医影在线

标题: CT19558:男 43 请各老师会诊 [打印本页]

作者: zdh    时间: 2009-4-24 05:02
标题: CT19558:男 43 请各老师会诊
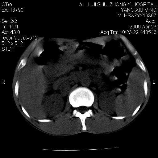
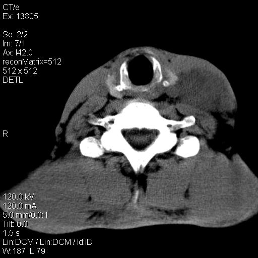
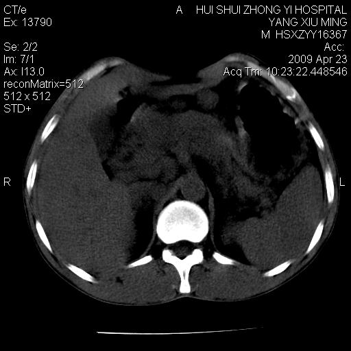
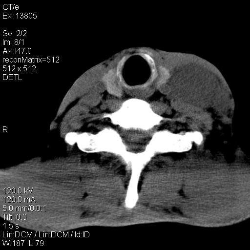
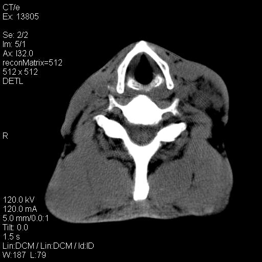
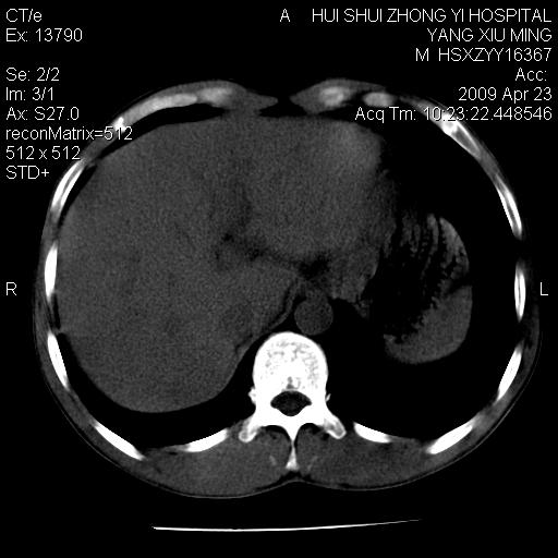
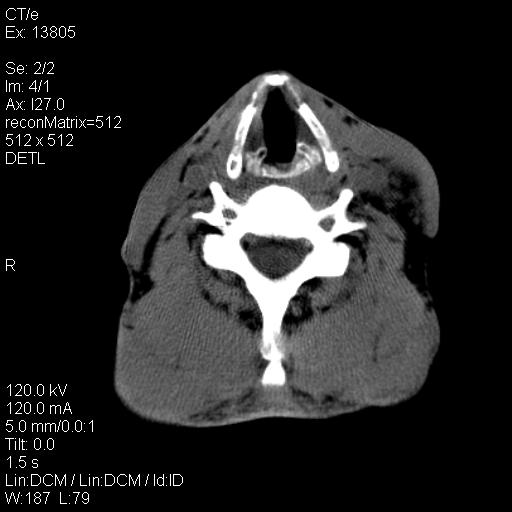
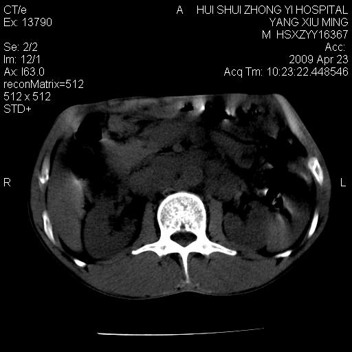
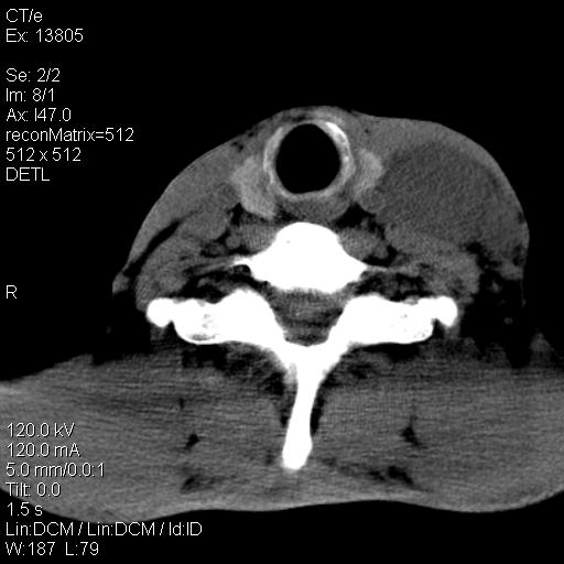
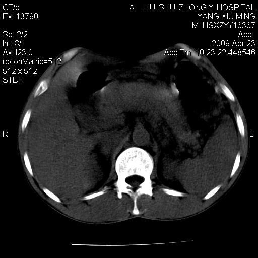
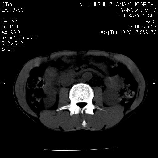
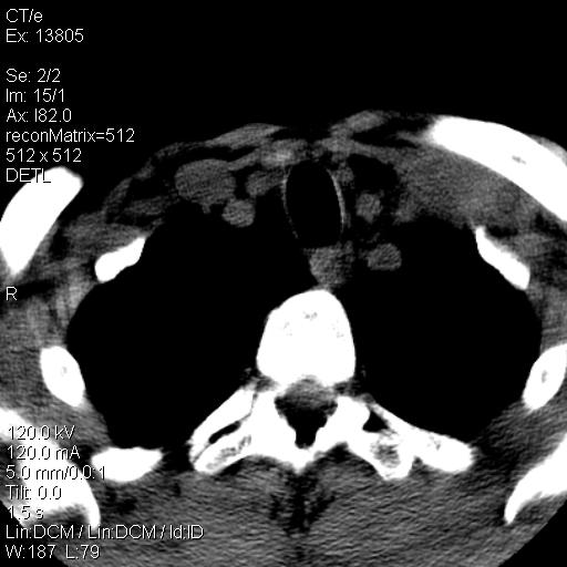
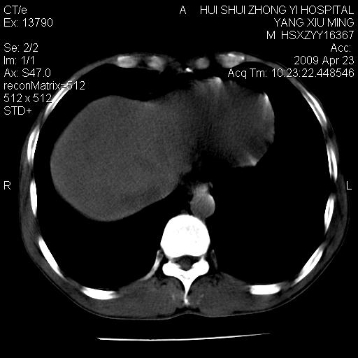
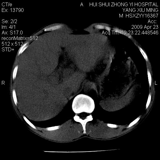
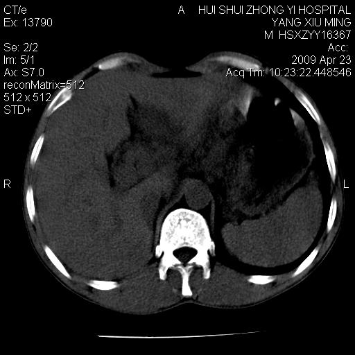
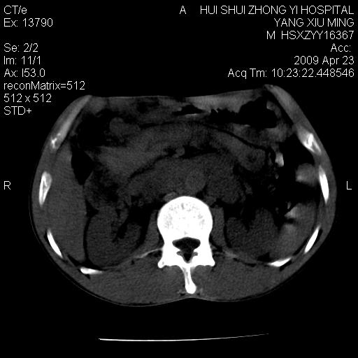
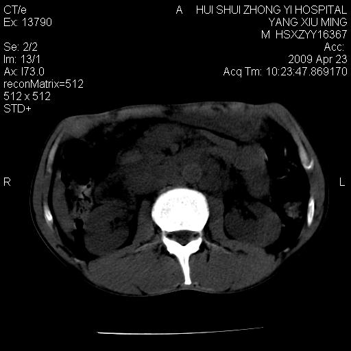
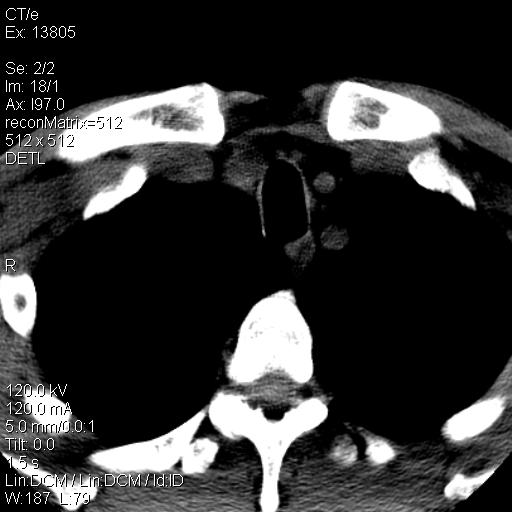
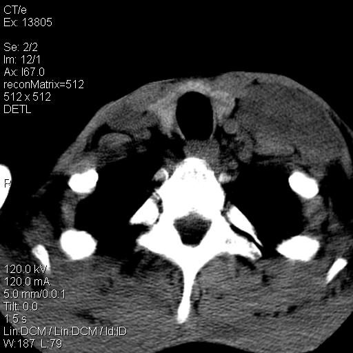
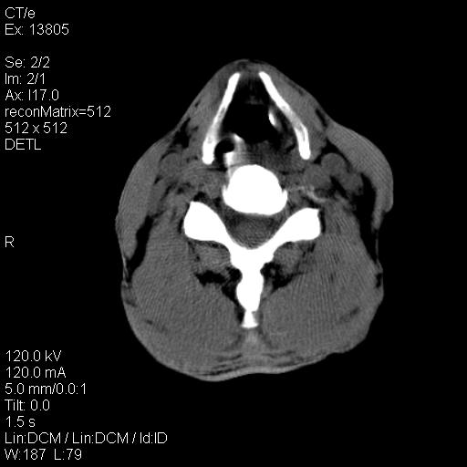
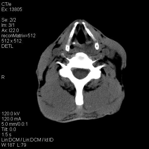
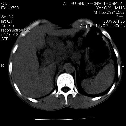
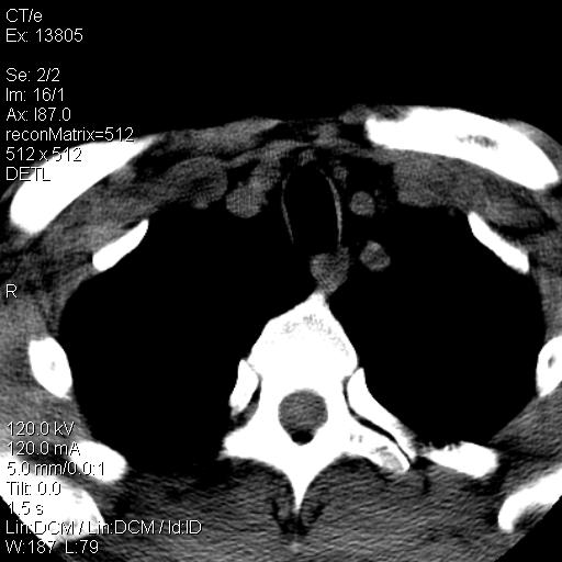
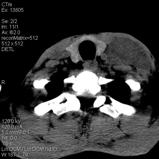
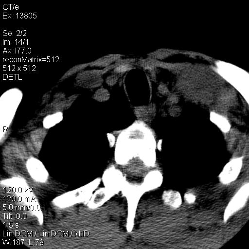
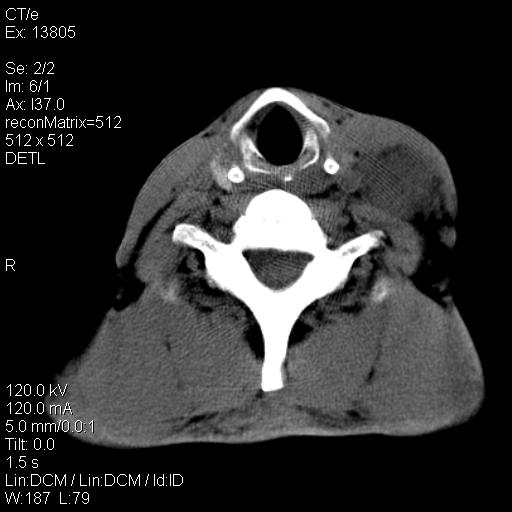
上腹部疼痛一月,呕吐10天,发现左侧颈部包快10天 胸部cr片未见明显异常。










































[本贴已被 jiajie 于 2009-4-23 21:34:46 修改过]

作者: 随光逐影    时间: 2009-4-24 05:22
考虑淋巴瘤可能性大,不排除转移瘤。
作者: 看图说话    时间: 2009-4-24 05:27
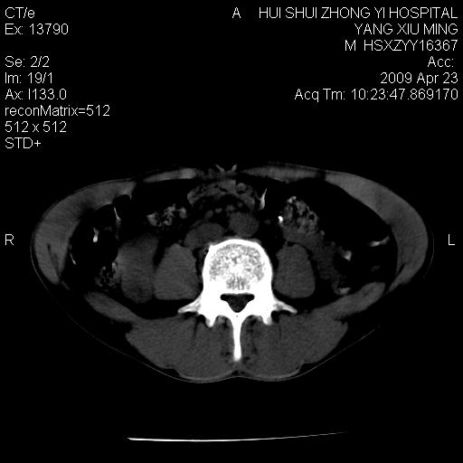
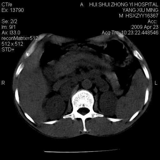
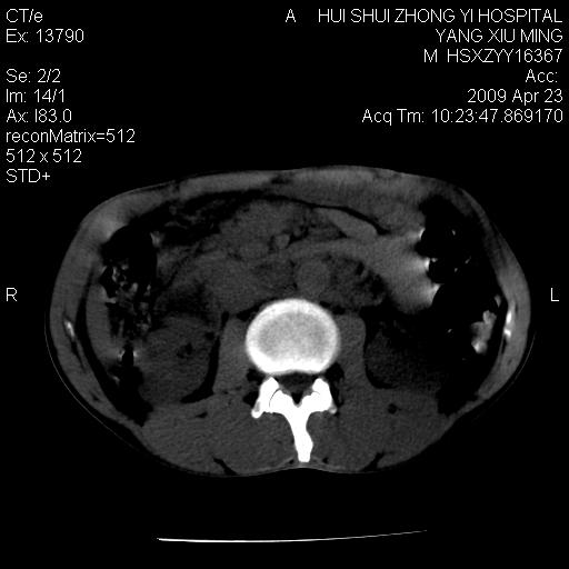
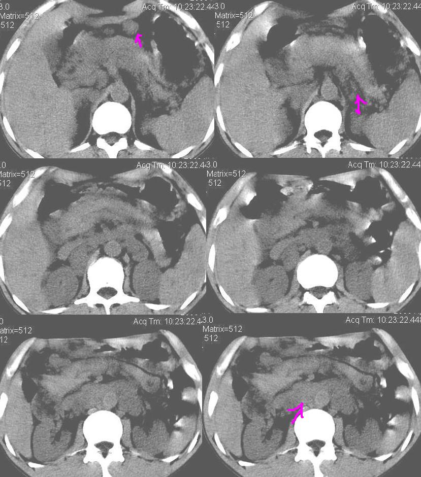
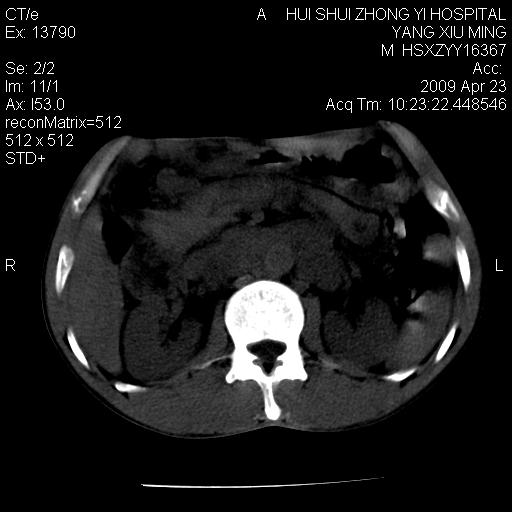
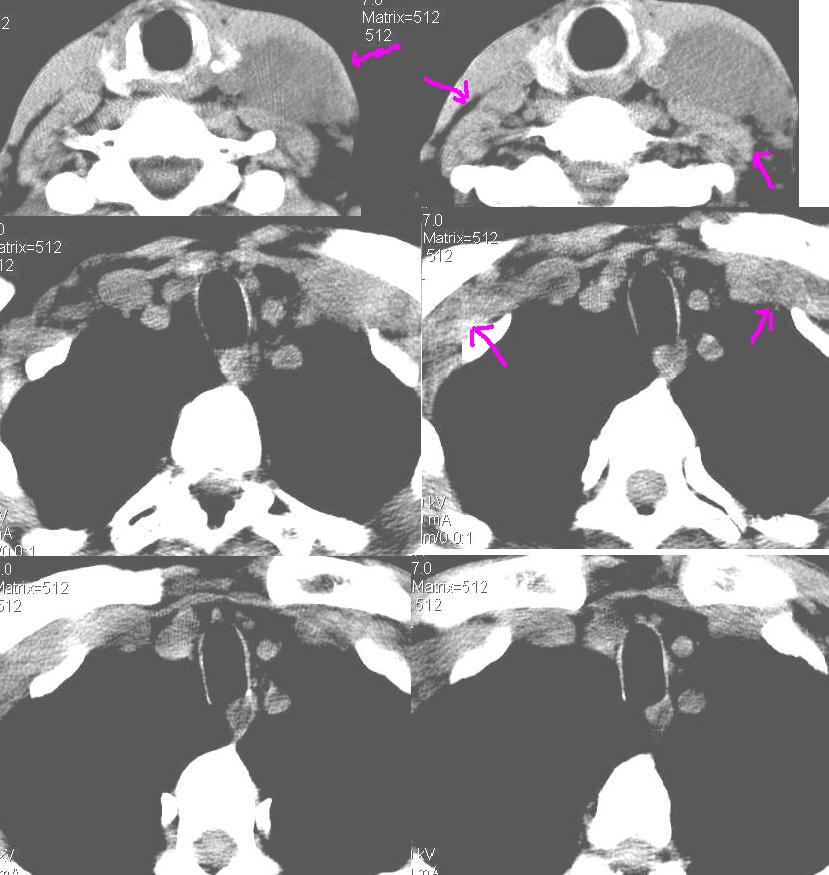
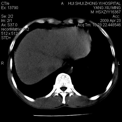
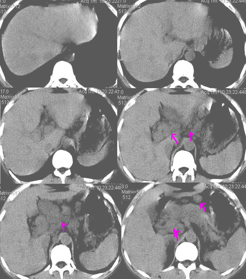
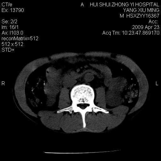
腹膜后淋巴结增大,转移、淋巴瘤?胰腺增大,胰腺炎?占位?颈部考虑增大淋巴结。建议腹部增强扫描。
图像黑了点!
作者: 泪洒红尘    时间: 2009-4-24 05:47
左侧胸锁乳突肌下方、颈血管旁低密度肿块影,肿块密度尚均匀,边缘大部分清楚,邻近组织稍受压移位。考虑颈部神经鞘瘤可能性大。
作者: panyishengct    时间: 2009-4-24 06:02
考虑淋巴瘤可能性大,不排除转移瘤。
作者: 水蓝色的    时间: 2009-4-24 07:04
支持5楼。
作者: 影像孺子牛    时间: 2009-4-24 07:20
支持:
    淋巴瘤可能性大,不排除转移瘤。
作者: 打工仔    时间: 2009-4-24 07:29
同上
作者: 卜一    时间: 2009-4-24 12:11
支持:
    淋巴瘤可能性大,不排除转移瘤。
作者: zsl6918    时间: 2009-4-24 14:30
缺少强化资料,暂考虑胰腺癌广泛转移.
作者: 杀毒软件    时间: 2009-4-24 15:06
增强看看,是不是胰腺的问题导致的
作者: 王显瑞    时间: 2009-4-24 16:08
淋巴瘤可能性大,不排除转移瘤。
作者: aka502    时间: 2009-4-24 16:28
考虑淋巴瘤可能性大,不排除转移瘤。
作者: 深泽交通    时间: 2009-4-24 16:39
标题: 回复:ct19558:男 43 请各老师会诊
以下是引用随光逐影在2009-4-23 21:22:00的发言:[br]考虑淋巴瘤可能性大,不排除转移瘤。

作者: 影像之路    时间: 2009-4-24 16:46
连最基本的ct值都没有测        腹部的窗宽窗位太大了     影响诊断
作者: huqi8888    时间: 2009-4-24 16:55
考虑淋巴瘤可能性大,不排除转移瘤。
作者: ydx_74    时间: 2009-4-24 17:36
标题: 回复:ct19558:男 43 请各老师会诊
黑!广泛淋巴结肿大不符合胰腺癌转移。胰腺周围淋巴结肿大致使胰腺看起来大。考虑淋巴瘤可能大。


作者: zjzjr    时间: 2009-4-24 18:08
考虑淋巴瘤可能性大,不排除转移瘤。
作者: 51736011    时间: 2009-4-24 18:16
颈部及腹膜后淋巴瘤可能性大
作者: xiaoguang    时间: 2009-4-24 18:55
考虑淋巴瘤
作者: 晓杰    时间: 2009-4-24 19:22
考虑1、淋巴瘤2、转移瘤
作者: 康鹏    时间: 2009-4-24 19:58
建议做个加强的ct扫描
考虑1.淋巴瘤
    2.转移瘤
作者: 黑白光影    时间: 2009-4-24 23:34
淋巴瘤可能性大,不排除转移瘤。支持
作者: LIAOQIANG    时间: 2009-4-25 00:50
考虑淋巴瘤可能性大,不排除转移瘤。支持!




欢迎光临 医影在线 (http://bbs.radida.com/bbs/) Powered by Discuz! X3.2