医影在线
标题: CT19580:转移性右下腹痛 [打印本页]
作者: 泪洒红尘 时间: 2009-4-25 04:57
标题: CT19580:转移性右下腹痛
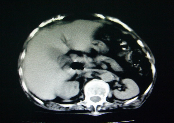
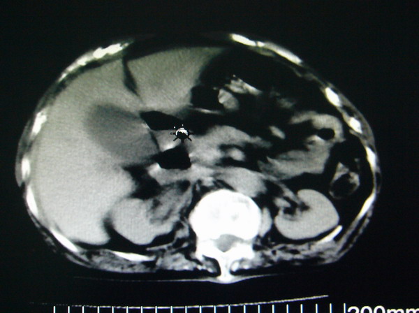
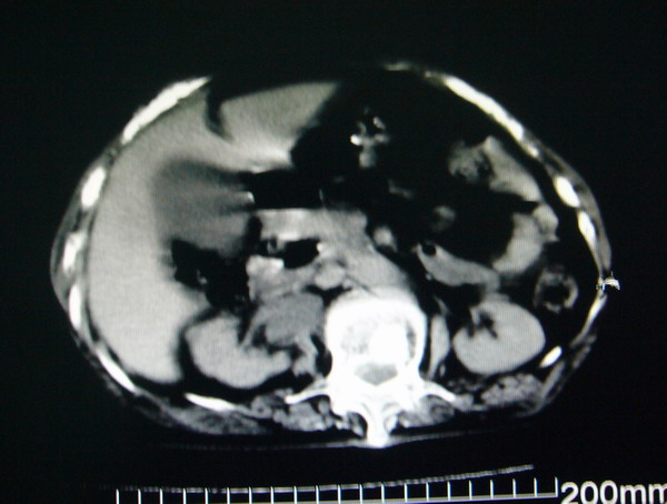
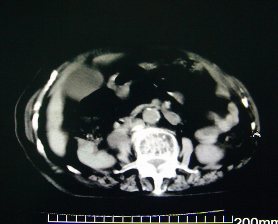
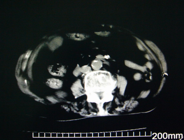
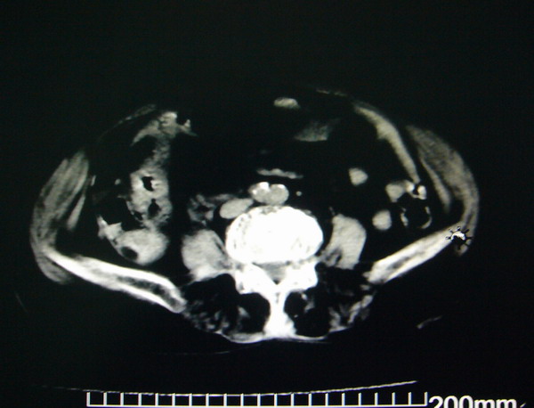
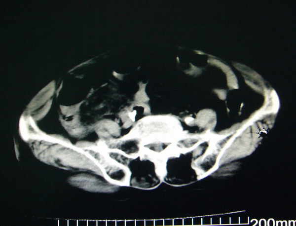
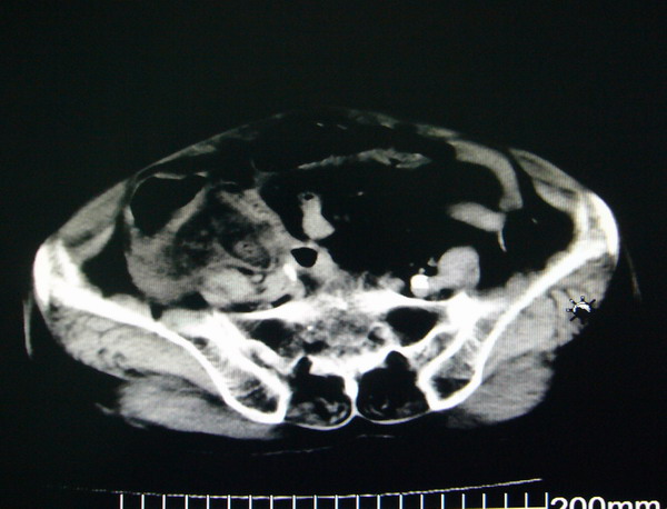
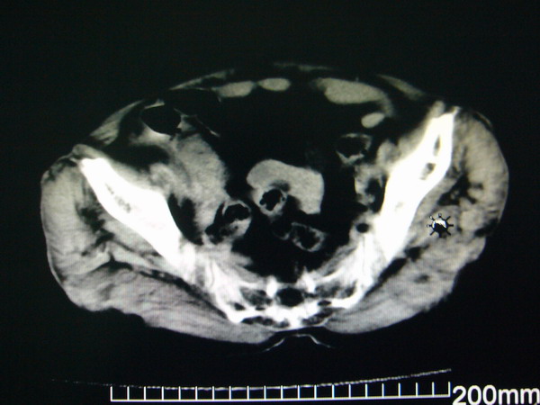
女:83y,转移性右下腹痛2小时,白细胞计数增高。




















[本贴已被 泪洒红尘 于 2009-4-24 20:59:09 修改过]
[本贴已被 jiajie 于 2009-4-25 21:49:16 修改过]
作者: 泪洒红尘 时间: 2009-4-25 05:06
标题: 1

[本贴已被 泪洒红尘 于 2009-4-24 21:07:00 修改过]
作者: huangxun4321 时间: 2009-4-25 06:17
腹膜后病灶,考虑腰大肌脓肿可能性大,建议增强扫描.
作者: liuyue 时间: 2009-4-25 06:46
1.右侧肾盂扩大,肾盏无扩张,考虑:先天性肾盂变异可能性大。
2.胆囊扩张,考虑:胆囊炎。
3.阑尾区域可见以结节样高密度影,结合病史,考虑:阑尾结石,阑尾炎。
作者: ct诊断高手 时间: 2009-4-25 08:33
标题: 回复:转移性右下腹痛
以下是引用liuyue在2009-4-24 22:46:00的发言:[br]1.右侧肾盂扩大,肾盏无扩张,考虑:先天性肾盂变异可能性大。[br]2.胆囊扩张,考虑:胆囊炎。[br]3.阑尾区域可见以结节样高密度影,结合病史,考虑:阑尾结石,阑尾炎。
作者: yuhongjun 时间: 2009-4-25 14:01
标题: 回复:转移性右下腹痛
以下是引用liuyue在2009-4-24 22:46:00的发言:[br]1.右侧肾盂扩大,肾盏无扩张,考虑:先天性肾盂变异可能性大。[br]2.胆囊扩张,考虑:胆囊炎。[br]3.阑尾区域可见以结节样高密度影,结合病史,考虑:阑尾结石,阑尾炎。
作者: 随光逐影 时间: 2009-4-25 16:09
标题: 回复:转移性右下腹痛
以下是引用liuyue在2009-4-24 22:46:00的发言:[br]1.右侧肾盂扩大,肾盏无扩张,考虑:先天性肾盂变异可能性大。[br]2.胆囊扩张,考虑:胆囊炎。[br]3.阑尾区域可见以结节样高密度影,结合病史,考虑:阑尾结石,阑尾炎。
作者: 一个人 时间: 2009-4-25 17:40
以下是引用liuyue在2009-4-24 22:46:00的发言:
1.右侧肾盂扩大,肾盏无扩张,考虑:先天性肾盂变异可能性大。
2.胆囊扩张,考虑:胆囊炎。
3.阑尾区域可见以结节样高密度影,结合病史,考虑:阑尾结石,阑尾炎。
作者: 余辉 时间: 2009-4-25 17:47
右下腹肠系膜增厚,结合病史支持阑尾炎.
右侧壶腹型肾盂可能,建议输路造影或增强
作者: songyi 时间: 2009-4-25 18:42
以下是引用liuyue在2009-4-24 22:46:00的发言:
1.右侧肾盂扩大,肾盏无扩张,考虑:先天性肾盂变异可能性大。
2.胆囊扩张,考虑:胆囊炎。
3.阑尾区域可见以结节样高密度影,结合病史,考虑:阑尾结石,阑尾炎。
作者: jiangjing 时间: 2009-4-25 19:06
1.右侧肾盂扩大,肾盏无扩张,考虑:先天性肾盂变异可能性大。
2.胆囊扩张,考虑:胆囊炎。
3.阑尾区域可见以结节样高密度影,结合病史,考虑:阑尾结石,阑尾炎。
作者: 杀毒软件 时间: 2009-4-26 03:04
标题: 回复:转移性右下腹痛
以下是引用余辉在2009-4-25 9:47:00的发言:[br]右下腹肠系膜增厚,结合病史支持阑尾炎.[br]右侧壶腹型肾盂可能,建议输路造影或增强
支持
作者: gule 时间: 2009-4-26 04:00
1.右侧肾盂扩大,考虑先天性肾盂变异或肾盂旁囊肿。
2.胆囊扩张,考虑胆囊炎。
3.阑尾区域可见结节样高密度影,结合病史考虑:阑尾结石、阑尾炎。
作者: 黑白光影 时间: 2009-4-26 05:00
1.右侧肾盂扩大,肾盏无扩张,考虑:先天性肾盂变异可能性大。
2.胆囊扩张,考虑:胆囊炎。
3.阑尾区域可见以结节样高密度影,结合病史,考虑:阑尾结石,阑尾炎。
支持
作者: LIAOQIANG 时间: 2009-4-26 05:15
1阑尾区域可见以结节样高密度影,结合病史,考虑:阑尾炎。2右侧肾盂旁影,考虑:肾盂正常变异可能性大。
作者: 泪洒红尘 时间: 2009-4-26 06:05
学习了,谢谢大家。
| 欢迎光临 医影在线 (http://bbs.radida.com/bbs/) |
Powered by Discuz! X3.2 |