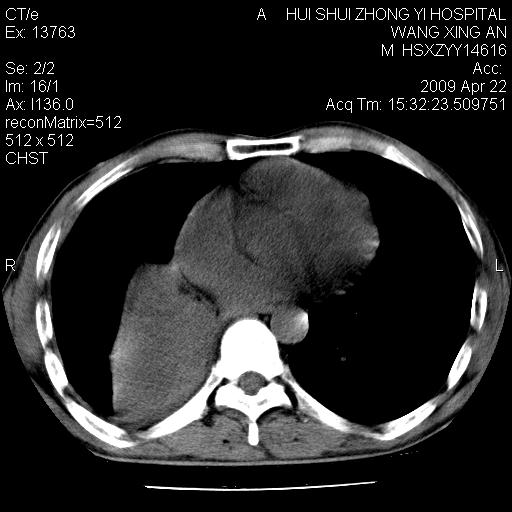
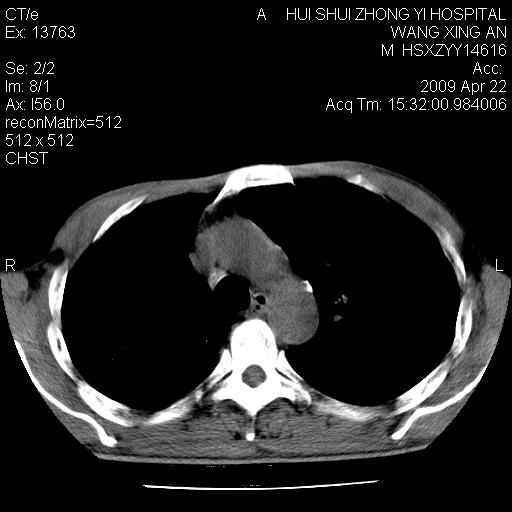
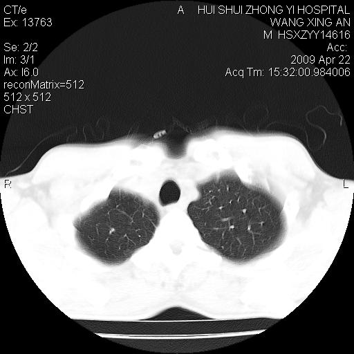
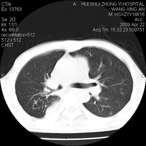
1、右下肺中央型肺癌并右肺转移,右肺下叶不张。(右肺有结节影)。
2、右中上肺陈旧性肺结核(因为大多为纤维灶)。
3、右侧胸腔积液。
作者: judc    时间: 2009-4-23 03:45
考虑右侧中心性肺癌并下叶肺不张
右肺纤维灶
右侧少量胸腔积液
作者: 沉默是金    时间: 2009-4-23 03:55
1、右下肺中央型肺癌并右肺转移,右肺下叶不张。(右肺有结节影)。
2、右中上肺陈旧性肺结核(因为大多为纤维灶)。
3、右侧胸腔积液。
作者: nansong    时间: 2009-4-23 03:56
右侧中心性肺癌并下叶肺不张

右侧少量胸腔积液
作者: 王显瑞    时间: 2009-4-23 04:47
1、右下肺中央型肺癌并右肺转移,右肺下叶不张。(右肺有结节影)。
2、右中上肺陈旧性肺结核(因为大多为纤维灶)。
3、右侧胸腔积液。
作者: 刘湘    时间: 2009-4-23 05:26
右侧中心性肺癌并下叶肺不张,双肺及纵隔淋巴结转移,右侧胸腔积液
作者: 同    时间: 2009-4-23 06:03
右下肺中央型肺癌并右肺转移,右肺不张,右侧胸腔积液。
作者: dsl555    时间: 2009-4-23 06:05
支持右侧中央型肺ca并右下肺不张、右侧胸腔少量积液。
作者: 影象小泰斗    时间: 2009-4-23 06:36
右侧中心性肺癌!
作者: 王永    时间: 2009-4-23 06:46
1、右下肺中央型肺癌伴并双肺转移
2、右侧陈旧肺结核
作者: 影像孺子牛    时间: 2009-4-23 07:34
1、右下肺中央型肺癌并右肺转移,右肺下叶不张。(肿块围绕右肺下叶支气管生长,致管腔闭塞右肺下叶不张;右肺有结节影)。
2、右侧胸腔积液。
3、右中上肺陈旧性肺结核(右肺见纤维化病灶及点状钙化)。
作者: 卜一    时间: 2009-4-23 11:01
考虑---右肺中心型肺癌继发下叶不张,少量胸水。支持!
作者: zsl6918    时间: 2009-4-23 14:11
肺癌肺不张.
作者: jiangjing    时间: 2009-4-23 14:33
1、右下肺中央型肺癌并右肺转移,右肺中下叶不张。(右肺有结节影)。胸骨转移
2、右中上肺陈旧性肺结核(因为大多为纤维灶)。
3、右侧胸腔积液。
作者: qc80012345    时间: 2009-4-23 14:40
考虑---右肺中心型肺癌继发下叶不张,少量胸水。支持!
作者: SONGYI    时间: 2009-4-23 16:42
支持右侧中央型肺ca并右下肺不张、右侧胸腔少量积液。
作者: 深泽交通    时间: 2009-4-23 17:01
标题: 回复:患者男、46岁咳嗽、胸痛半月。
以下是引用zbp537在2009-4-22 19:25:00的发言:[br]1、右下肺中央型肺癌并右肺转移,右肺下叶不张。(右肺有结节影)。[br]2、右中上肺陈旧性肺结核(因为大多为纤维灶)。[br]3、右侧胸腔积液。

作者: 道哥    时间: 2009-4-23 17:15
1、右下肺中央型肺癌并右肺转移,右肺下叶不张。(右肺有结节影)。
2、右中上肺陈旧性肺结核(因为大多为纤维灶)。
3、右侧胸腔积液。
作者: sxz2001    时间: 2009-4-23 17:37
标题: 回复:患者男、46岁咳嗽、胸痛半月。
以下是引用judc在2009-4-22 19:45:00的发言:[br]考虑右侧中心性肺癌并下叶肺不张[br]右肺纤维灶[br]右侧少量胸腔积液

作者: 51736011    时间: 2009-4-23 18:59
右肺中心型肺癌继发下叶不张,右下肺纤维灶,少量胸水。
作者: 李得胜    时间: 2009-4-23 19:17
右侧中心性肺癌并下叶肺不张

右侧少量胸腔积液
作者: pingdongying    时间: 2009-4-23 20:29
1。右下肺中央型肺癌并肺转移,右肺下叶不张。(两肺都有结节影)。
2、右侧胸腔积液。
作者: 张辉9999    时间: 2009-4-23 23:11
考虑右肺中心型肺癌并不张。
作者: 黑白光影    时间: 2009-4-23 23:55
右肺中心型肺癌继发下叶不张,少量胸水。
作者: 随光逐影    时间: 2009-4-24 02:54
1)右肺中间段支气管癌并右肺下叶肺不张。2)右肺上叶、两肺下叶背段感染性病变。3)右侧少量胸腔积液。




欢迎光临 医影在线 (http://bbs.radida.com/bbs/) Powered by Discuz! X3.2