

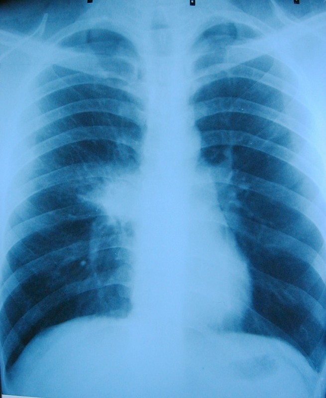
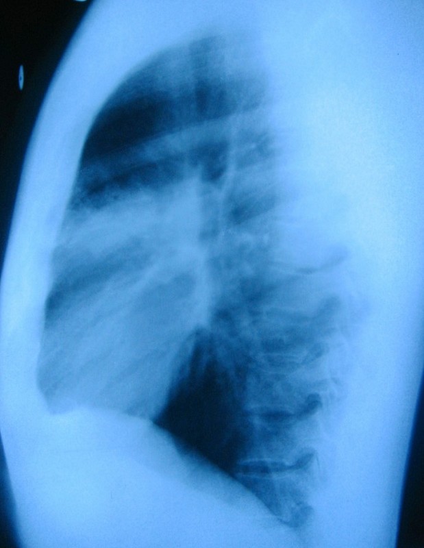
以下是引用谨言慎行在2009-4-24 16:23:00的发言:[br]考虑右肺前段肺炎。治疗14天复查。必要查ct除外占位性病变。
以下是引用随光逐影在2009-4-24 19:40:00的发言:[br]考虑右肺上叶前段肺炎。建议:1)正规抗炎治疗后复查。2)必要时行ct扫描检查排除肿瘤性病变。
以下是引用随光逐影在2009-4-24 19:40:00的发言:[br]考虑右肺上叶前段肺炎。建议:1)正规抗炎治疗后复查。2)必要时行ct扫描检查排除肿瘤性病变。
以下是引用随光逐影在2009-4-24 19:40:00的发言:[br]考虑右肺上叶前段肺炎。建议:1)正规抗炎治疗后复查。2)必要时行ct扫描检查排除肿瘤性病变。
| 欢迎光临 医影在线 (http://bbs.radida.com/bbs/) | Powered by Discuz! X3.2 |