

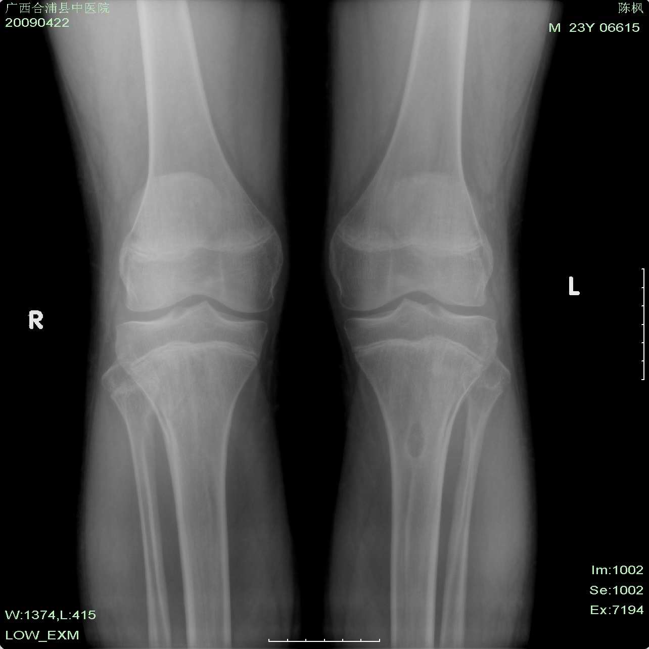
以下是引用杀毒软件在2009-4-22 19:28:00的发言:[br]长骨增粗见骨膜性成骨,多个骨骺线未闭,骨质疏松,左胫骨内卵圆形透亮区,边缘硬化。[br][br]结合临床符合----垂体内分沁骨病。可惜现有资料诊断并不具特征性。 [br][br]加照---蝶鞍和颅盖看看[br][br]胫骨内卵圆形透亮区---考虑---纤维性骨皮质缺损可能性大,不完全排除----低毒感染
以下是引用hhx58在2009-4-22 18:50:00的发言:[br]男,23岁。有脑垂体瘤手术病史。[br]
[br]
以下是引用余辉在2009-4-22 20:41:00的发言:[br]患者23岁,骨骺未闭合,有垂体瘤手术史,提示垂体前叶功能低下,生长激素分泌低下,骨龄延迟.[br]所示各骨密度减低,下部腰椎侧弯,双侧股骨颈弯曲,且似有looser带,股骨头二次骨化中心内似有囊状影重叠,左侧胫骨髁间嵴及胫骨上干骺端见囊性改变.胫骨干皮质有分层,提示骨质软化,纤维囊性骨炎及骨膜功能异常等.[br]此为患者垂体整体功能低下(前后叶均功能低),对内分泌调节作用就低下,会使各种内分泌激素均产生紊乱,所以本例内分泌改变是混合性的,骨骼改变由多种内分泌异常引起,至少符合甲旁减\\甲旁亢\\肾上腺皮质功能亢进\\雄激素分泌异常等改变[br][br][本贴已被 余辉 于 2009-4-22 20:43:08 修改过]
以下是引用余辉在2009-4-22 20:41:00的发言:[br]患者23岁,骨骺未闭合,有垂体瘤手术史,提示垂体前叶功能低下,生长激素分泌低下,骨龄延迟.[br]所示各骨密度减低,下部腰椎侧弯,双侧股骨颈弯曲,且似有looser带,股骨头二次骨化中心内似有囊状影重叠,左侧胫骨髁间嵴及胫骨上干骺端见囊性改变.胫骨干皮质有分层,提示骨质软化,纤维囊性骨炎及骨膜功能异常等.[br]此为患者垂体整体功能低下(前后叶均功能低),对内分泌调节作用就低下,会使各种内分泌激素均产生紊乱,所以本例内分泌改变是混合性的,骨骼改变由多种内分泌异常引起,至少符合甲旁减\\甲旁亢\\肾上腺皮质功能亢进\\雄激素分泌异常等改变[br][br][本贴已被 余辉 于 2009-4-22 20:43:08 修改过]
以下是引用余辉在2009-4-22 20:41:00的发言:[br]患者23岁,骨骺未闭合,有垂体瘤手术史,提示垂体前叶功能低下,生长激素分泌低下,骨龄延迟.[br]所示各骨密度减低,下部腰椎侧弯,双侧股骨颈弯曲,且似有looser带,股骨头二次骨化中心内似有囊状影重叠,左侧胫骨髁间嵴及胫骨上干骺端见囊性改变.胫骨干皮质有分层,提示骨质软化,纤维囊性骨炎及骨膜功能异常等.[br]此为患者垂体整体功能低下(前后叶均功能低),对内分泌调节作用就低下,会使各种内分泌激素均产生紊乱,所以本例内分泌改变是混合性的,骨骼改变由多种内分泌异常引起,至少符合甲旁减\\甲旁亢\\肾上腺皮质功能亢进\\雄激素分泌异常等改变[br][br][本贴已被 余辉 于 2009-4-22 20:43:08 修改过]
| 欢迎光临 医影在线 (http://bbs.radida.com/bbs/) | Powered by Discuz! X3.2 |