
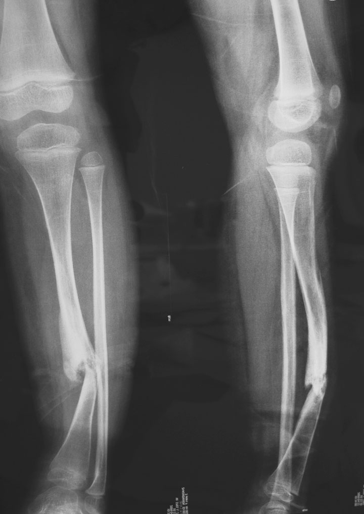
以下是引用余辉在2009-4-25 8:54:00的发言:[br]胫骨中下三分之一交界区骨结构不连续,断端成角,骨质硬化,结合病史支持先天性胫骨假关节
以下是引用jfl19591015在2009-4-25 14:18:00的发言:[br]像陈旧性骨折畸形愈合,形成假关节.但也不除外先天性胫骨假关节可能.
以下是引用jiangjing在2009-4-25 11:14:00的发言:[br]胫骨中下三分之一交界区骨结构不连续,断端成角,骨质硬化,结合病史支持先天性胫骨假关节
以下是引用余辉在2009-4-25 8:54:00的发言:[br]胫骨中下三分之一交界区骨结构不连续,断端成角,骨质硬化,结合病史支持先天性胫骨假关节
以下是引用拾荒者在2009-4-26 22:21:00的发言:[br]胫骨前弓状变形,中下1/3处骨质不连续,远端骨吸收呈笔尖样改变,局部骨皮质增厚,结合病史支持先天性胫骨假关节。谢谢11楼的精彩点评!
| 欢迎光临 医影在线 (http://bbs.radida.com/bbs/) | Powered by Discuz! X3.2 |