

















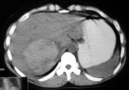
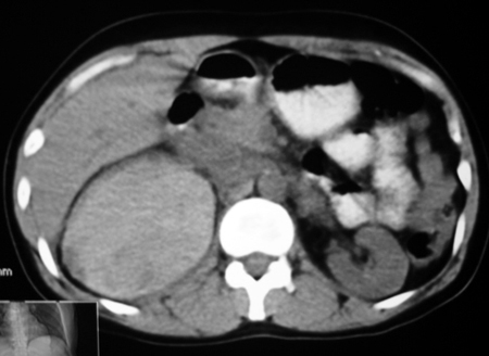
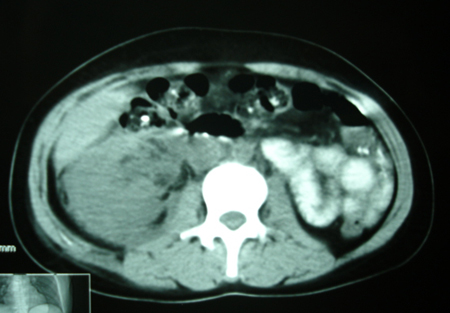
以下是引用bmw011在2009-4-23 13:28:00的发言:[br]考虑右肾包膜下血肿。
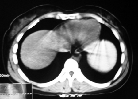
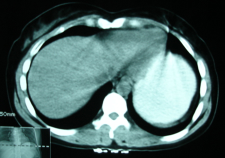
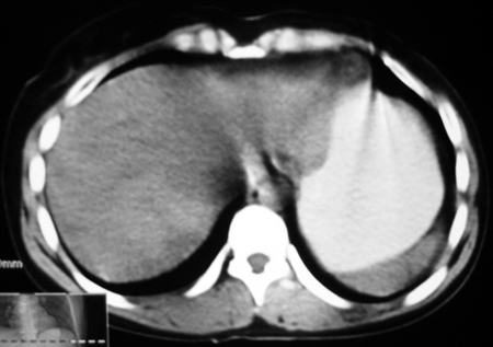
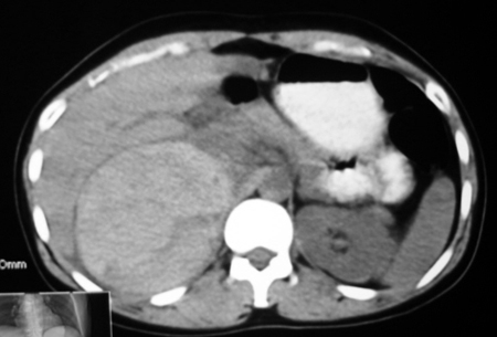
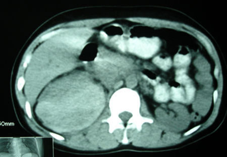
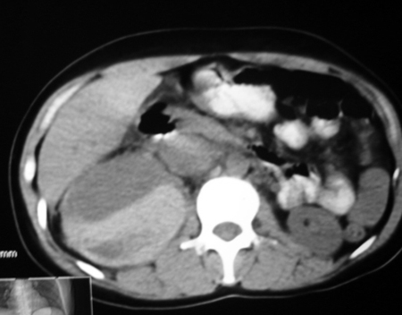
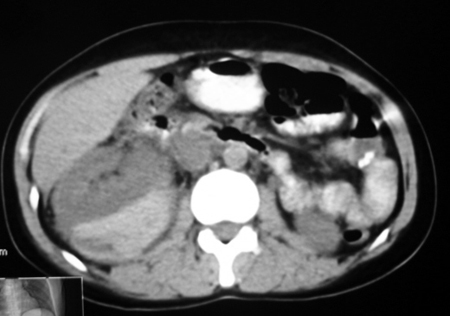
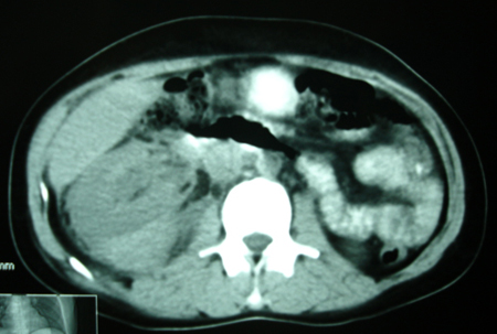
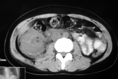
以下是引用卜一在2009-4-23 15:43:00的发言:[br]考虑右肾包膜下血肿,不排除占位病变伴出血可能,建议进一步检查。
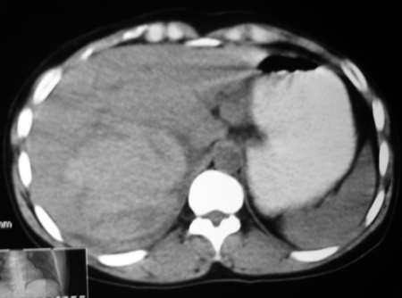
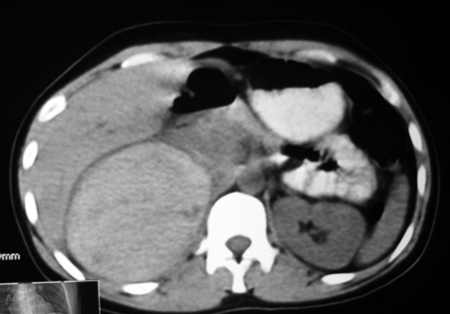
以下是引用卜一在2009-4-23 15:43:00的发言:[br]考虑右肾包膜下血肿,不排除占位病变伴出血可能,建议进一步检查。
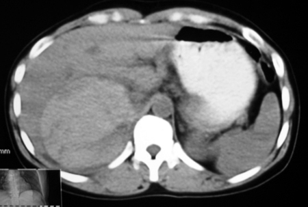
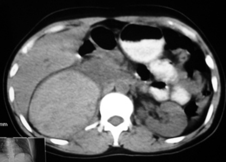
以下是引用卜一在2009-4-23 15:43:00的发言:[br]考虑右肾包膜下血肿,不排除占位病变伴出血可能,建议进一步检查。
| 欢迎光临 医影在线 (http://bbs.radida.com/bbs/) | Powered by Discuz! X3.2 |