








以下是引用边生丽在2009-4-25 11:55:00的发言:[br][br] [br] 考虑脑膜瘤可能性大;建议行进一步检查。 [br] [br] [br]
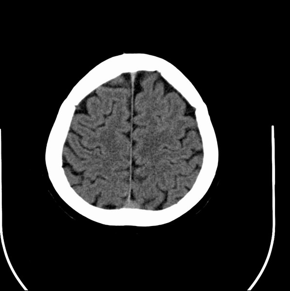
以下是引用hmyj9在2009-4-25 14:21:00的发言:[br]病灶紧贴颅板处,中心高密度周围见软组织密度,局部颅板有增生,支持脑膜瘤诊断,建议增强。
以下是引用余辉在2009-4-25 10:34:00的发言:[br]上矢状窦旁软组织肿块,内有钙化,与上矢状窦边界不清,灶后颅骨内板骨质增生硬化,支持考虑脑膜瘤,建议增强
| 欢迎光临 医影在线 (http://bbs.radida.com/bbs/) | Powered by Discuz! X3.2 |