医影在线

标题: CT19570:是否为腰脱? [打印本页]

作者: frzh    时间: 2009-4-24 22:26
标题: CT19570:是否为腰脱?
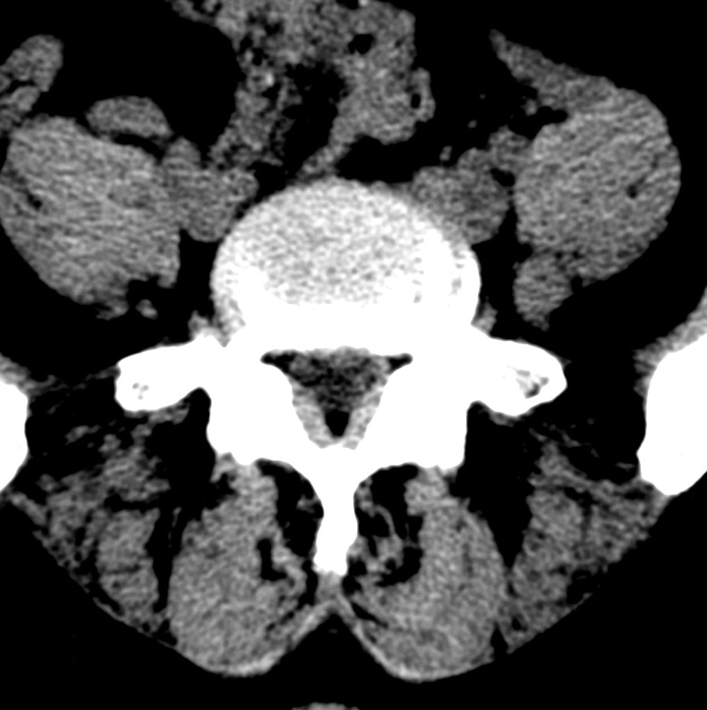
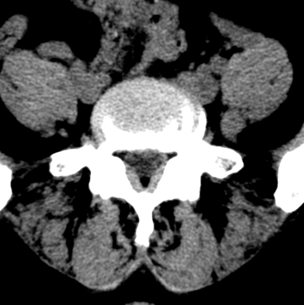
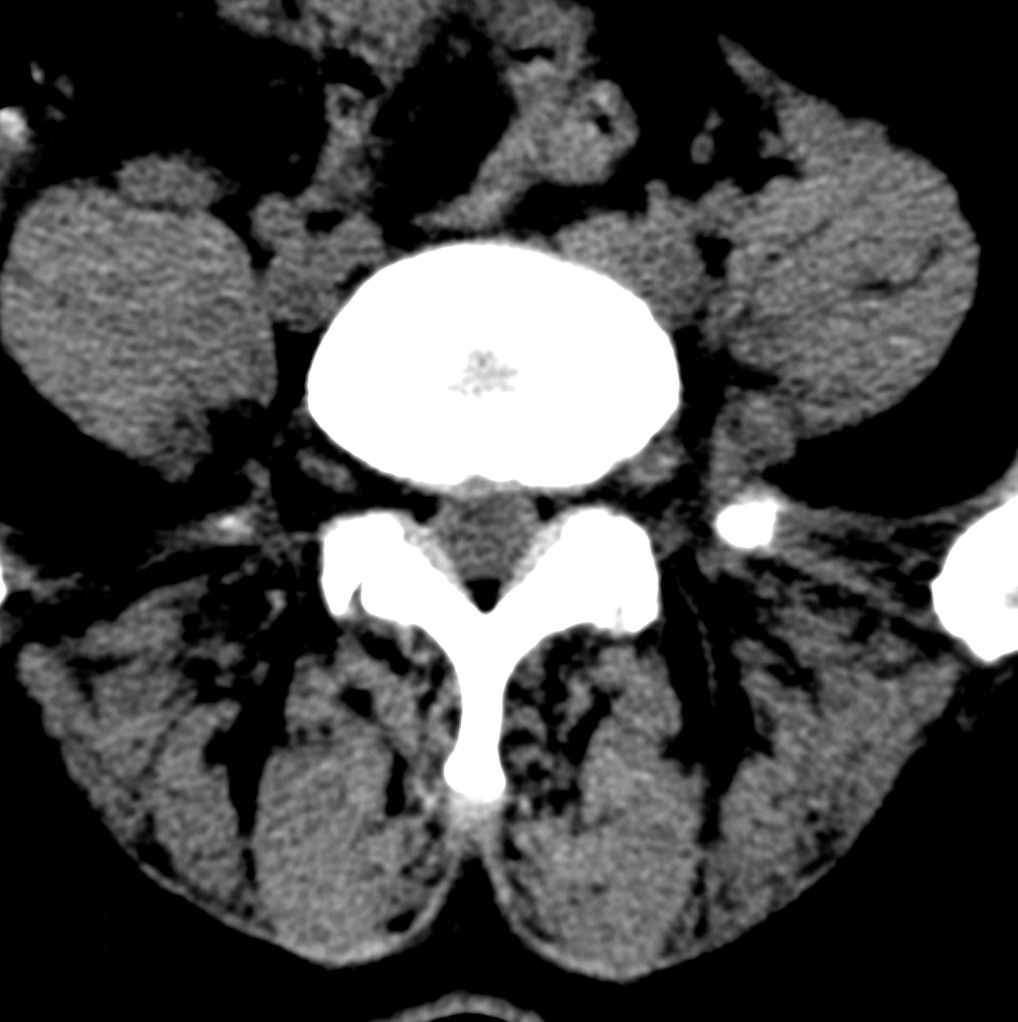
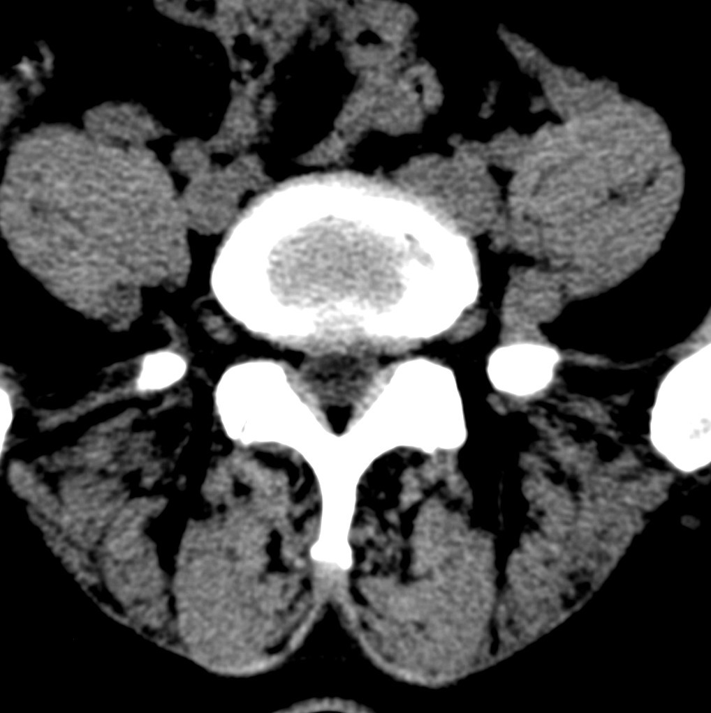
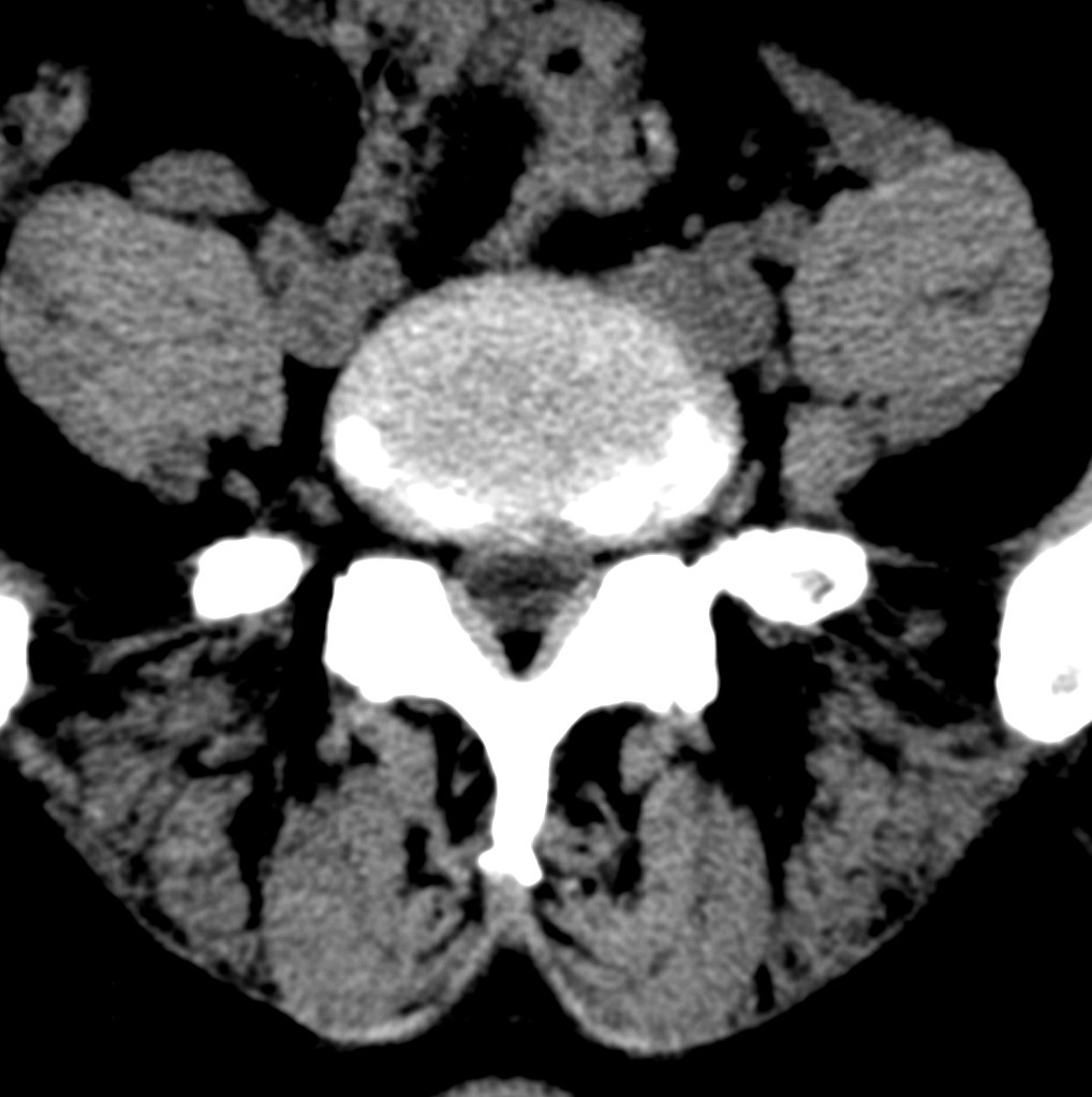
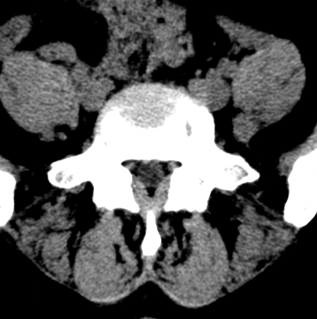
可以定腰脱否?









[本贴已被 jiajie 于 2009-4-24 18:42:54 修改过]

作者: 深泽交通    时间: 2009-4-24 22:37
大于椎体的环状软组织影,椎间盘膨出
作者: 余辉    时间: 2009-4-24 22:42
椎间盘膨出伴突出
作者: 黑白光影    时间: 2009-4-24 23:06
支持间盘膨出伴突出。
作者: ydx_74    时间: 2009-4-24 23:09
突非膨
作者: xizhong    时间: 2009-4-24 23:12
双边征,考虑滑脱。
作者: zjh196425    时间: 2009-4-24 23:12
正常的啊!
杂有问题。
作者: 肖龙    时间: 2009-4-24 23:19
椎间盘突出
作者: zjzjr    时间: 2009-4-24 23:23
支持间盘膨出伴突出。
作者: LIAOQIANG    时间: 2009-4-24 23:41
腰脱证据不足。
作者: 同    时间: 2009-4-25 01:44
支持 椎间盘膨出伴突出。
作者: jiangguowu    时间: 2009-4-25 02:07
椎间盘突出
作者: 老爱克斯    时间: 2009-4-25 03:01
标题: 回复:ct19570:是否为腰脱?
以下是引用ydx_74在2009-4-24 15:09:00的发言:[br]突非膨

       支持
作者: gule    时间: 2009-4-25 03:04
椎间盘膨出伴突出!
作者: 张XYZ    时间: 2009-4-25 03:06
椎间盘突出,
作者: jiangjing    时间: 2009-4-25 03:11
椎间盘突出
作者: 随光逐影    时间: 2009-4-25 03:13
支持 腰椎间盘膨出并突出。
作者: chinanyd    时间: 2009-4-25 03:22
椎间盘改变并不是很明显,黄韧带似乎有肥厚,
作者: 黄毛小子    时间: 2009-4-25 03:48
支持突出
作者: yuhongjun    时间: 2009-4-25 14:35
椎间盘膨出伴突出
作者: 杀毒软件    时间: 2009-4-26 02:35
标题: 回复:ct19570:是否为腰脱?
以下是引用余辉在2009-4-24 14:42:00的发言:[br]椎间盘膨出伴突出

支持




欢迎光临 医影在线 (http://bbs.radida.com/bbs/) Powered by Discuz! X3.2