






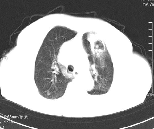
以下是引用杀毒软件在2009-4-22 18:45:00的发言:[br]考虑----左肺感染性病变〔真菌可能性大〕-----建议痰检。
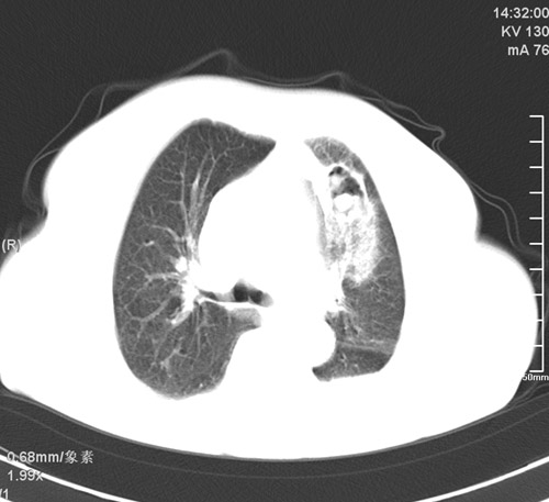
以下是引用杀毒软件在2009-4-22 18:45:00的发言:[br]考虑----左肺感染性病变〔真菌可能性大〕-----建议痰检。
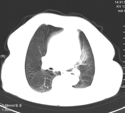
以下是引用杀毒软件在2009-4-22 18:45:00的发言:[br]考虑----左肺感染性病变〔真菌可能性大〕-----建议痰检。
| 欢迎光临 医影在线 (http://bbs.radida.com/bbs/) | Powered by Discuz! X3.2 |