医影在线

标题: CT19587:急!!!!请老师们看一下 [打印本页]

作者: ranwei88    时间: 2009-4-25 18:50
标题: CT19587:急!!!!请老师们看一下
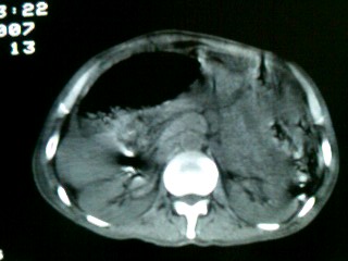
患者,男性,59岁,上腹部不适,反复发热,伴消瘦5个多月.医生查体上腹部包块待诊.辅助检查肝功正常,afp(-).





















[本贴已被 jiajie 于 2009-4-25 21:55:18 修改过]

作者: ranwei88    时间: 2009-4-25 18:51
都是些穷人,他们不愿意增强
作者: zxl51642    时间: 2009-4-25 20:00
1、图像不清楚,对比差,胃肠道未准备,屏气也不好。感觉肿块应定位于肝外,来源于右侧肾上腺或胃肠道间质瘤可能性大,巨块型肝癌(外生性)可能性小;
2、双侧胸腔积液。
作者: ranwei88    时间: 2009-4-25 20:27
标题: 回复:急!!!!请老师们看一下
老师是不是胰腺上的问题呢?
作者: ranwei88    时间: 2009-4-25 20:33
奇怪的是半个月前病人在我这里做过当时左肾前方没有异常的软组织肿快
作者: 余辉    时间: 2009-4-25 21:21
老爷机扫出来的,用老爷机一点要做好前准备,本例有双侧胸水,左肾前方肿块影,肠系膜浸润明显,腹部不适,发热,病程慢性,当怀疑肠结核,双侧胸水可能提示肺结核.
作者: hmyj9    时间: 2009-4-25 22:36
图像太差,扫描的机器该淘汰了,这样的图像影 响诊断的。
作者: 深泽交通    时间: 2009-4-25 22:39
看不清
作者: zjzjr    时间: 2009-4-25 23:10
双侧胸腔积液.左肾前方说不定就是肠内容物影,
作者: 随光逐影    时间: 2009-4-25 23:41
1)双侧胸腔积液。2)脾大。3)其他情况无法说清。
作者: 同    时间: 2009-4-26 00:32
标题: 回复:急!!!!请老师们看一下
以下是引用随光逐影在2009-4-25 15:41:00的发言:[br]1)双侧胸腔积液。2)脾大。3)其他情况无法说清。

作者: 杀毒软件    时间: 2009-4-26 02:22
标题: 回复:急!!!!请老师们看一下
以下是引用zjzjr在2009-4-25 15:10:00的发言:[br]双侧胸腔积液.左肾前方说不定就是肠内容物影,

支持
作者: 黄毛小子    时间: 2009-4-26 03:45
看不清
作者: 黑白光影    时间: 2009-4-26 05:15
1)双侧胸腔积液。2)脾大。3)其他情况无法说清。
作者: jiangguowu    时间: 2009-4-26 07:12
胰腺炎胸水伴腸梗阻




欢迎光临 医影在线 (http://bbs.radida.com/bbs/) Powered by Discuz! X3.2