医影在线

标题: CT19577:胸12椎体病变,请同行会诊。 [打印本页]

作者: qxwsq    时间: 2009-4-25 03:09
标题: CT19577:胸12椎体病变,请同行会诊。
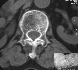
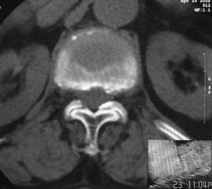
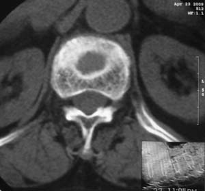
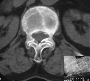
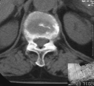
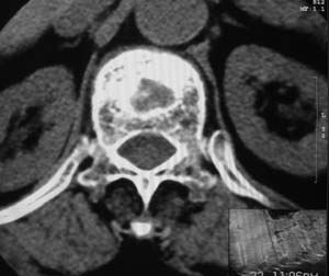
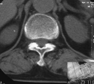
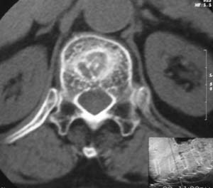
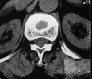
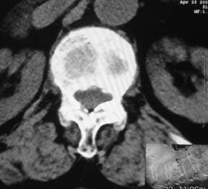
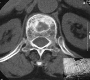
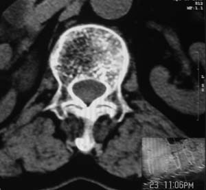
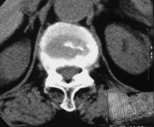
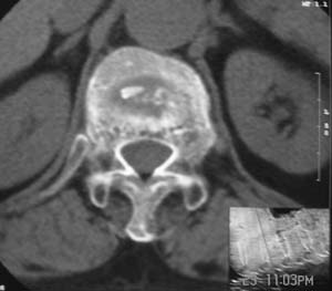
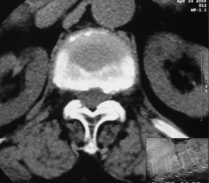
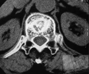
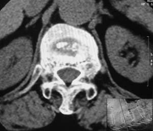
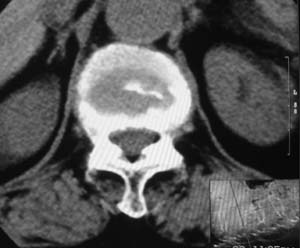
患者,女,72岁,胸背部疼痛3月余,无明显外伤史。曾应用局部封闭、非甾体类止痛药治疗效果不明显,近来疼痛缓解频感背困,平卧缓解,近日行ct检查发现胸12椎体病变,烦请同道发表意见,诊断什么?有何治疗经验!谢谢!!!























[本贴已被 jiajie 于 2009-4-24 20:37:31 修改过]

作者: 形影不离    时间: 2009-4-25 03:13
1.考虑为:t12椎体陈旧性压缩性骨折。2.t12椎体下部“许莫氏”结节。
作者: 随光逐影    时间: 2009-4-25 03:34
支持2楼意见。
作者: chinanyd    时间: 2009-4-25 03:34
脖子看歪了。考虑许莫氏结节伴退行性改变
作者: 黄毛小子    时间: 2009-4-25 03:36
zhichi支持楼上
作者: zsh0009    时间: 2009-4-25 03:52
支持2楼意见
作者: 余辉    时间: 2009-4-25 03:52
支持2楼意见
作者: 光影★小胖    时间: 2009-4-25 03:57
支持!
作者: 同    时间: 2009-4-25 04:42
标题: 回复:ct19577:胸12椎体病变,请同行会诊。
以下是引用形影不离在2009-4-24 19:13:00的发言:[br]1.考虑为:t12椎体陈旧性压缩性骨折。2.t12椎体下部“许莫氏”结节。

作者: 奥特之父    时间: 2009-4-25 04:47
胸12椎体压缩性骨折并退行性改变.
作者: anganglin    时间: 2009-4-25 04:47
t12、l1椎体楔形变。老年骨质疏松症。
作者: 泪洒红尘    时间: 2009-4-25 05:21
支持2楼意见
作者: liu.hui.yang    时间: 2009-4-25 05:22
标题: 回复:ct19577:胸12椎体病变,请同行会诊。
以下是引用chinanyd在2009-4-24 19:34:00的发言:[br]脖子看歪了。考虑许莫氏结节伴退行性改变

作者: gule    时间: 2009-4-25 05:42
1.考虑为:t12椎体陈旧性压缩性骨折。2.t12椎体下部“许莫氏”结节。  支持!
作者: liuyue    时间: 2009-4-25 06:59
标绘图示:第十二胸椎级第一腰椎椎体楔形改变。ct扫描示:第十二胸椎椎体骨质结构紊乱,并可见一囊状低密度影,边缘可见硬化,椎体皮质完整。
考虑:第十二胸椎陈旧性骨折、许莫氏结节。
作者: 宇宙CT    时间: 2009-4-25 07:50
支持2楼意见
作者: ct诊断高手    时间: 2009-4-25 08:31
支持!
作者: yuhongjun    时间: 2009-4-25 14:03
1.考虑为:t12椎体陈旧性压缩性骨折。2.t12椎体下部“许莫氏”结节。
作者: 杀毒软件    时间: 2009-4-26 02:40
支持!
作者: 黑白光影    时间: 2009-4-26 04:48
支持大家
作者: LIAOQIANG    时间: 2009-4-26 05:38
1.考虑为:t12椎体陈旧性压缩性骨折。2.t12椎体下部“许莫氏”结节。支持




欢迎光临 医影在线 (http://bbs.radida.com/bbs/) Powered by Discuz! X3.2