













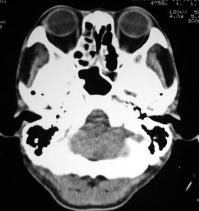
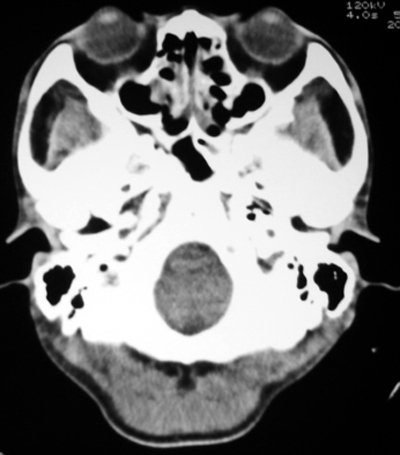
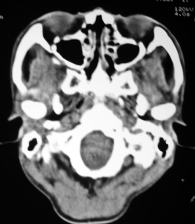
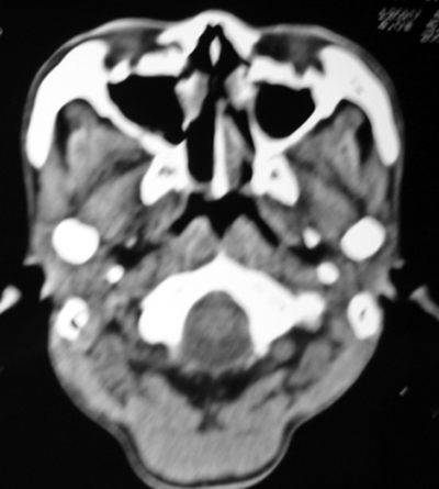
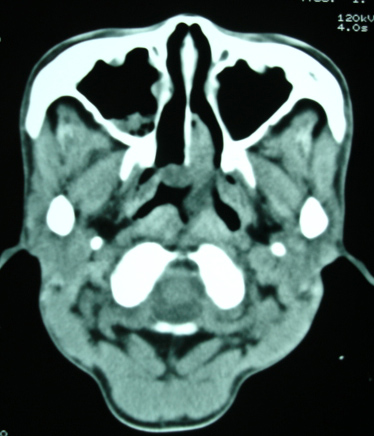
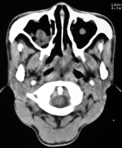
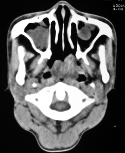
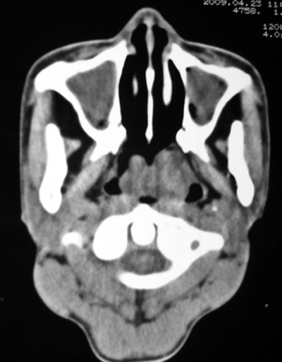
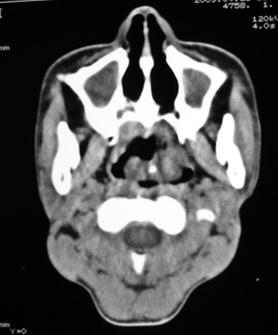
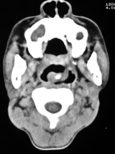
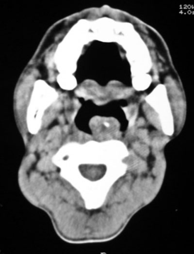
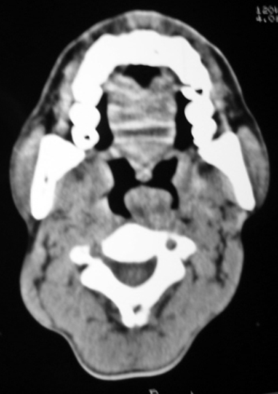
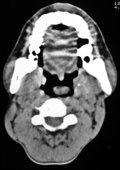
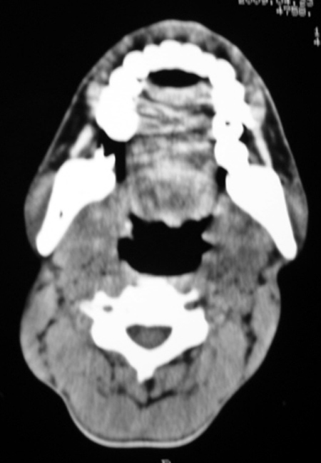
以下是引用bmw011在2009-4-23 13:23:00的发言:[br]考虑鼻息肉,上颌窦、筛窦炎
以下是引用syfszcw在2009-4-23 13:21:00的发言:[br]双侧上颌窦 筛窦慢性炎症,鼻息肉 会厌ca[br][br][本贴已被 syfszcw 于 2009-4-23 13:36:46 修改过]
以下是引用随光逐影在2009-4-23 19:35:00的发言:[br]1)鼻咽、口咽、左侧鼻腔及右侧鼻后孔处新生物,考虑息肉可能性大。2)双侧上颌窦及双侧筛窦炎症,不排除双侧上颌窦内息肉可能。
| 欢迎光临 医影在线 (http://bbs.radida.com/bbs/) | Powered by Discuz! X3.2 |