医影在线

标题: CT19540: 31岁。自述结核性胸水治疗两个月后,在外院拍x线发 [打印本页]

作者: zgjldq    时间: 2009-4-23 16:14
标题: CT19540: 31岁。自述结核性胸水治疗两个月后,在外院拍x线发



































[本贴已被 jiajie 于 2009-4-23 10:55:00 修改过]

作者: 王显瑞    时间: 2009-4-23 16:38
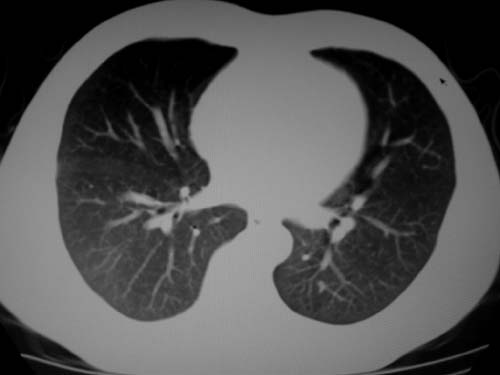
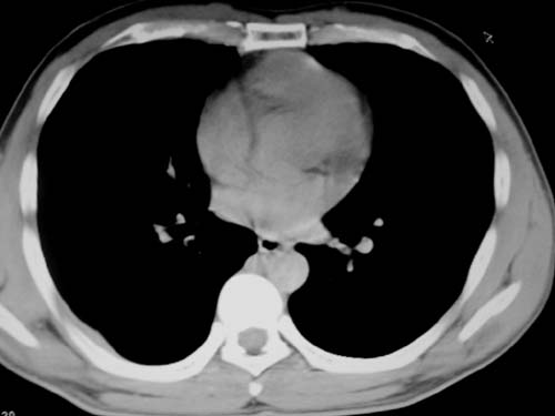
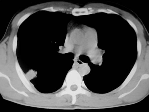
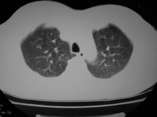
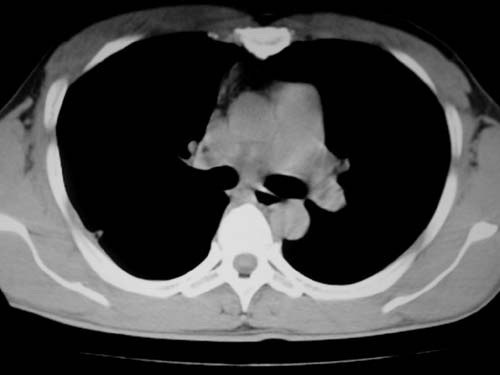
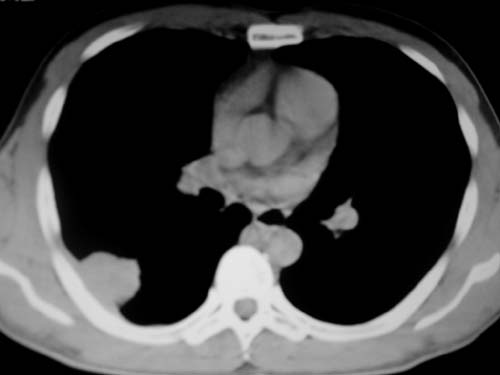
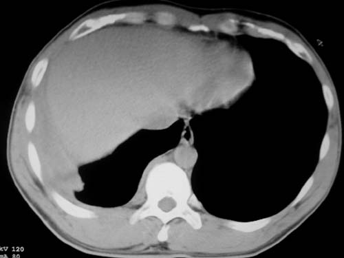
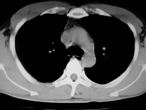
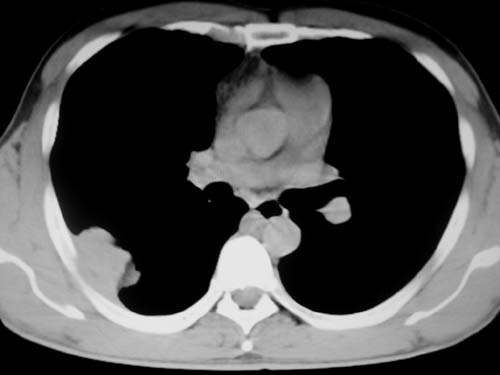
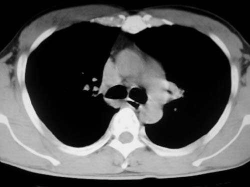
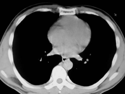
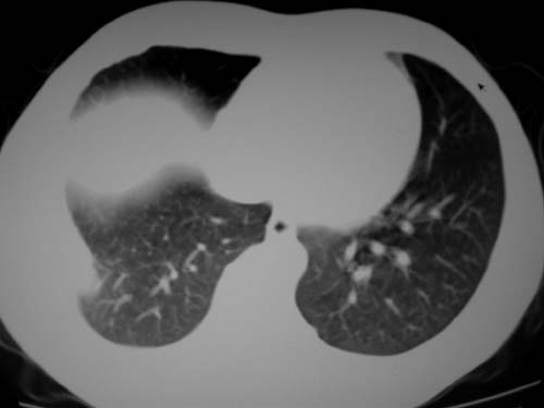
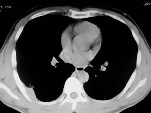
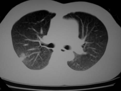
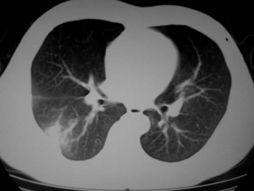
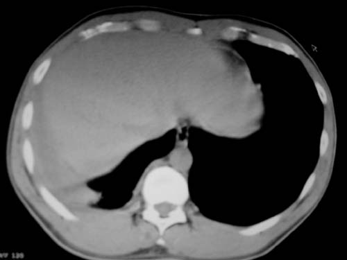
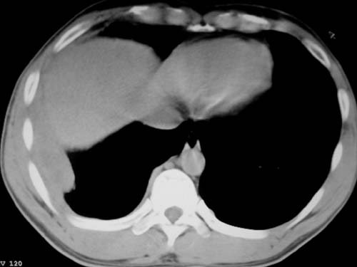
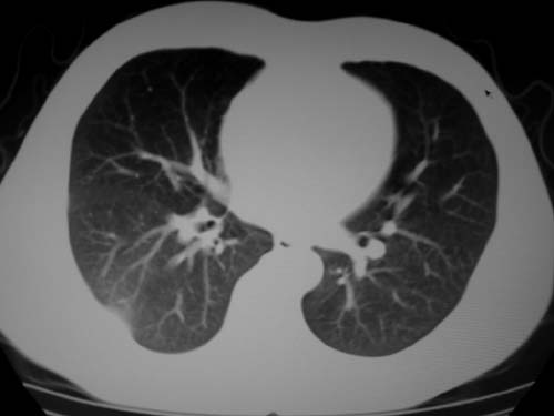
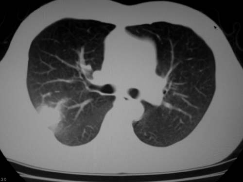
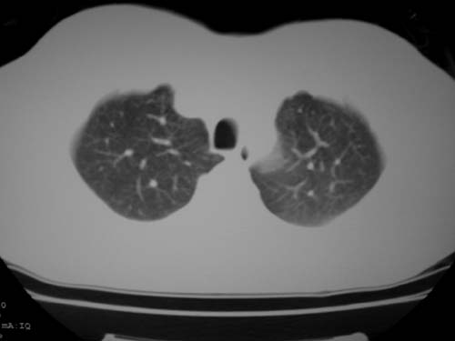
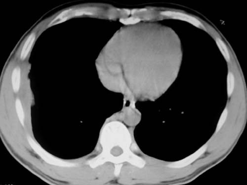
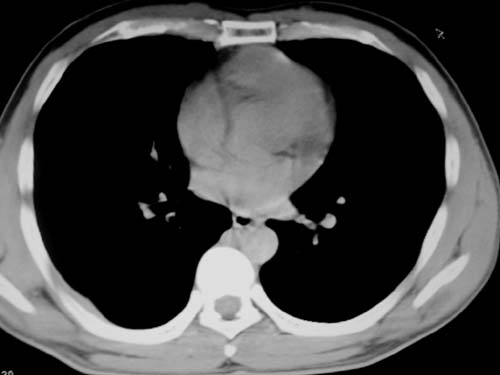
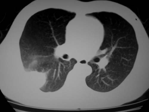
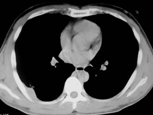
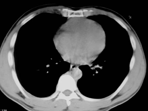
右侧胸壁结节状软组织影伴相应肺叶内受侵,伴右侧胸腔积液。考虑:结核性可能大。
作者: liyf    时间: 2009-4-23 16:42
1、炎性包块;2、右侧少量胸膜积液。
作者: 深泽交通    时间: 2009-4-23 16:48
标题: 回复:31岁。自述结核性胸水治疗两个月后,在外院拍x线发
以下是引用王显瑞在2009-4-23 8:38:00的发言:[br]右侧胸壁结节状软组织影伴相应肺叶内受侵,伴右侧胸腔积液。考虑:结核性可能大。

作者: SONGYI    时间: 2009-4-23 16:54
支持 右侧胸壁结节状软组织影伴相应肺叶内受侵,伴右侧胸腔积液。考虑:结核性可能大。
作者: 51736011    时间: 2009-4-23 17:42
1、炎性病变,结核可能;2、右侧少量胸膜积液。
作者: 余辉    时间: 2009-4-23 18:07
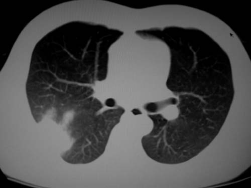
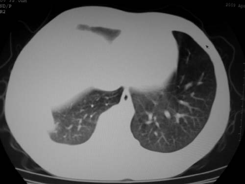
病灶也是发生于结核球好发部位,支持结核
作者: LYB999    时间: 2009-4-23 18:30
支持结核
作者: 杀毒软件    时间: 2009-4-23 19:02
标题: 回复:ct19540: 31岁。自述结核性胸水治疗两个月后,在外院
以下是引用liyf在2009-4-23 8:42:00的发言:[br]1、炎性包块;2、右侧少量胸膜积液。

支持
作者: 霸男    时间: 2009-4-23 19:02
考虑结核性结节
作者: 水蓝色的    时间: 2009-4-23 19:16
多考虑包裹性胸腔识液。
作者: heroin29    时间: 2009-4-23 19:51
结核可能性大。
作者: pingdongying    时间: 2009-4-23 20:19
右侧胸壁结节状软组织影伴相应肺叶内受侵,伴右侧胸腔积液,结合临床,首先考虑结核。
作者: sxz2001    时间: 2009-4-23 21:38
标题: 回复:ct19478:女性病人 46岁 腹痛半月
以下是引用奥特之父在2009-4-20 19:58:00的发言:[br]支持胰腺癌并转移性病变。

作者: 张辉9999    时间: 2009-4-23 22:26
考虑结核性胸膜炎,胸膜肥厚,不除外胸膜间皮瘤可能,建议复查。
作者: 黑白光影    时间: 2009-4-24 00:28
支持结核,胸膜间皮瘤不排除.
作者: 随光逐影    时间: 2009-4-24 03:09
1)考虑右侧结核性胸膜结节。2)右侧胸膜增厚+包裹性胸腔积液。
作者: zsl6918    时间: 2009-4-24 15:46
支持结核性胸膜炎表现
作者: chinanyd    时间: 2009-4-24 19:05
结核性脓胸、肺内结核?




欢迎光临 医影在线 (http://bbs.radida.com/bbs/) Powered by Discuz! X3.2