医影在线

标题: CT19620:舌根肿物 [打印本页]

作者: frzh    时间: 2009-4-27 18:52
标题: CT19620:舌根肿物
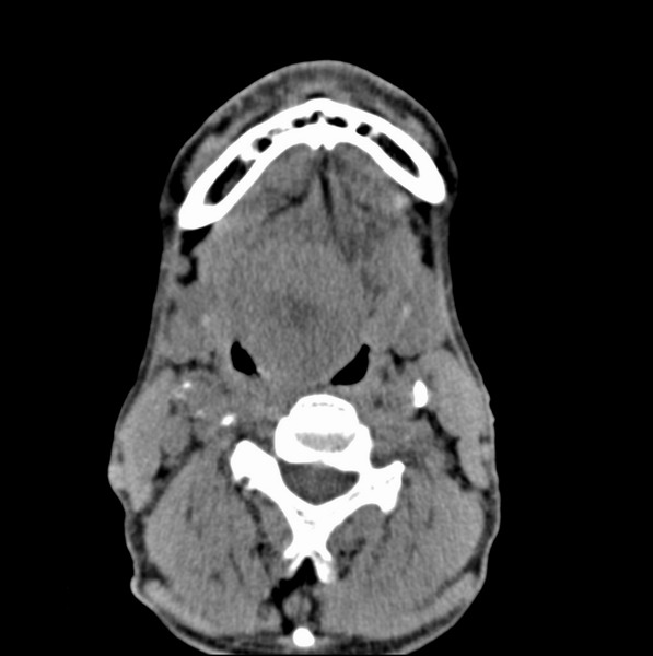
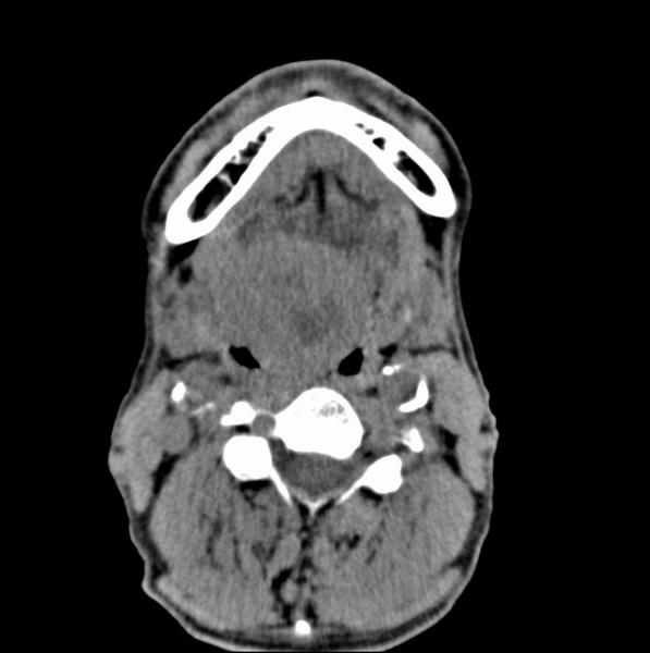
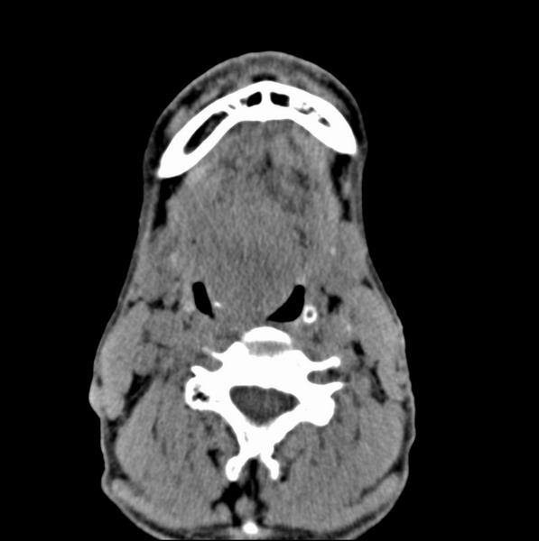
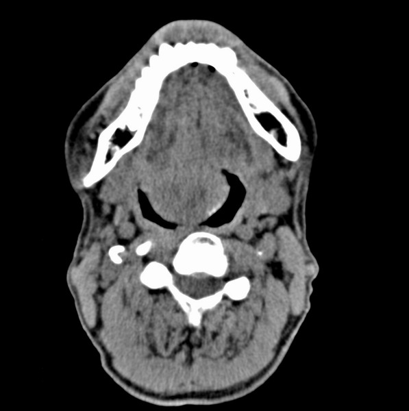
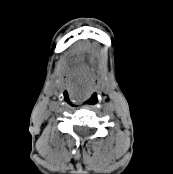
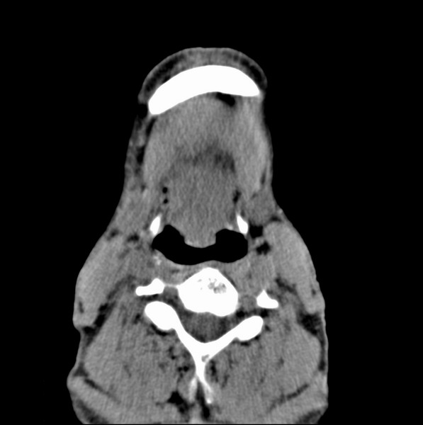
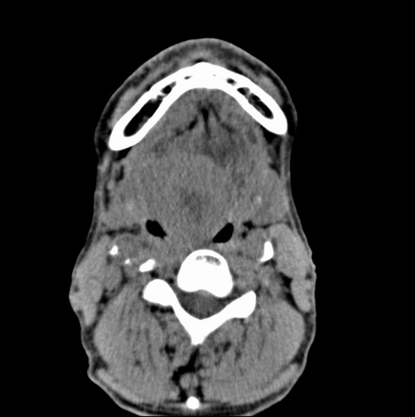
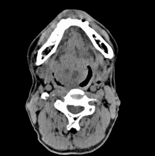
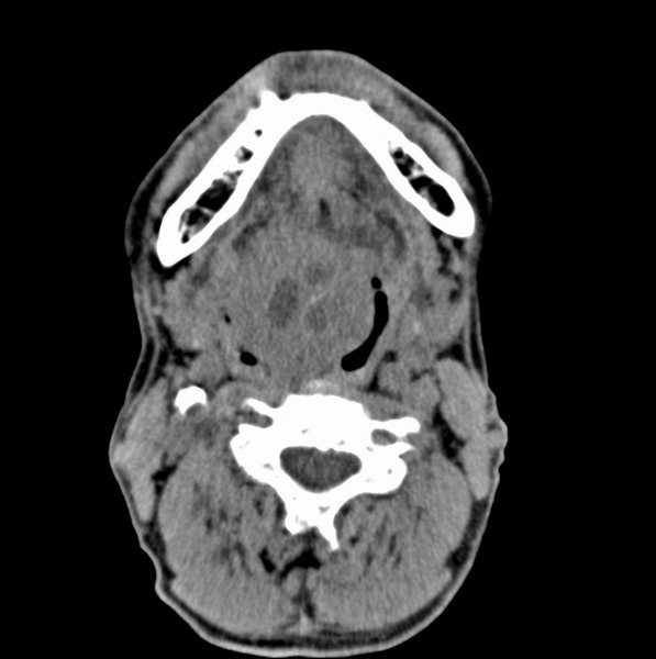
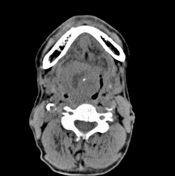
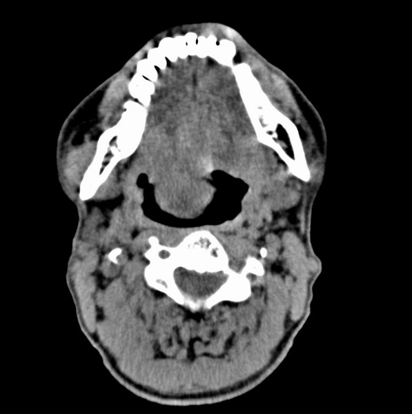
男、60、舌根肿物。


















[本贴已被 翁志蓬 于 2009-4-27 23:14:00 修改过]

作者: jiangjing    时间: 2009-4-27 19:03
考虑  舌癌或淋巴瘤
作者: 杀毒软件    时间: 2009-4-27 19:10
舌垂直肌和横肌影处肿块影,边缘不规则,咽腭扁桃体及舌下间隙脂肪影消失,病变侵及口咽。
考虑-----舌根癌
作者: frzh    时间: 2009-4-27 19:29
建议增强
作者: 小康    时间: 2009-4-27 19:35
考虑恶性变
作者: handong2006jl    时间: 2009-4-27 20:08
hehe
作者: 影象小辈    时间: 2009-4-27 20:26
恶性病变
作者: 37度    时间: 2009-4-27 20:45
舌癌。
作者: jiangguowu    时间: 2009-4-27 22:00
舌跟软组织肿块,较大有坏死,钙化。结合年龄一般是恶性肿瘤。
直接取活检啊,舌头上的问题也做ct,mr还有点作用
作者: zjzjr    时间: 2009-4-27 22:23
舌癌。
作者: 深泽交通    时间: 2009-4-27 22:42
标题: 回复:舌跟肿物
以下是引用frzh在2009-4-27 11:29:00的发言:[br]建议增强

作者: 随光逐影    时间: 2009-4-27 23:59
舌根部较大软组织肿块,其内见坏死低密度区及钙化影;考虑舌根癌可能。
作者: xizhong    时间: 2009-4-28 00:41
舌根癌可能性大。
作者: scdlc2008    时间: 2009-4-28 00:43
舌根癌可能性大。
作者: yuhongjun    时间: 2009-4-28 00:46
标题: 回复:舌跟肿物
以下是引用随光逐影在2009-4-27 15:59:00的发言:[br]舌根部较大软组织肿块,其内见坏死低密度区及钙化影;考虑舌根癌可能。

作者: jiahui7z    时间: 2009-4-28 00:50
增强扫描
作者: jiazhe    时间: 2009-4-28 00:57
少见的肿瘤
作者: qxhxf    时间: 2009-4-28 01:20
舌癌
作者: 余辉    时间: 2009-4-28 04:15
支持考虑舌根癌或会厌癌
作者: 黑白光影    时间: 2009-4-28 05:57
标题: 回复:舌跟肿物
以下是引用余辉在2009-4-27 20:15:00的发言:[br]支持考虑舌根癌或会厌癌

作者: LIAOQIANG    时间: 2009-4-28 17:55
考虑恶性肿瘤(舌癌?)。
作者: dr.yang    时间: 2012-6-24 16:55
支持考虑舌根癌或会厌癌




欢迎光临 医影在线 (http://bbs.radida.com/bbs/) Powered by Discuz! X3.2