医影在线

标题: CT19608:女12岁,左髋部疼痛,无发热病史 [打印本页]

作者: zgjldq    时间: 2009-4-27 00:15
标题: CT19608:女12岁,左髋部疼痛,无发热病史













[本贴已被 jiajie 于 2009-4-26 20:48:02 修改过]

作者: chinanyd    时间: 2009-4-27 00:33
为啥没有骨窗啊?初步考虑结核
作者: zsl6918    时间: 2009-4-27 00:35
建议骨窗观察,初步印象骨样骨瘤
作者: 余辉    时间: 2009-4-27 00:53
重复发的?还是没骨窗,考虑骨纤维异常增殖症可能
作者: ct诊断高手    时间: 2009-4-27 01:04
看不太清楚
作者: 深泽交通    时间: 2009-4-27 01:06
标题: 回复:患者,女12岁,左髋部疼痛,无发热病史
以下是引用余辉在2009-4-26 16:53:00的发言:[br]重复发的?还是没骨窗,考虑骨纤维异常增殖症可能

作者: shiqingfa    时间: 2009-4-27 01:14
骨窗呢
作者: 杀毒软件    时间: 2009-4-27 01:20
骨窗?
作者: gule    时间: 2009-4-27 03:28
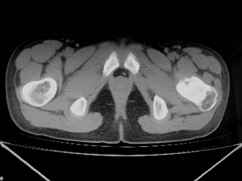
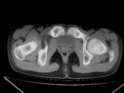
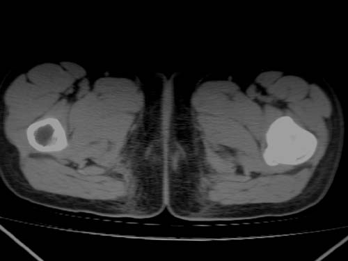
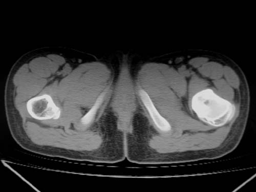
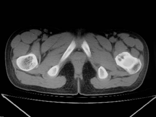
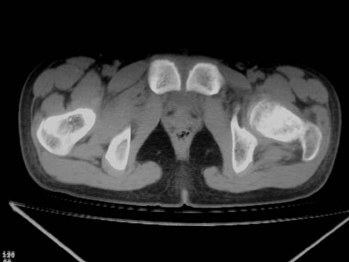
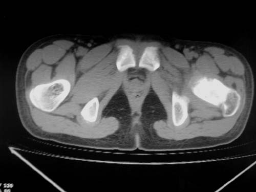
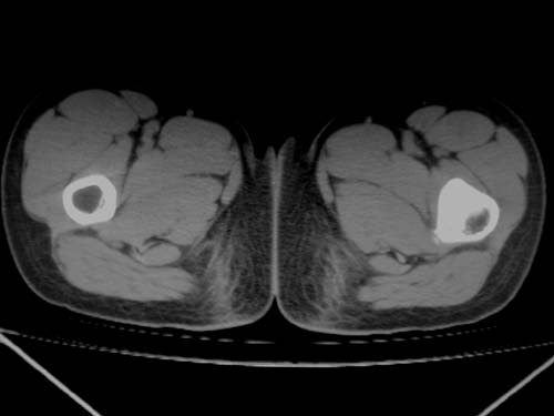
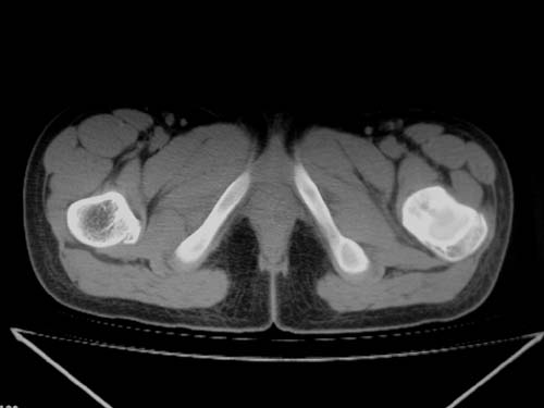
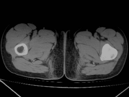
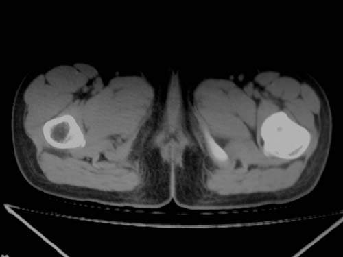
左股骨干增粗,磨玻璃样改变——考虑骨纤维异常增殖症!
作者: pujunzhi    时间: 2009-4-27 03:37
考虑骨纤维异常增殖症!
作者: 黄毛小子    时间: 2009-4-27 04:10
骨结核
作者: SUNBIN    时间: 2009-4-27 04:14
左股骨骨纤可能.
作者: liyf    时间: 2009-4-27 04:20
考虑骨纤.
作者: 卜一    时间: 2009-4-27 04:26
考虑骨纤维异常增殖症!  支持!
作者: 同    时间: 2009-4-27 04:39
标题: 回复:患者,女12岁,左髋部疼痛,无发热病史
以下是引用zsl6918在2009-4-26 16:35:00的发言:[br]建议骨窗观察,初步印象骨样骨瘤

作者: yangyang2000    时间: 2009-4-27 06:51
支持骨纤
作者: bmw011    时间: 2009-4-27 06:53
左股骨干增粗,磨玻璃样改变——考虑骨纤维异常增殖症!
作者: 随光逐影    时间: 2009-4-27 09:41
考虑左股骨上段骨纤维异常增殖症。
作者: 吴承学    时间: 2009-4-27 14:23
标题: 回复:ct19608:女12岁,左髋部疼痛,无发热病史
以下是引用杀毒软件在2009-4-26 17:20:00的发言:[br]骨窗?

作者: yuhongjun    时间: 2009-4-27 14:24
考虑骨纤维异常增殖症!  支持!
作者: 黑白光影    时间: 2009-4-28 06:28
考虑骨纤维异常增殖症
作者: baogan    时间: 2009-4-28 08:28
骨纤维异常增殖症诊断要点是什么?囊性多见
作者: yangyang2000    时间: 2009-5-10 18:09
支持骨纤
作者: 513ytb    时间: 2009-6-29 01:30
左股骨干增粗,磨玻璃样改变——考虑骨纤维异常增殖症!骨化性纤维瘤?




欢迎光临 医影在线 (http://bbs.radida.com/bbs/) Powered by Discuz! X3.2