医影在线

标题: 男,65岁,反复右上腹痛, [打印本页]

作者: lanrenlaile    时间: 2009-4-24 22:12
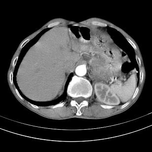
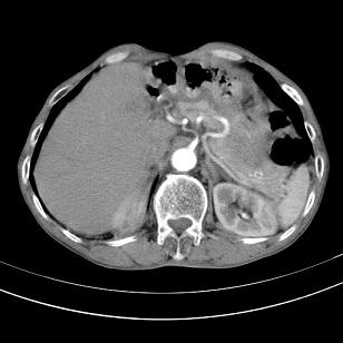
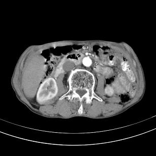
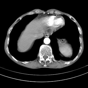
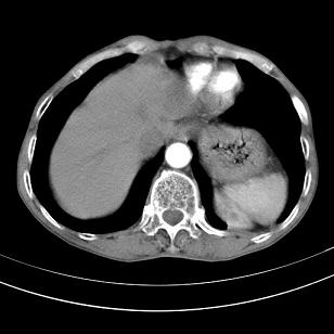
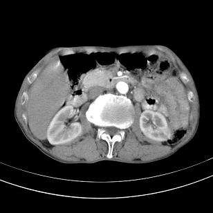
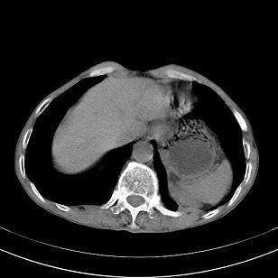
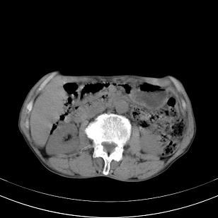
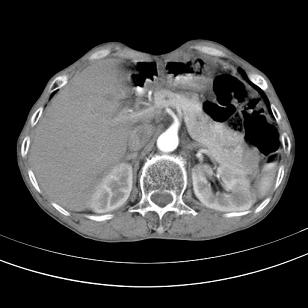
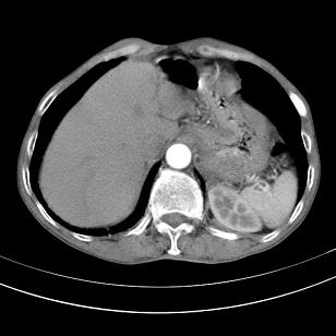
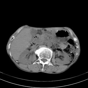
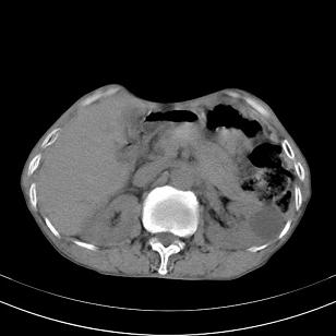
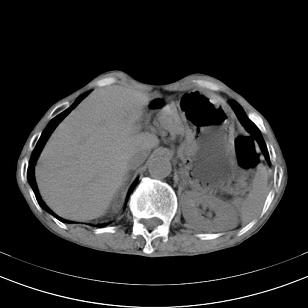
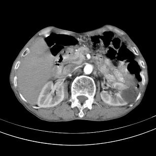
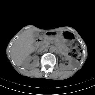
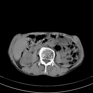
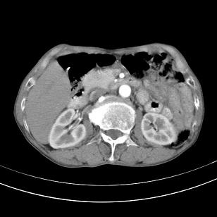
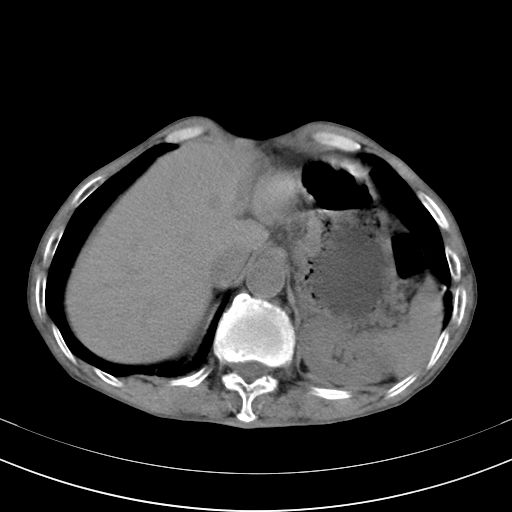
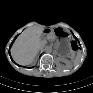
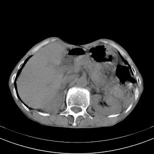
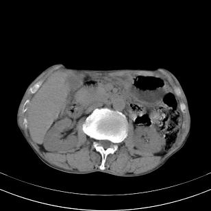
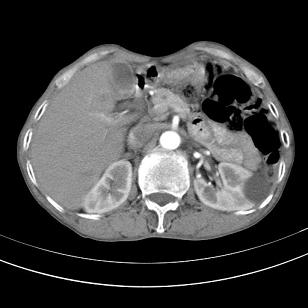
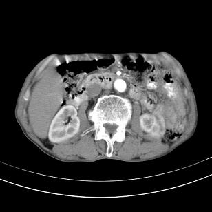
标题: 男,65岁,反复右上腹痛,
胃镜提示十二指肠占位
































欢迎光临 医影在线 (http://bbs.radida.com/bbs/) Powered by Discuz! X3.2