

























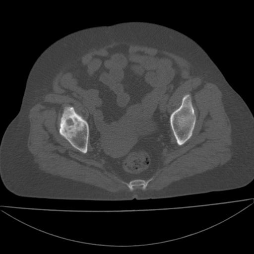
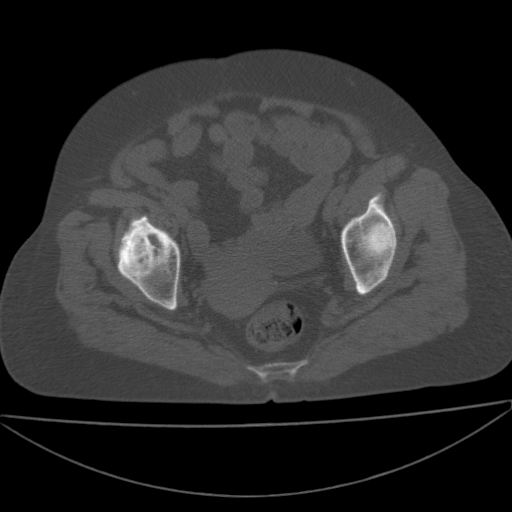
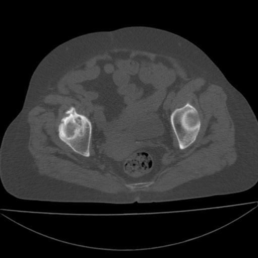
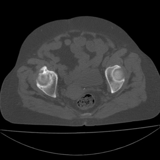
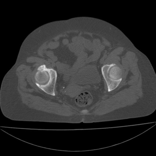
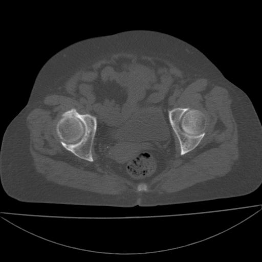
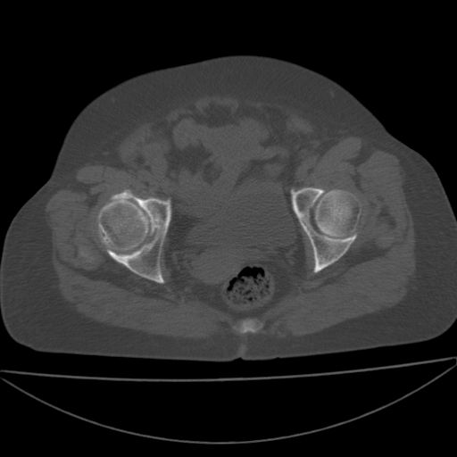
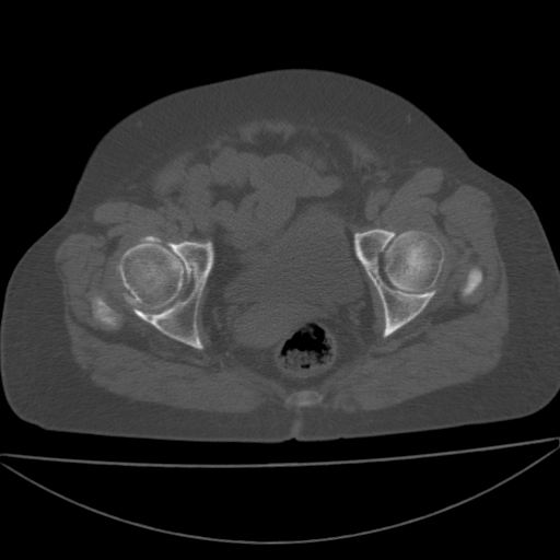
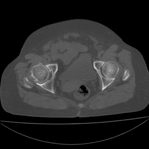
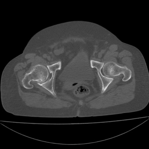
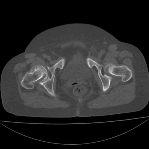
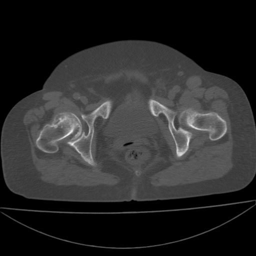
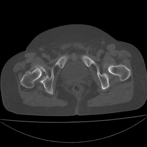
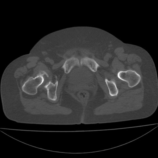
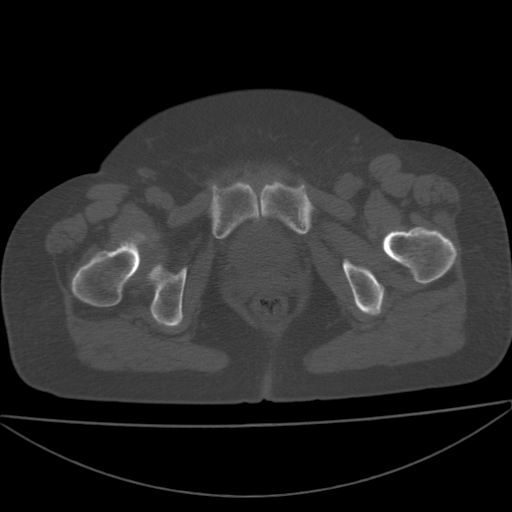
以下是引用王显瑞在2009-4-23 16:45:00的发言:[br]考虑股骨颈陈旧性骨折,股骨头缺血型坏死
以下是引用余辉在2009-4-23 17:08:00的发言:[br]考虑右髋关节退行性变.股骨颈改变考虑陈旧性骨折可能,股骨头顶部关节面下似有透亮区,股骨头皮质环增厚,考虑有股骨头坏死
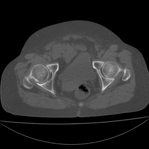
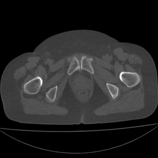
以下是引用余辉在2009-4-23 17:08:00的发言:[br]考虑右髋关节退行性变.股骨颈改变考虑陈旧性骨折可能,股骨头顶部关节面下似有透亮区,股骨头皮质环增厚,考虑有股骨头坏死
以下是引用王显瑞在2009-4-23 16:45:00的发言:[br]考虑股骨颈陈旧性骨折,股骨头缺血型坏死
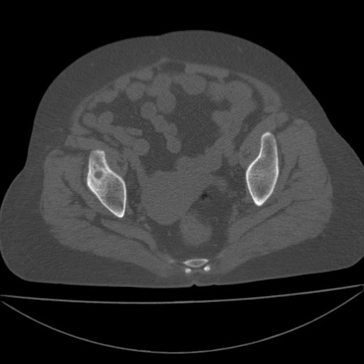
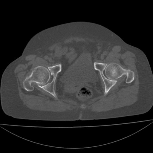
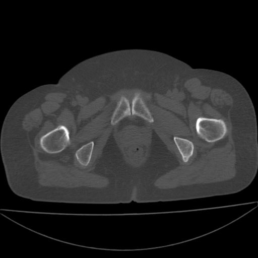
以下是引用王显瑞在2009-4-23 16:45:00的发言:[br]考虑股骨颈陈旧性骨折,股骨头缺血型坏死
| 欢迎光临 医影在线 (http://bbs.radida.com/bbs/) | Powered by Discuz! X3.2 |