医影在线

标题: CT19544:求助,请帮会诊 [打印本页]

作者: czhszbd    时间: 2009-4-23 19:47
标题: CT19544:求助,请帮会诊
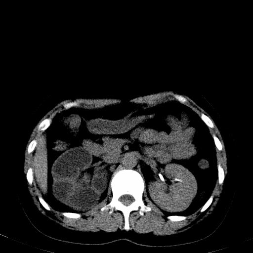
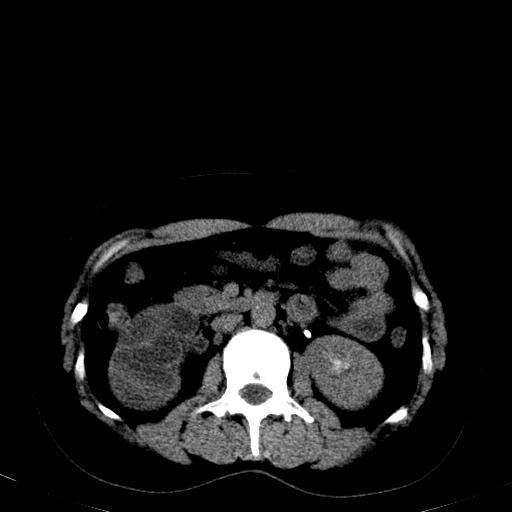
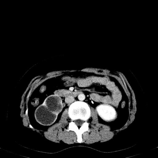
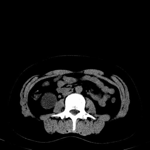
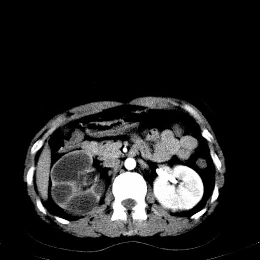
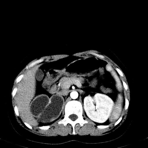
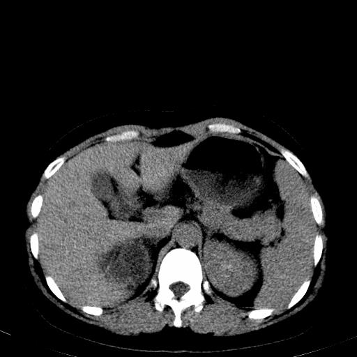
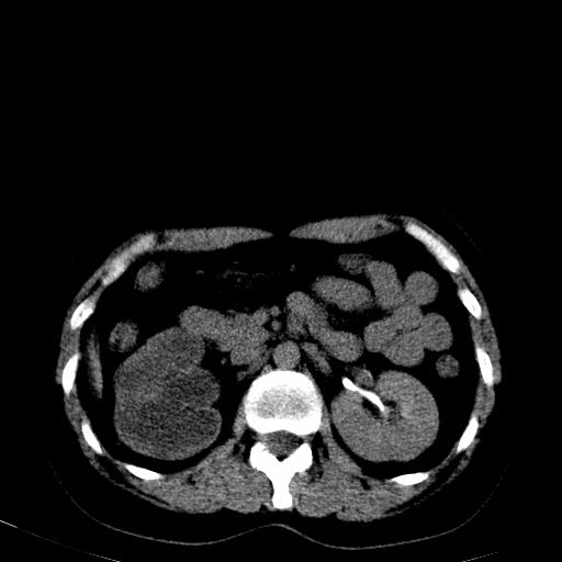
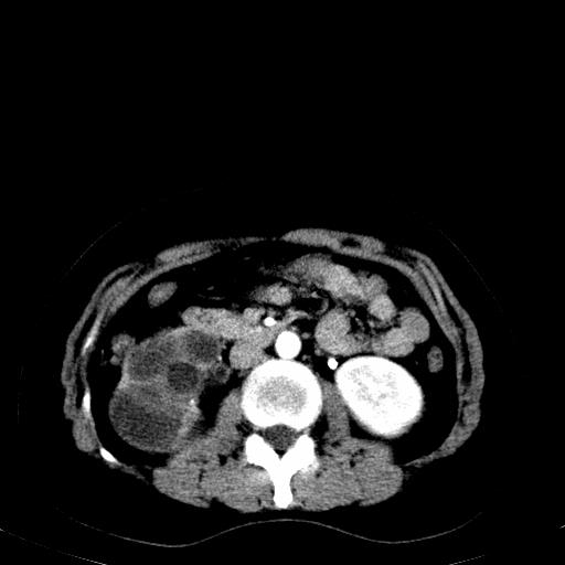
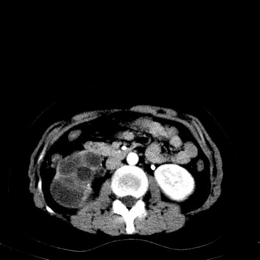
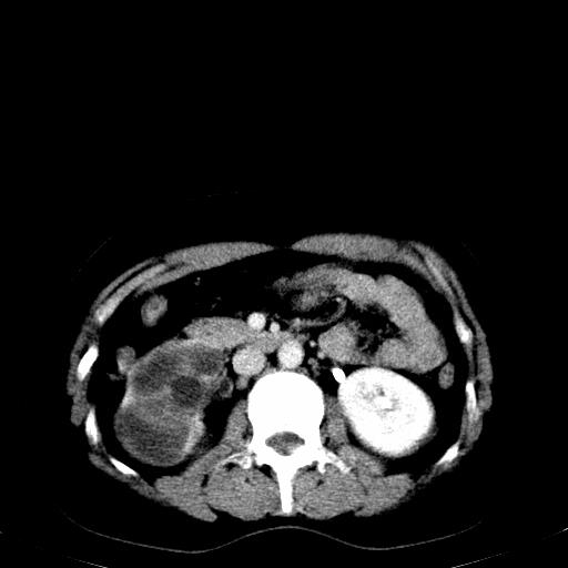
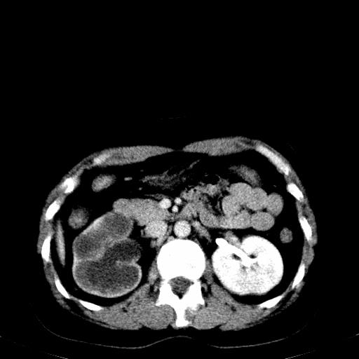
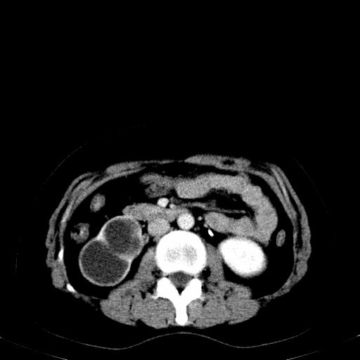
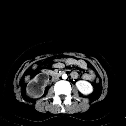
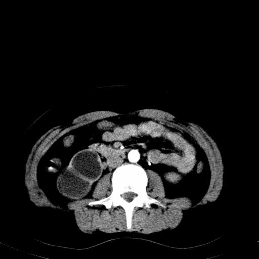
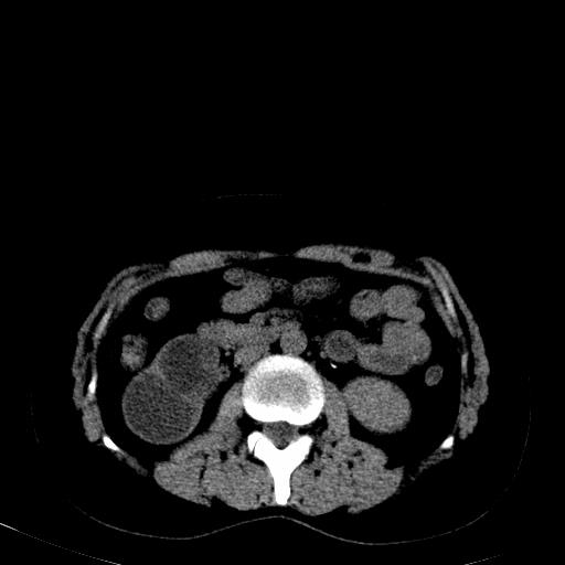
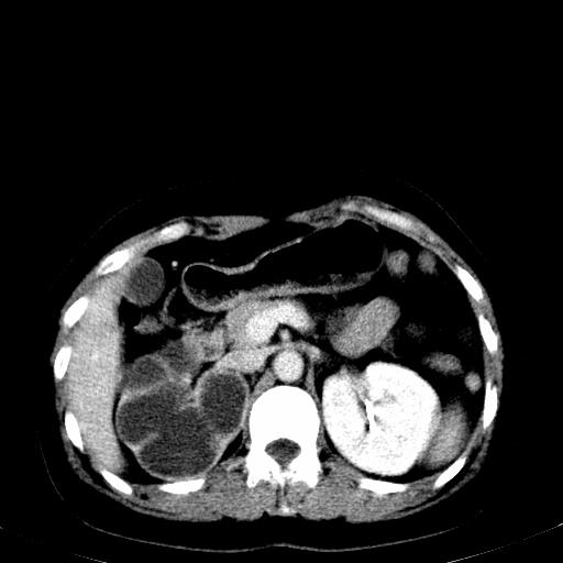
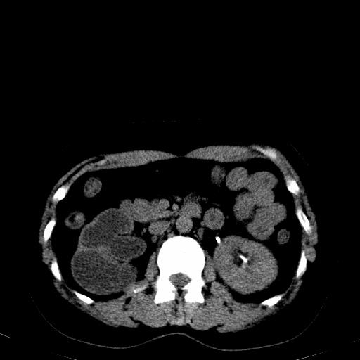
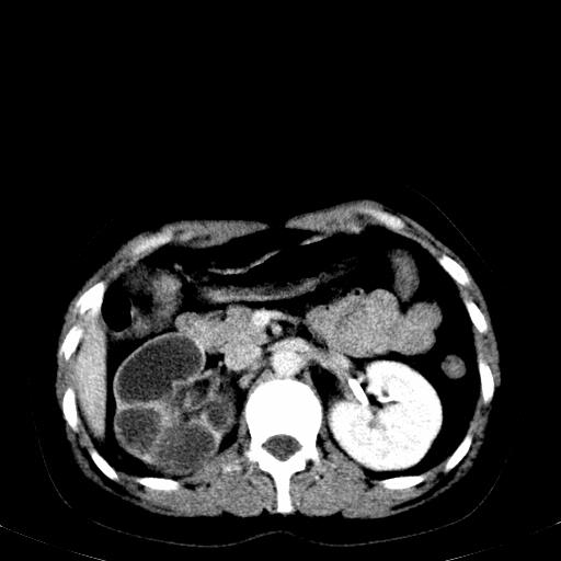
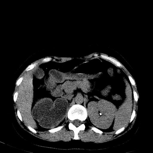
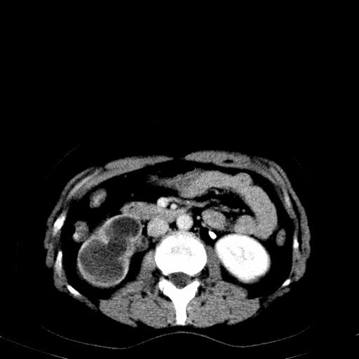
患者体检发现右肾体积增大,怀疑右肾积水





































[本贴已被 jiajie 于 2009-4-23 18:51:46 修改过]

作者: syfszcw    时间: 2009-4-23 21:16
应该肾积水没有问题!
作者: bmw011    时间: 2009-4-23 21:20
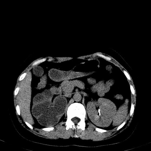
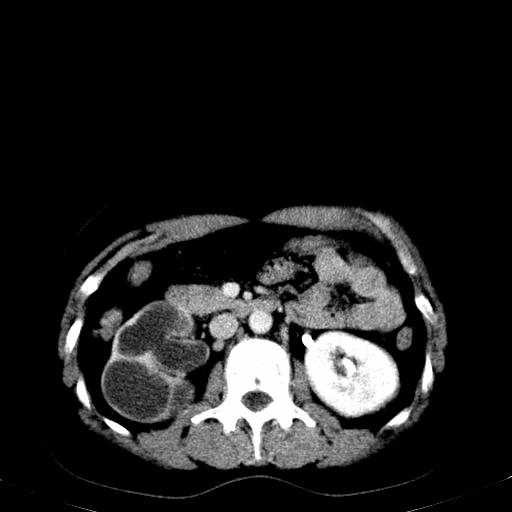
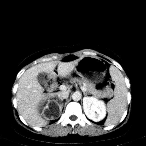
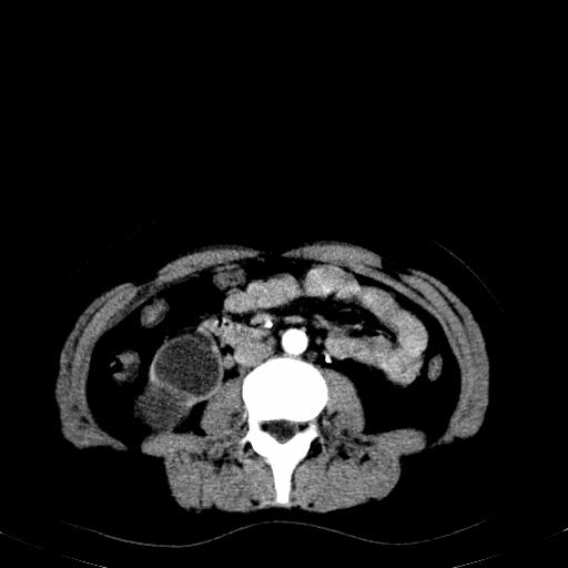
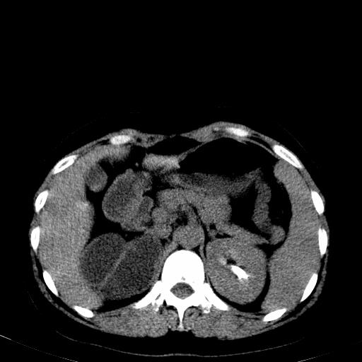
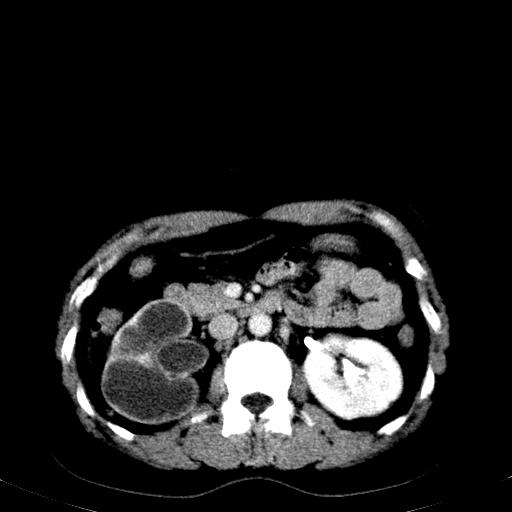
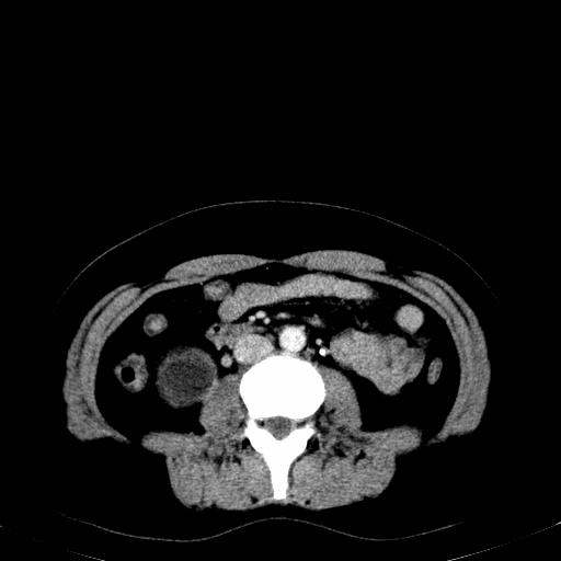
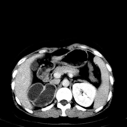
右肾多发囊肿,左肾、左输尿管结石
作者: scdlc2008    时间: 2009-4-23 21:39
肾积水
作者: wuyiyunwu    时间: 2009-4-23 21:47
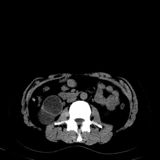
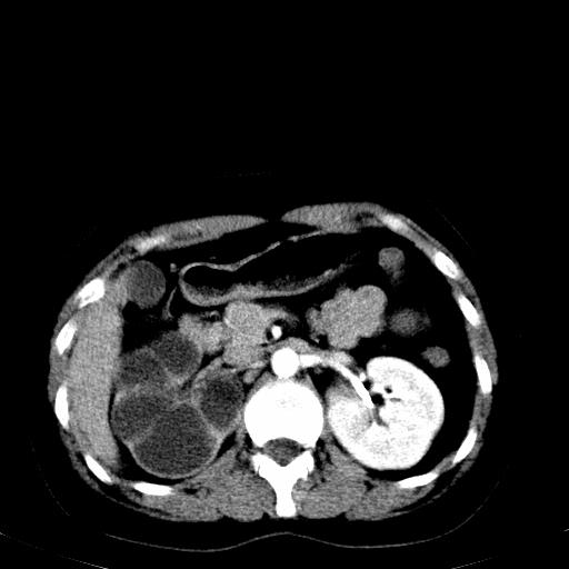
右肾重度积水,以肾盏积水明显,有分隔,上段输尿管轻度扩张,管壁增厚,考虑肾结核可能,请结合尿检查,胸部拍片排除肺结核。
作者: mlfx123321    时间: 2009-4-23 22:16
右侧肾积水、左侧肾结石
作者: 张辉9999    时间: 2009-4-23 22:20
右侧肾积水、左侧肾结石  ,要排除右肾结核可能。
作者: 奥特之父    时间: 2009-4-23 23:15
右肾重度积水,建议ct向下扫描或逆行造影,左肾及左输尿管结石 .
作者: 晓杰    时间: 2009-4-23 23:24
右侧肾积水、左侧肾结石 ,原因待查
作者: 黑白光影    时间: 2009-4-24 00:40
右侧肾积水、左侧肾结石 ,原因待查
作者: czhszbd    时间: 2009-4-24 01:00
患者尿常规正常,b超未发现明显结石,自身也无明显感觉异常。
请问多囊肾与肾积水怎么鉴别
作者: 随光逐影    时间: 2009-4-24 03:26
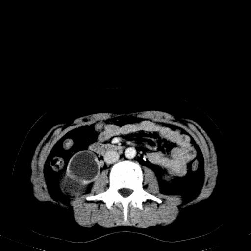
1)不排除右肾结核可能。2)左肾及左输尿管上段结石?
作者: sxz2001    时间: 2009-4-24 05:07
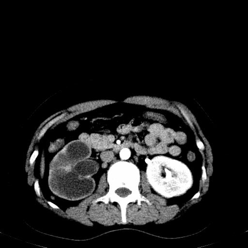
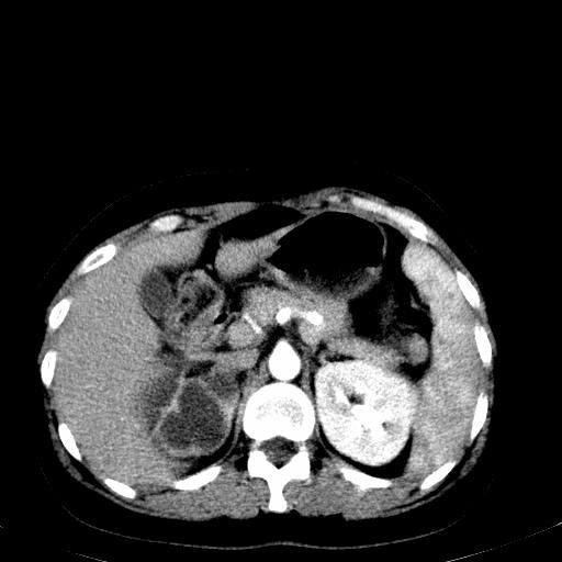
左肾不像是结石吧,是不是做过造影啊
作者: ysxyy    时间: 2009-4-24 06:17
左肾哪里有结石???
第一个序列应该是延迟图像吧;
结合强化图片看ivp意义不大,建议作逆行造影看一下;
作者: 杀毒软件    时间: 2009-4-24 15:29
要排除右肾结核可能
作者: zsl6918    时间: 2009-4-24 15:40
左肾不是结石,是造影后改变.右肾积水,功能仅存.
作者: chinanyd    时间: 2009-4-24 19:02
右肾积水、左侧肾脏结石,建议进一步检查原因除外左肾结核可能




欢迎光临 医影在线 (http://bbs.radida.com/bbs/) Powered by Discuz! X3.2