医影在线
标题: CT19588:女性,39岁。患者胸闷不适,上楼时气喘。 [打印本页]
作者: sxlcbc 时间: 2009-4-25 20:08
标题: CT19588:女性,39岁。患者胸闷不适,上楼时气喘。
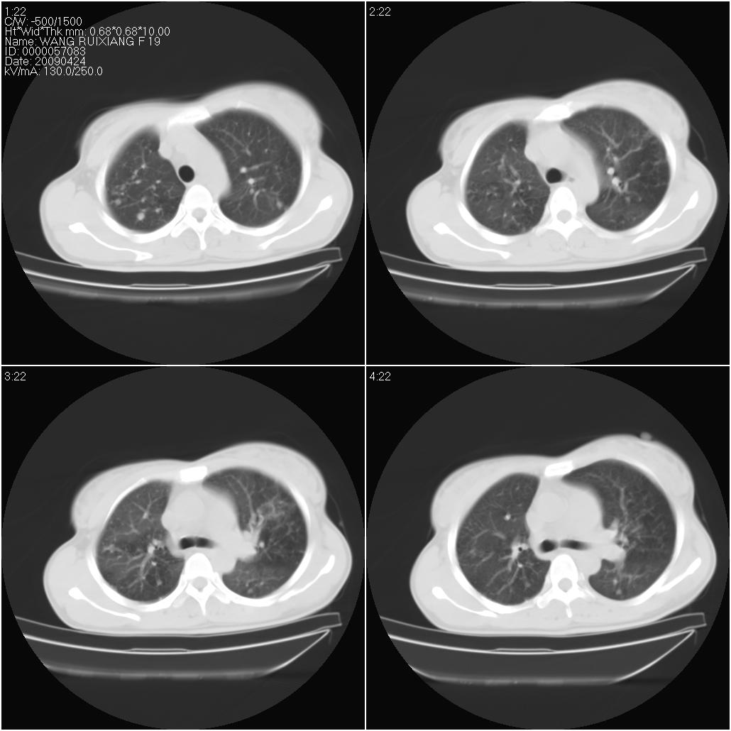
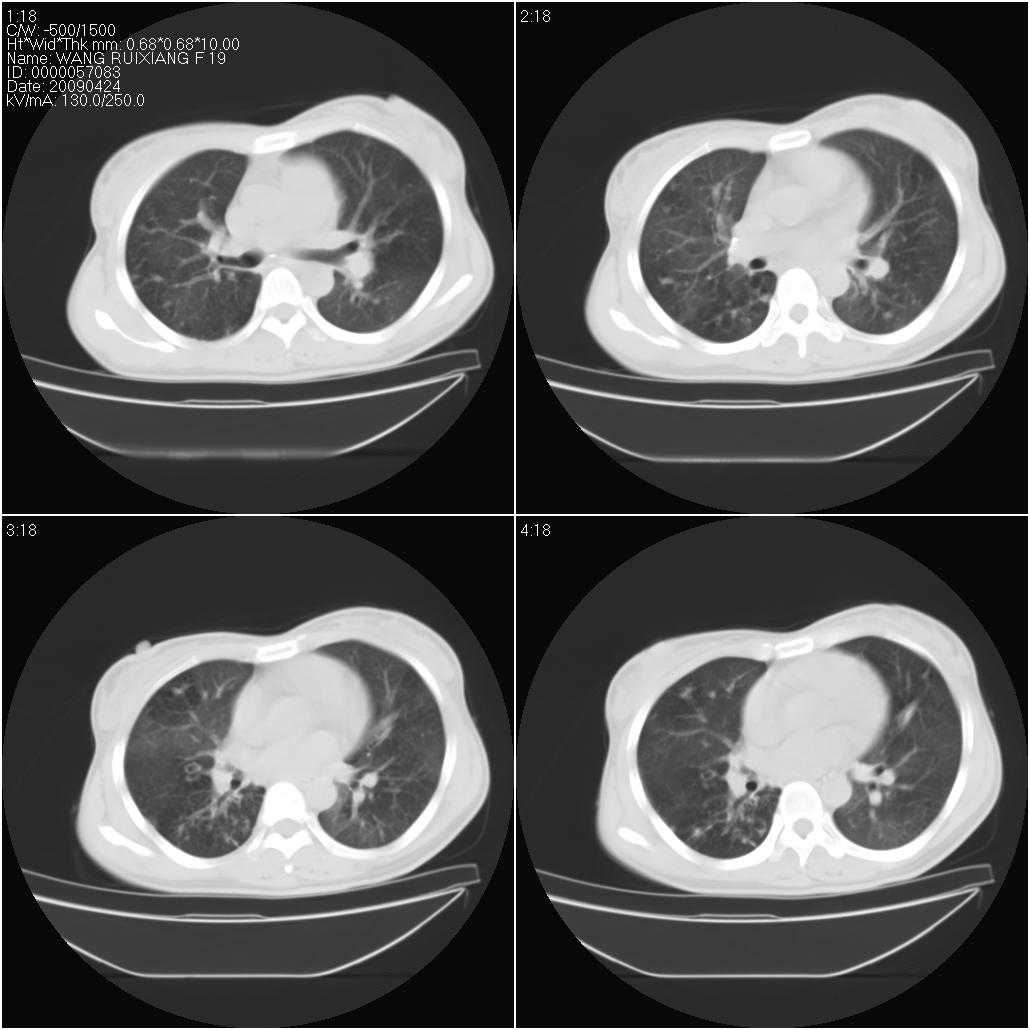
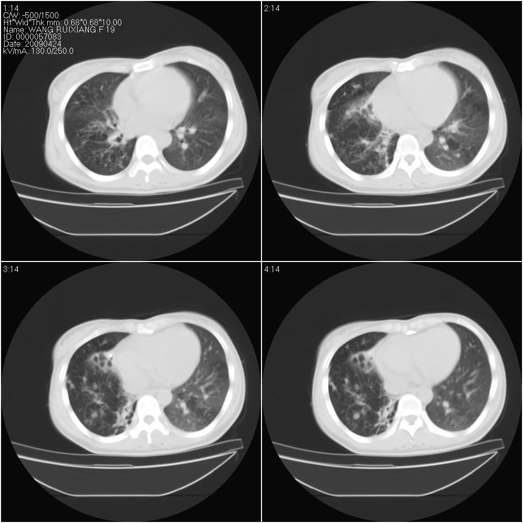
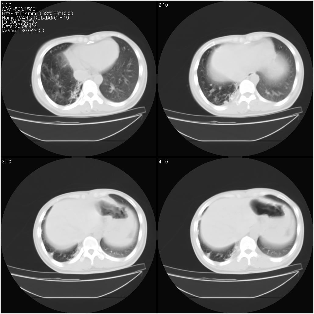
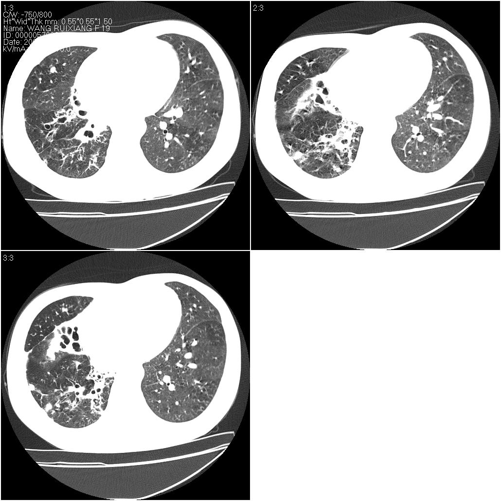
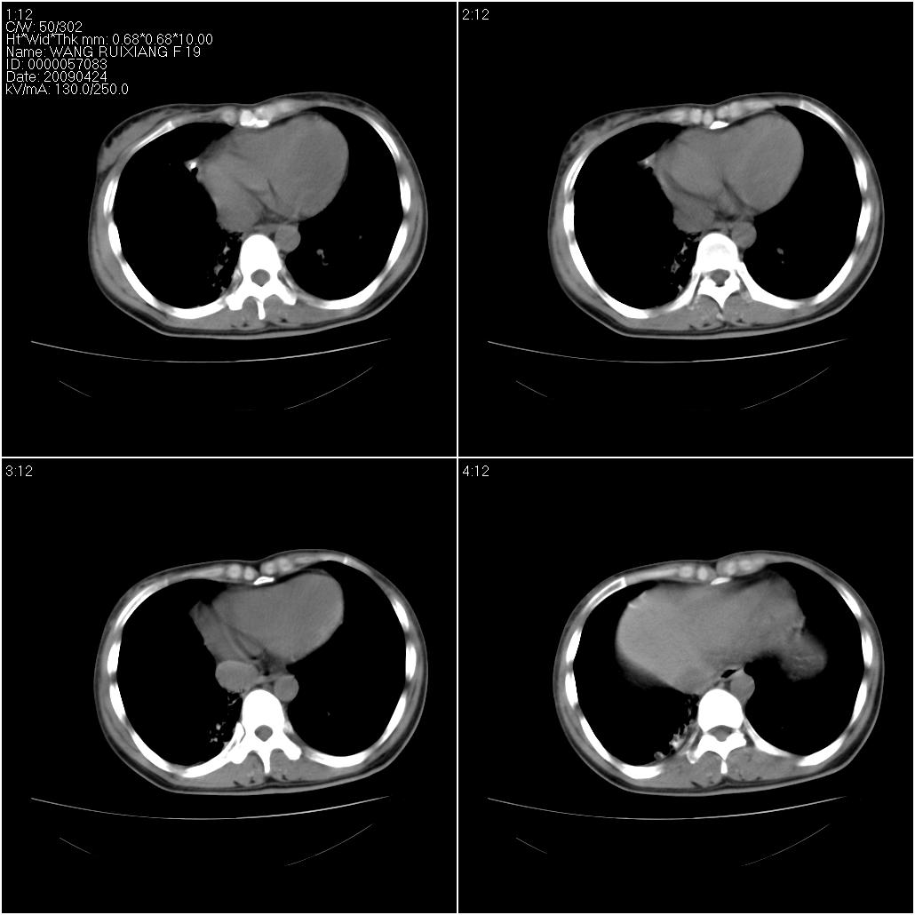
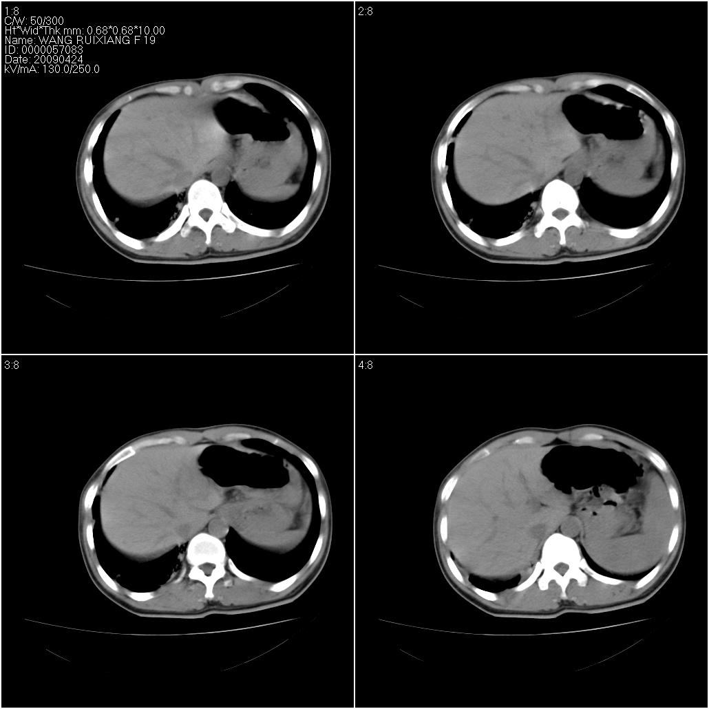
片子上的年龄为19岁,是操作错误。该患者于去年5月份曾做平片和ct扫描,和这一次的ct检查没有明显变化。当时诊断为肺结核,进行抗痨治疗至今,但没有改善。呼吸功能试验为混合型呼吸困难。除此之外,该患者没有其他方面没有的临床症状和体征












[本贴已被 jiajie 于 2009-4-25 21:55:34 修改过]
作者: 余辉 时间: 2009-4-25 21:16
考虑肺淋巴管腺肌病,其次考虑间质性肺炎\\肺间质纤维化及韦格氏肉芽肿等
作者: yhb 时间: 2009-4-25 21:25
肉芽肿性病变考虑
作者: hmyj9 时间: 2009-4-25 22:29
两肺见斑点片状阴影,部分病灶密度较高,右下肺见小囊状及柱状蜂窝状阴形,考虑为两肺结核以阵旧性为主,右下肺支扩。
作者: 04影像 时间: 2009-4-25 22:43
同意楼上的
作者: 深泽交通 时间: 2009-4-25 22:48
支扩拌感染
作者: zjzjr 时间: 2009-4-25 23:07
标题: 回复:女性,39岁。患者胸闷不适,上楼时气喘。
以下是引用hmyj9在2009-4-25 14:29:00的发言:[br]两肺见斑点片状阴影,部分病灶密度较高,右下肺见小囊状及柱状蜂窝状阴形,考虑为两肺结核以阵旧性为主,右下肺支扩。
作者: 随光逐影 时间: 2009-4-25 23:45
1)两肺继发性肺结核(以增殖病灶为主)。2)两肺下叶支气管扩张。
作者: 影像孺子牛 时间: 2009-4-26 00:05
支持:
1)两肺继发性肺结核(以增殖病灶为主)。
2)两肺下叶支气管扩张。
作者: bmw011 时间: 2009-4-26 00:32
支持:
1)两肺继发性肺结核(以增殖病灶为主)。
2)两肺下叶支气管扩张。
作者: 同 时间: 2009-4-26 00:34
支持 两肺结核,两肺下叶支气管扩张。
作者: 杀毒软件 时间: 2009-4-26 02:21
标题: 回复:女性,39岁。患者胸闷不适,上楼时气喘。
以下是引用随光逐影在2009-4-25 15:45:00的发言:[br]1)两肺继发性肺结核(以增殖病灶为主)。2)两肺下叶支气管扩张。
支持
作者: jihongwei 时间: 2009-4-26 02:50
eewwqq
作者: fanshl 时间: 2009-4-26 03:30
标题: 下边是一例不典型间质性肺炎的ct,大家看看和本例有什么

[本贴已被 fanshl 于 2009-4-25 19:31:24 修改过]
作者: gule 时间: 2009-4-26 03:40
支持:
1)两肺继发性肺结核(以增殖病灶为主)。
2)两下肺支气管扩张。
作者: 黄毛小子 时间: 2009-4-26 03:43
标题: 回复:女性,39岁。患者胸闷不适,上楼时气喘。
以下是引用hmyj9在2009-4-25 14:29:00的发言:[br]两肺见斑点片状阴影,部分病灶密度较高,右下肺见小囊状及柱状蜂窝状阴形,考虑为两肺结核以阵旧性为主,右下肺支扩。
作者: songyi 时间: 2009-4-26 03:44
1)两肺继发性肺结核(以增殖病灶为主)。2)两肺下叶支气管扩张。
作者: mg42mp44 时间: 2009-4-26 03:45
考虑肺淋巴管肌瘤病。
作者: LIAOQIANG 时间: 2009-4-26 04:43
考虑1)两肺继发性肺结核(以增殖病灶为主)。2)两肺下叶支气管扩张。
作者: 黑白光影 时间: 2009-4-26 05:19
1)两肺继发性肺结核(以增殖病灶为主)。2)两肺下叶支扩并感染。
作者: 水蓝色的 时间: 2009-4-26 06:03
结合病人年龄(特别是生育期妇女)及临床表现多考虑淋巴管肌瘤病。
作者: kh 时间: 2009-4-26 06:27
支扩拌感染
作者: jiangguowu 时间: 2009-4-26 07:02
间质炎伴肺气肿,支气管扩张
| 欢迎光临 医影在线 (http://bbs.radida.com/bbs/) |
Powered by Discuz! X3.2 |