医影在线

标题: CT19545:男,66岁,贲门Ca术后一年,喝了5、6杯水了。上腹 [打印本页]

作者: 2008奥运    时间: 2009-4-23 20:57
标题: CT19545:男,66岁,贲门Ca术后一年,喝了5、6杯水了。上腹
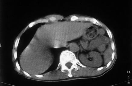
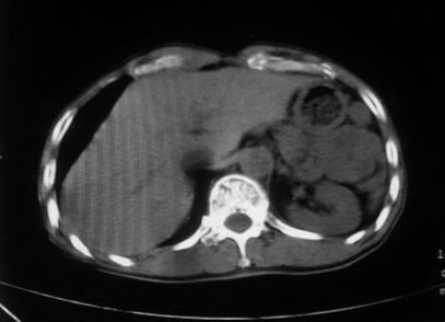
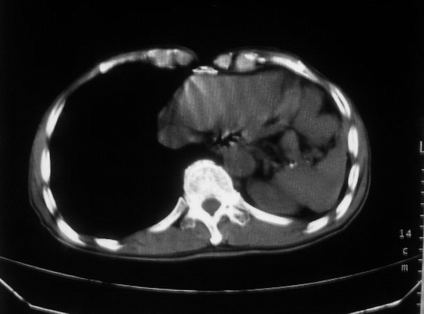
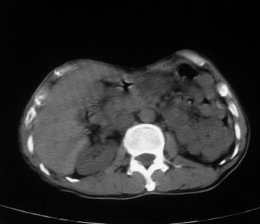
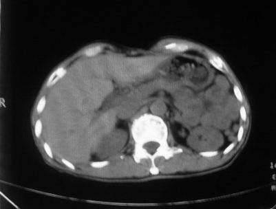
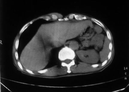
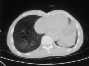
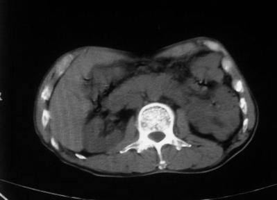
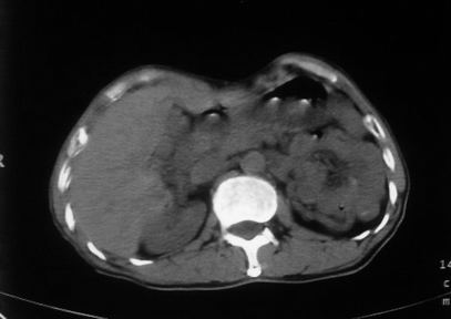
男,66岁,贲门ca术后一年,喝了5、6杯水了。怎么描述跟诊断啊


















[本贴已被 jiajie 于 2009-4-23 18:52:17 修改过]

作者: 深泽交通    时间: 2009-4-23 22:42
看不清




欢迎光临 医影在线 (http://bbs.radida.com/bbs/) Powered by Discuz! X3.2